Therapy Planning
上本賢司(医療法人新明会 都島放射線科クリニック)
<Session II Latest Stories in Single Source CT>
2015-11-25
当クリニックでは2014年7月,放射線治療計画用CT「SOMATOM Definition AS Open RT Pro edition」(RT Pro edition)を導入した。本講演では,導入の目的をはじめRT Pro editionによる呼吸同期撮影(4D-CT)の精度評価の結果を報告する。さらに,放射線治療で重要となる,当クリニックが開発した呼吸マネジメントシステム「Air-Bag System」との併用例も紹介する。
当クリニックの高精度放射線治療実績
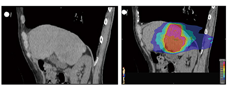
高精度放射線治療・IVRを融合したがん診療を行う当クリニックでは現在,全例に強度変調放射線治療(IMRT)を行っており,症例数は約2500件に上る。特に,照射野内再発症例への再照射に積極的に取り組んでおり,全体の約12%となる約300件の実績がある。
当クリニックにおけるIMRTの約9%は転移性脊椎腫瘍の再発症例である。初期治療を上回る高線量の照射を行うために,われわれは前回の治療と今回の治療における線量分布図を重ね合わせて累積線量を評価し,治療可能かどうかを判断している(図1)。しかし,実際の治療中には,患者の動きによりターゲットのズレが生じてしまう。そこでわれわれは,CTから得たDICOM-RTのデータから線量分布を解析できるソフトウエア“ShioRIS 2.0”を用いて体動のシミュレーション解析を行い,安全で確実な照射を実施している。
図1 転移性脊椎腫瘍再発例に対する治療戦略
RT Pro edition導入の目的
高精度な放射線治療を行うには放射線治療計画用CTが必須であり,RT Pro editionは,そのためのさまざまな機能を搭載している。なかでも,呼吸同期撮影による4D-CTが優れていることが導入の大きな理由となった。
呼吸性移動を伴う臓器の腫瘍に対する放射線治療では,移動量を正確に把握する必要がある。そこで,臨床標的体積(clinical target volume:CTV)に加えて,臓器の動きの影響を含めた内的標的体積(internal target volume:ITV)を評価する(図2)。ITVの評価には一般的に4D-CT,X線透視撮影,シネMRIが用いられるが,従来装置の4D-CTでは,動きによるアーチファクトが多く,腫瘍の同定や移動量の評価が困難であった。4D-CTでは,92%の患者において何らかのアーチファクトが発生するという研究結果も示されている1)。その要因は,患者の呼吸を正確にとらえられないためであると指摘されており,当クリニックにおいても,従来装置ではオーバーラッピングのようなアーチファクトが発生していた。しかし,同一症例をRT Pro editionで撮影すると,横隔膜周囲のアーチファクトが劇的に改善されていることがわかる(図3)。
図2 呼吸性移動を考慮したITVの設定
図3 アーチファクトの改善が見られたRT Pro editionでの4D-CT(右下)
4D-CTの精度評価
当クリニックでは,RT Pro editionにおける4D-CTの精度評価を行った。評価方法は,コルクファントムに腫瘍を模した直径20mmの球体を入れ,PCに接続した動体解析装置とともに寝台にセットして,PCから呼吸波形を動体解析装置に送信しファントムに動きを与えて撮影する。
4D-CTで撮影したファントム画像を再構成すると,吸気から呼気,また吸気となる各位相において,常に同じ形状で球体が描出されていた(図4)。
図4 動体ファントムを用いた精度評価結果
さらに,われわれは,アーチファクトの程度の違いがどのような要因によるものなのかを検討した。まず,球体の移動量を20mmに固定し,呼吸周期を2〜12秒として1秒間隔で可変させていく。そして,RT Pro editionに搭載された2つの撮影モード“Normal”(HP:0.09,回転速度:0.5s)と“Low-Breath”(HP:0.10,回転速度:1.0s)で,各位相における球体の体積を測定し,バラツキを評価した(図5)。検討の結果,Normalモードでは,呼吸周期が短い場合に球体の形状が一定に保たれており,呼吸周期が長くなるにつれてアーチファクトが現れることがわかった。一方,Low-Breathモードは,呼吸周期が長くなるにつれて,球体の形状が一定に保たれるようになった。つまり,実際の撮影では,NormalモードとLow-Breathモードを患者の呼吸に合わせて選択することで,体積のバラツキがない高精度の画像を得られるようになり,アーチファクトを抑えることができる。
このように,RT Pro editionの特長を生かし,患者の呼吸周期に合わせた4D-CTを施行することで,精度の高い画像を得ることができ,呼吸性移動を考慮した治療計画を立案することが可能となった(図6)。
図5 NormalモードとLow-Breathモードの比較評価
図6 4D-CTによる線量評価
Air-Bag Systemの概要とRT Pro editionとの組み合わせ
呼吸性移動を伴う場合,腫瘍の動きを抑える工夫も必要である。これは,日本医学物理学会,日本高精度放射線外部照射研究会,日本放射線技術学会,日本放射線腫瘍学会が2012年に公表した「呼吸性移動対策を伴う放射線治療に関するガイドライン」でも勧告されている。動きを抑えることで照射範囲を縮小でき,腫瘍への正確な照射と,正常組織への不要な照射の低減を図れる。
そこで,当クリニックでは開設当初から,呼吸マネジメントシステムのAir-Bag Systemを用いて,呼吸のモニタリングを行ってきた。その使用法であるが,まず放射線治療で必要な患者固定具を,Vac-Lokとシェルを用いて作製する。この際,より精度を高めるため,4名のスタッフで作業を行う。固定具作製後,シェルと患者腹部の間に空気を充填したバッグを挿入する。このバッグにはチューブがつながれており,途中,流速センサを通過して,外部のバルーンと接続されている。呼吸による腹壁の変化によりバッグとバルーンの間を空気が行き来し,その空気の流れを流速センサにて感知し呼吸波形を得る仕組みになっている(図7)。加えて,Air-Bag Systemは,バッグによる腹部圧迫で,内部臓器の呼吸性移動を低減させる効果もある(図8)。固定具とAir-Bag Systemを使用しない場合,横隔膜周囲では10mm以上の呼吸性移動が見られるが,使用することで平均7.6mmに移動量を抑えることができた。
Air-Bag SystemとRT Pro editionの4D-CTを併用することで,呼吸性移動によるアーチファクトを抑えた撮影が可能になると考えられる。現在はバリアン社製RPMによる呼吸同期信号を利用しているが,前述の流速センサによる信号を利用した呼吸同期再構成の手法の開発を進めている。これにより,さらに照射体積を減らし,正確な線量評価が可能になると考えられる。なお,当院ではAir-Bag Systemを用いて呼吸波形のモニタリングおよび腹部圧迫を実施しているが,2015年11月現在,Air-Bag Systemは呼吸波形のモニタリングとしての機能のみ医療機器承認を得ていることにご留意いただきたい。
さらに,RT Pro EditionにはCT透視機能を搭載できる。この機能は同時に6断面をリアルタイムに表示することができ,CT透視ガイドによるIVRが可能である。当院では,2015年からIVRセンターを開設し,本機能を利用した経皮的ラジオ波焼灼術(RFA)にも活用している。
図7 Air-Bag Systemの概要
図8 Air-Bag Systemによる呼吸性移動の低減
まとめ
本講演では,RT Pro editionを導入した目的と4D-CTの精度評価,臨床応用,Air-Bag Systemとの併用に関する展望について報告した。今後,放射線治療とIVRを融合させた治療を進めていく上で,RT Pro editionは重要な役割を果たすと考える。
●参考文献
1)Yamamoto, T., Langner, U., Loo, B.W. Jr., et al. : Retrospective analysis of artifacts in four-dimensional CT images of 50 abdominal and thoracic radiotherapy patients. Int. J. Radiat. Oncol. Biol. Phys., 72・4,1250〜1258. 2008.
- 【関連コンテンツ】
