“SOMATOM Force”from a radiologist’s point of view
髙橋 哲(神戸大学医学部附属病院放射線部)
<Session III Latest Stories in Dual Source CT>
2015-11-25
泌尿器科疾患で代表的な腎がんや膀胱がんの患者は,腎機能が低下している高齢者の割合が高い。このため,CT検査においては近年,被ばく線量の低減と同時に造影剤量の低減が求められている。
一方,低侵襲治療を行うためには,CT画像を用いた詳細な術前評価やシミュレーションが必要となる。
本講演では,このような臨床ニーズの高まりに対するDual Source CTの最上位機種である「SOMATOM Force」の有用性について,ハイパワーな新型X線管「Vectron」が可能にする70kV撮影,“Adaptive 4D Spiral Plus”“Monoenergetic Plus(Mono+)”の3点を中心に,4つの臨床シナリオを提示して報告する。
臨床シナリオ1
─小径腎腫瘍に対して残存正常腎への影響を最小限に治療したい
小径腎がんに対する腎部分切除術においては近年,腫瘍支配血管のみ血流を一時的に遮断し,それ以外は血流を保ったまま治療することで残存正常腎への影響を最小限にする“zero ischemia surgery”がロボット手術で試みられている。この術前の治療計画のためには,CT Angiography(CTA)を用いた腎実質内までの動脈分岐形態の詳細な評価が求められる。
当院泌尿器科は,このロボット手術による腎部分切除術に積極的に取り組んでおり,その術前評価として,われわれは腎臓のダイナミックスタディを70kVを用いて施行している。120kVと同様の造影条件で行うと,大動脈のCT値は約1000HU,腎静脈は約240HUとなり,圧倒的に動脈のCT値が高まり三次元処理を容易とするとともに,同時に腎静脈も三次元処理を行うのに十分なCT値が動脈相1相のみから得られる。
新型X線管VectronはLow kV撮影時でも十分な管電流が出力可能であり,成人の体幹部撮影に十分適用できる。また,腹部大動脈,腎動脈,腎皮質のCT値は,70kVではいずれも120kVの約2倍であり,大きくなったCT値の差を生かすことで,VR画像においても末梢血管を腎内分枝まで明瞭に描出可能である(図1)。
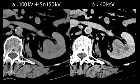
また,腎部分切除術では,腎杯損傷防止のためCT Urography(CTU:排泄相)にて腎杯と腫瘍との距離を確認する必要があるが,排泄相では腎実質の造影の低下により,腫瘍のコントラストが不十分となる。Dual Energy ImagingのMono+は,従来よりもSNRに優れた仮想単色X線画像を作成可能である。120kV相当の画像である100kV+Sn150kV画像では不明瞭な病変も,Mono+の40keV画像ではコントラストが明瞭となる(図2)。
図1 70kVを用いた腎臓のダイナミックスタディ
VR画像
図2 Mono+の40keV画像(c)による腎腫瘍の描出
臨床シナリオ2
─腎機能低下のある進行腎細胞がんの血管解剖と腫瘍進展範囲を評価したい
症例1は,85歳,女性,進行腎細胞がん症例である。eGFRが40mL/min/1.73m2と腎機能は低下しており,腫瘍塞栓が腎静脈から下大静脈内にまで進展している。370mgI/mL製剤40mLを4mL/sで注入し,70kVにて撮影したが良好なCTAが得られた。
通常,静脈の評価は皮質髄質相で行うが,静脈腫瘍塞栓は遅いタイミングで評価する必要がある。本症例は体格も大きく,かつ造影剤量も40mLと少ないため,腎実質相での静脈造影効果は不明瞭となってしまう。100kV+Sn150kV画像では静脈の濃染が評価困難であった。しかし,Mono+の40keV画像では造影効果が向上し,腎静脈および下大静脈内の腫瘍塞栓が明瞭に認められた(図3)。静脈のCT値が上昇したことで,十分にウインドウレベルを広げた状態でも病変が観察しやすくなっている。
図3 症例1:Mono+の40keV画像による低造影剤量での静脈描出
臨床シナリオ3
─高齢で腎機能低下のある腎盂がん患者の術前血管解剖評価を行いたい
症例2は,79歳,男性,腎盂がん症例である。eGFR が29mL/min/1.73m2と高度に低下しているため,通常は造影CTの適用が困難であるが,手術は腹腔鏡下に行われるため,術前の血管評価がどうしても必要となった。そこで,寝台のスムーズな加減速による連続Spiral Scanによって経時的データを取得し,4D Imagingを行うAdaptive 4D Spiral Plusを用いてわずかな造影剤で造影CT検査を施行した。
撮影は70kVの10フェーズとし,370mgI/mL製剤をテストインジェクションでは3mL,本撮影では20mL使用し,3.9mL/sで注入した。動脈相では末梢動脈まできわめて明瞭に描出されている(図4)。また,連続撮影により静脈相も得られ,動静脈を組み合わせたVR画像も作成可能であった(図5)。
図4 症例2:Adaptive 4D Spiral Plusによる
動脈の描出
図5 症例2:Adaptive 4D Spiral Plusによる動静脈VR画像
続いて撮影した腎実質相および排泄相では造影剤量が不十分であるが, Mono+の40keV画像により,ノイズが増加することなく腎実質の造影効果が増強し,腫瘍と腎実質のコントラストが確認できた(図6)。また,わずかに尿路に排泄された造影剤と腫瘤とのコントラストも得ることができた(図7 b↓)。
Adaptive 4D Spiral PlusとMono+を用いることで,わずかな造影剤量でもCTAとCTUにて血管解剖および尿路の情報を得ることができた。
図6 症例2:Mono+の40keV画像による造影剤20mLでの腎実質相の描出
図7 症例2:Mono+の40keV画像による造影剤20mLでの排泄相の描出
臨床シナリオ4
─術後片腎患者を造影CTで経過観察したい
造影CTでは管電圧を下げるとCT値が上昇するため,70kVでは造影剤量を40%減量しても120kVと同等のCT値が得られ,撮影線量も若干低下する。新型X線管Vectronにより,低体重の患者はもとより,体格の大きな患者でも適用可能であった。術後片腎の患者(症例3)のフォローアップ検査においても,40%減量にて十分に良好な造影コントラストが得られた(図8)。
図8 症例3:70kVを用いた低造影剤量での腎の造影効果(体重72kg)
従来の120kVと,造影剤量を40%減量した70kVの撮影を比較したところ,肝臓,腎臓,膵臓,脾臓のいずれにおいても70kVの方がやや高いCT値が得られた。CNRも高く,造影剤量をさらに低減する余地が残っていると思われる。また,BMIが30を超えるような体格の大きな患者の肩の周囲にはストリークアーチファクトが認められることもあったが,腹部領域では問題にならなかった。
なお,SOMATOM Forceには,スズ(Sn)フィルタを用いてX線スペクトルを最適化し,物質分離の精度や画質の向上,被ばく低減を図る“Selective Photon Shield”が搭載されている。このSnフィルタを100kVに入れることで,アーチファクトを抑えた超低線量撮影が可能となる。
まとめ
SOMATOM Forceは,きわめてハイエンドな装置でありながら,非常に便利で強力な臨床機であることが大きな特長である。被ばく線量および造影剤量の低減という臨床の要望を満たしながら,検査の質を従来と同等,あるいはそれ以上に保てる非常に優れた装置と言える。
- 【関連コンテンツ】
