Volume Perfusion imaging for Acute Pancreatitis
山宮 知(昭和大学医学部内科学講座消化器内科部門)
<Session Ⅲ Focus on Acute Care>
2017-11-24
近年増加傾向にある急性膵炎の原因は,主にアルコール性,胆石性,特発性であり,男性の発症頻度は女性の約2倍と多い。重症化すると死亡率は約10%と高いことから,重症急性膵炎となった場合は対応可能な病院に転送することがガイドライン1)で強く推奨されている。当院では,重症急性膵炎に対する集中治療を行っており,2015年12月からは,シーメンスのDual Source CT「SOMATOM Force」を用いてWhole Pancreatic Perfusion CTを施行している。本講演では,急性膵炎の重症度判定基準や治療法などを踏まえ,当院における診療の実際とWhole Pancreatic Perfusion CTの有用性を述べる。
急性膵炎の重症度判定と画像診断の重要性
急性膵炎においては,重症例を早期に診断することが救命のために重要であり,厚生労働省の重症度判定基準に基づき,予後因子と造影CTグレードで重症度判定を行う。予後因子は患者の臨床症状や血液検査などに関する9項目(1項目1点)からなり,3点以上を重症とする。また,造影CTグレードは,炎症の膵外進展度(前腎傍腔,結腸間膜根部,腎下極以遠)と膵の造影不良域(便宜的に膵頭部,膵体部,膵尾部の3区域に分ける)によってグレード1〜3に分けられており,グレード2以上を重症とする。特に,炎症が腎下極以遠に及ぶものは,すべて重症と診断する。ガイドラインでは,診断後48時間以内は経時的に重症度判定を繰り返すことが強く推奨されており,また,画像診断においては造影不良域の判定や合併症の診断に造影CTが有用であると述べられている。
重症急性膵炎で膵壊死を伴う場合の特殊治療として,蛋白分解酵素阻害薬・抗菌薬膵局所動注療法(膵動注療法)が有用とされている。この特殊治療の導入は発症後72時間以内とされているため,早期の膵虚血を判断することが重要である。また,壊死性膵炎においては,急性期の治療後4週以降に見られる膵局所合併症として,walled-off necrosis(WON)という感染率の高い膵膿瘍がある。急性膵炎の経過は,急性期と晩期合併症の二峰性であり,晩期でWONを合併すると致死率がきわめて高くなることから,WONの早期診断が可能となれば,新たな治療介入も可能となる。
急性膵炎の診断におけるPerfusion CTの有用性
急性膵炎の診断において,造影CTで膵実質のCT値上昇が30HU以下を壊死性膵炎とする基準が存在する。しかし,造影CT値は膵血流量を表現したものではなく,あくまでも定性的であることが課題となる。一方,膵壊死の前段階として膵虚血を診断できれば,膵壊死予測が可能となる。そこで,Perfusion CTを用いて膵血流速度や膵血流量を算出し,虚血を診断することで膵壊死予測が可能と考えられる。
当院では,急性膵炎疑い症例はすべてPerfusion CTを撮影し,シーメンスの“syngo.via”でデータを解析し,その場で画像構築を行う。これを24時間体制で行っているのが当院の特徴であり,早期の治療介入を可能としている。
Perfusion CTについては,いくつかの論文で壊死性膵炎の壊死巣の検出に非常に有用であることが報告されており,また,集中治療室入室患者の重症度予測の指標であるAPACHE Ⅱスコアなどを用いることで,重症度の診断にも有用であることが確認されている2)。
Whole Pancreatic Perfusion CT
1.Whole Pancreatic Perfusion CT導入の背景と有用性
当院では以前,4スライスのみのパーシャルなPerfusion CTを用いて膵虚血の評価を行っていたが,単純CT画像上で撮影範囲を設定するため,画像構築された場所が実際の虚血部位と異なり,正確な評価ができないことがあった。そこで,2015年12月からSOMATOM ForceにてWhole Pancreatic Perfusion CTを開始したことで,膵臓全体の撮影とカラーマップの構築が可能となった。解析方法はdeconvolution法を用いている。撮影条件,造影条件を図1に示す。
図1 Whole Pancreatic Perfusion CTの撮影条件と造影条件
2.症例提示
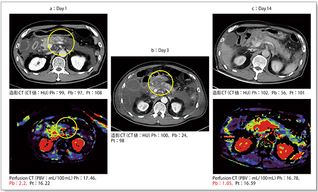
症例1は,70歳代,男性。上腹部痛と意識障害を主訴に当院の救命救急センターに搬送された。急性膵炎の重症度判定基準で,予後因子3点,造影CTグレード2の重症急性膵炎(造影不良域なし)で緊急入院となった。血液検査所見は,炎症反応が高値で,膵酵素の上昇を認めた。
入院時の造影CTでは,腎下極以遠への炎症波及を認めるが,明らかな造影不良域は確認できず,CT値もすべて100HU前後で虚血は確認できなかった(図2 a上)。しかし,Whole Pancreatic Perfusion CTを施行したところ,カラーマップにて膵体部に虚血を示す所見が認められ,perfused blood volume(PBV)の値も膵頭部,膵尾部に比べて膵体部ではかなり低下していた(図2 a下)。
第3病日に再度造影CTを施行すると,入院時のWhole Pancreatic Perfusion CTの虚血域と一致して膵体部に明らかな造影不良域が出現しており(図2 b),造影CTではわからないような虚血も,Perfusion CTにて同定可能であることが確認できる。
本症例は壊死性膵炎と判断し,第3病日から膵動注療法を開始した。血中のCRP(C反応性蛋白)値は最大30mg/dLと,かなり強い炎症があったが,第14病日には炎症は明らかに陰転化していた。同日の造影CTでは,膵実質壊死から膵局所合併症,膵膿瘍を形成した部分が黒く反転しており,膵体部のCT値は56HUとかなり低値であった(図2 c上)。Whole Pancreatic Perfusion CTでも膵体部が黒く反転しており,膵虚血を呈していることがわかる(図2 c下)。
図2 症例1:造影CTとWhole Pancreatic Perfusion CT所見
3.Whole Pancreatic Perfusion CTによる膵局所合併症予測の可能性
現在,われわれはWhole Pancreatic Perfusion CTによる急性膵炎の膵局所合併症予測の研究に取り組んでいる。2015年12月〜2016年6月に,当院にてWhole Pancreatic Perfusion CTを施行した17症例について,WONを合併した8症例をA群,合併しなかった9症例をB群として検討を行った。
A群とB群を比較したところ,年齢,性別,急性膵炎の成因,予後因子に明らかな有意差は見られなかったが,造影CTグレードやmodified CTSI,改訂アトランタ分類,SOFAスコアにおいては,より重症なA群の方が有意に高値であった。また,抗菌薬の使用期間,入院期間共に,B群よりもA群の方が長かった。
われわれが最も注目しているのは,WONの合併の有無と早期検出であり,これについてもA群とB群を比較したところ,入院時のCT値に明らかな有意差は見られなかった。しかし,Whole Pancreatic Perfusion CTにおけるPBV値を比較すると,WONを合併しているA群は1.7mL/100mL,B群は19.8mL/100mL(p=0.03)と,A群の方が有意に低いことがわかった。
まとめ
当院では,SOMATOM Forceとsyngo.viaによるWhole Pancreatic Perfusion CTの導入により撮影手技が簡便化され,24時間体制での撮影および解析が可能となった。また,膵全体のperfusion imageを作成することで,より早期の膵虚血を数値化,視覚化し,膵局所合併症の予測が可能となった。急性膵炎は致死率の高い疾患であることから,診療には多職種の連携が重要であり,早期の血液検査と画像診断によって早期の膵虚血を診断し,集中治療に移行することで患者の救命にもつながると考えている。
●参考文献
1)急性膵炎診療ガイドライン2015 第4版. 急性膵炎診療ガイドライン2015改定出版委員会,日本腹部救急医学会・他 編,東京,金原出版,2015.
2)Tsuji, Y., et al. : Early Diagnosis of Pancreatic Necrosis Based on Perfusion CT to Predict the Severity of Acute Pancreatitis. J. Gastroenterol., 2017(Epub ahead of print).
- 【関連コンテンツ】
