Dual Energy CT in Rheumatology
福田健志(東京慈恵会医科大学放射線医学講座)
<Session IV The frontiers of Dual Source CT>
2016-11-25
本講演では,RheumatologyにおけるDual Energy CT(DECT)の臨床応用について,乾癬性関節炎(Psoriatic Arthritis:PsA)に対する有用性を中心に報告する。
PsA診療の現状と画像診断の重要性
PsAは,皮膚の著明な炎症と肥厚を特徴とする炎症性角化症である乾癬に炎症性関節症を伴ったもので,乾癬患者の10~15%に発症する。関節リウマチ(Rheumatoid arthritis:RA)と比較すると,末梢関節,特にDIP関節を侵す頻度が高い。また,発症年齢が比較的若く,骨の破壊や手の変形を伴い,日常生活に支障を来す疾患であり,乾癬と関節症それぞれの治療のために複数の診療科を受診する患者も多い。
RAやPsAの治療は長年にわたり,非ステロイド性消炎鎮痛剤による疼痛などの症状緩和が目的であった。しかし近年,“Biologic era”と言われるように,PsAでは2010年に生物学的製剤である抗TNFα抗体製剤が認可され,症状の完治,不可逆な骨びらんや骨増殖性変化の出現・進行の制御が可能になり,患者にも医師にも大きなインパクトを与えた。PsAは,発症から6か月以降に受診した患者における骨びらんの発生や身体機能障害悪化のリスクが,6か月以内に受診した患者よりも増加するとの報告がある1)。したがって,PsAは早期に正しく診断し,生物学的製剤を導入することが,患者のQOL向上につながる。
PsAの早期診断のためには,画像検査で手指の炎症性病変を検出することが有用とされており,滑膜炎や腱鞘炎,伸筋腱周囲炎,関節周囲炎,骨髄浮腫などの炎症性病変は,早期の段階でMRIでの検出が可能である。しかし,PsAの炎症性病変の場合,DIP関節などの末梢関節を侵す頻度が高いため,MRIでは空間分解能やアーチファクトの問題による限界がある。
PsAの理想的な画像検査の条件としては,(1) 炎症性病変を描出できること,(2) 受診当日の検査実施のようにアクセスの良いこと,(3) 末梢関節の評価に優れていること,(4) 客観的で施行者依存性が少ないこと,が挙げられる。CTは(2)〜(4)の条件に当てはまるものの,従来は造影剤を使用してもコントラスト分解能が不足しており,滑膜炎や腱鞘炎の描出には不十分であった。
ヨードマップ画像の原理
そこで,われわれは,DECTのヨードマップ画像で,末梢関節の炎症性病変の描出を試みた。ヨードマップ画像は,Three-material decomposition法を用いて作成する。脂肪と軟部組織のCT値を定義すると,滑膜や腱鞘のCT値はその直線上に乗る。さらに造影剤のCT値を定義することで,滑膜炎や腱鞘炎はその点に向かって直線的にCT値が上昇すると考えられる。炎症部で得られたCT値と造影剤の点を通る直線が,脂肪と軟部組織による直線と交差する部位は予測される造影前のCT値であり,Virtual Non Contrast画像を作成できる。この実際の造影CT値と予測される非造影CT値の差分を定量化し色付けすることでヨードマップ画像を作成できる(図1)。
DECTのヨードマップ画像でコントラスト分解能の不足を補完し,炎症性病変を高い空間分解能を用いて描出できるのではないかと考えた。
図1 Three-material decomposition法によるヨードマップ画像の作成
症例提示
症例1は30歳代,女性。乾癬の症状がなく,RAと診断され治療が行われていたが,症状に改善が見られず悩まれていた。DECTを施行したところ,第3指のPIP関節には滑膜炎だけでなく伸側や関節周囲に広範に広がる炎症性変化が見られ,PsAの所見に一致する(図2)。さらに,足の爪が変形しており,変形が関節症状と相関しながら寛解・増悪を繰り返していることから,RAではなくPsAと診断し,治療方針も変更した。
PsA患者の約60%は皮膚の乾癬が先行するが,本症例のように,4~21%は関節炎の症状が先行するため診断が困難になる。近年,多くの種類の生物学的製剤が登場し,RAとPsAで治療方針に差が出てきているため,誤ってRAと診断し,効果の低い治療を行うことにならないよう留意する必要がある。
図2 症例1:PsA
(30歳代,女性,乾癬症状なし)
症例2は40歳代,女性。乾癬歴15年で,右手関節痛の症状が出たことからDECTを施行した。尺側手根伸筋に腱鞘炎が明瞭に描出されている(図3↓)。DECTでは,5指それぞれに対し中手骨頭から末節骨まで観察可能な矢状断像を作成できる(図4)。
また,本症例では,第1指と第2指の中手骨頭背側に伸筋腱周囲炎を認め(図4↓),さらに冠状断像,横断像を併せて読影することで,MCP関節やPIP関節の滑膜炎を指摘できた(図5 ←)。DECTでは,アーチファクトの少ない複数断面の画像を作成でき,放射線科医としても自信を持って評価することが可能である。
図3 症例2:PsA(40歳代,女性,乾癬歴15年)
図4 症例2:全指に対する各矢状断の再構成
図5 症例2:多断面による評価
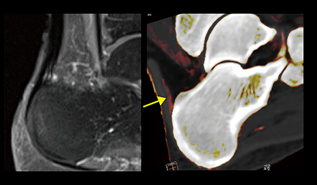
症例3は30歳代,女性。乾癬歴4年で,アキレス腱の痛みを訴えていた。造影MRIでは診断を確定できず,DECTを撮影したところ,ヨードマップ画像ではアキレス腱に沿って造影効果が認められ(図6 →),PsAによるアキレス腱の付着部炎と診断できた。
症例4(画像非提示)は60歳代,女性。乾癬歴11年で,第2指MCP関節の痛みを訴えたため,DECT検査を施行した。ヨードマップの冠状断像では,第2指MCP関節に滑膜炎を指摘でき,横断像でも関節周囲に広がる炎症が明瞭に描出されている。造影MRIの場合,滑膜炎は増殖した滑膜自体の造影効果と関節腔内に漏出した造影剤として描出されるが,ヨードマップ画像では主には高い空間分解能による影響と思われるが,関節包の滑膜自体の造影効果が描出される。屈筋腱の腱鞘炎は,造影MRI,DECT共に腱周囲の造影効果として検出される。PsAはRAよりも周囲に造影効果が広く現れるとされ,本症例も同様に関節周囲に広がる造影効果が描出されている。さらに,ヨードマップ画像は,造影MRIよりも病変部の境界が明瞭に描出され,より炎症部位を評価しやすい画像となっている。DECTで病変部を詳細に観察できることで,造影MRIでは描出が難しかったような所見を検出でき,PsAの病態の解明にも役立つ可能性がある。
第5指は造影MRI上,撮像範囲の辺縁となってしまい矢状断で指全体を観察することはできず,さらに不十分な脂肪抑制により評価が難しかった。一方,ヨードマップ画像では指全体を観察できる矢状断を再構成でき,冠状断と併せ滑膜炎を指摘することができた。
症例5(画像非提示)は20歳代,男性。乾癬歴10年で,第5指DIP関節に腫脹・疼痛がある。DECTを施行すると,矢状断にて伸筋腱および屈筋腱の付着部から広がる造影効果が認められ,横断像では関節包に沿って造影効果があり,滑膜炎が認められた。
本症例では,抗TNFα抗体製剤を投与したところ劇的に症状が改善し,DECTでも治療効果を確認できた。投与後のヨードマップ画像には線状の造影効果が描出されており,軽度の滑膜炎の残存が示唆された。本症例では,ヨードマップ画像が臨床症状と相関した治療効果を良好に反映していた。
図6 症例3:PsA(30歳代,女性,乾癬歴4年)
まとめ
今のところ手指領域での骨髄浮腫の描出は困難であるものの,DECTのヨードマップ画像は,PsA診療で重要となる早期診断・治療評価方法として十分な可能性を有していると思われる。当院では造影MRIより詳細に評価できた症例を経験しており,同分野におけるDECTの臨床応用に向けて,症例を蓄積し検討していく価値があると考えている。
●参考文献
1)Haroon, M., et al : Diagnostic delay of more than 6 months contributes to poor radiographic and functional outcome in psoriatic arthritis. Ann. Rheum. Dis., 74, 1045~1050, 2015.
- 【関連コンテンツ】
