Sliding Gantry System for Emergency Room and Operation Room
西島 功(医療法人沖縄徳洲会 中部徳洲会病院心臓血管外科)
<Session Ⅲ Focus on Acute Care>
2017-11-24
沖縄県中部に位置する中部徳洲会病院(病床数374床)は,2016年4月に新築移転した。新病院ではさまざまな課題を乗り越えて,シーメンスの血管撮影装置「Artis zeego」と手術用寝台を組み合わせた “ハイブリッドOR”に加え,Sliding Gantry Systemを備えた同社製CT「SOMATOM Definition AS+」を設置した“ハイブリッドOR 2-ROOM仕様”を構築した。各種外科系や泌尿器科など,多くの診療科の利用が可能なハイブリッドORとして,また,救急初療室としてCT撮影からIVR,手術に対応する“ハイブリッドER”としても稼働する現況を報告する。
ハイブリッドOR+ Sliding Gantry CT導入の経緯
病院新築にあたって,新病院の核となる施設としてハイブリッドORの導入が検討された。しかし,ハイブリッドORの主な対象となるステントグラフト留置術の当院での件数は月間2,3件程度で,稼働率の点で問題がある。そこで,多診療科での使用を視野に入れヒアリングを行ったところ,脳神経外科から手術室へのCTの導入は必須との要望が上がった。手術室専用CTの導入は,当院のような中規模病院では実現困難とあきらめかけたところ,シーメンスから2-ROOM仕様のSliding Gantry CT導入の提案があった。シーメンスのSliding Gantry CTは,CTガントリの長距離移動が可能で,ハイブリッドORとCTを分離し独立したモダリティとして運用することで,機器の有効活用が期待できる。
ハイブリッドOR 2-ROOM仕様の特徴
さまざまな検討の結果,手術室(9室),血管撮影室(5室),ICU,HCUなどが入る4階フロアのレイアウトを見直し,血管撮影装置Artis zeegoとMAQUET社製の手術台「MAGNUS」を組み合わせたハイブリッドOR室を設置。その隣室をCT室とし,Sliding Gantry機構を備えたSOMATOM Definition AS+を導入して,“ハイブリッドOR 2-ROOM仕様”を構築した(図1,2)。
図1 ハイブリッドOR 2-ROOM仕様のコンセプト
図2 ハイブリッドOR 2-ROOM仕様のレイアウト
ハイブリッドORのArtis zeegoは,床置き式8軸関節アームのため天井に障害物がなく,CTや血管撮影もスムーズに行え,各種の手術用機器を配置しやすい。そのほか,60インチの大型モニタ,24インチ5面のサブモニタをはじめ,壁面にも47インチモニタを設置している。また,MAGNUS手術台は,カーボンテーブルと万能ベッドの載せ換えができる。
CTは,ハイブリッドORでの撮影が必要になった時に,ガントリが6mの距離を自走して隣のCT室から移動する。床に埋め込まれたレールはフラットで処置や手技の邪魔にならず,移動もスムーズである。ハイブリッドOR室との間の自動扉を閉めることで,CT単独での運用が可能であり(ハイブリッドCT室),病棟やICUの入院患者の撮影を行っている(図3)。SOMATOM Definition AS+はボア径が約80cmと広く,人工呼吸器や輸液チューブが装着された重症患者の撮影やCT透視下処置も問題なく行える。
図3 ハイブリッドCT室
奧のハイブリッドORから手前に自走。
自動扉を閉めCT単独使用が可能。
ハイブリッドORの有用性
ハイブリッドORでは,心臓血管外科によるステンドグラフトのほか,多くの診療科によるさまざまな手術が行われている。
外科では,腹腔鏡下胆囊摘出術での術中胆道造影にArtis zeegoを使用している。泌尿器科では尿道鏡手術に使用し,万能ベッドによる載石位で患者の足をArtis zeegoのアーム側にセッティングして施行している。整形外科では脊椎手術に使用し,伏臥位で足側にArtis zeegoのアームを置いている。これによって術中のコーンビームCTによる回転3D撮影が可能になり,脊椎を固定するスクリューの状態を確認しながら手技を進めることができる。
ハイブリッドOR 2-Room仕様での使用例と有用性
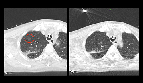
Artis zeegoの術中コーンビームCT(syngo DynaCT)は有益なデータを提供するが,密度分解能が格段に高いCTの臨床でのメリットは大きい。脳神経外科では,急性硬膜下血腫の手術の際に,開頭したままCT撮影を行い,血腫の取り残しなどを確認して進めている(図4)。呼吸器外科では,“全身麻酔下肺腫瘍マーキング”(図5,6)を行っている。通常であればCT室で局所麻酔による穿刺,胸腔鏡下手術(VATS)用のVATSマーカーの留置や色素によるマーキングを行い,その後手術室に移動して全身麻酔となる。当院では全身麻酔後にCT透視下マーキングが可能で,患者への負担も軽減できる。また,肝臓外科の直腸がん肝転移巣の切除では,化学療法が著効し,エコーなどの画像上で確認できなくなった腫瘍を切除する際に,開腹して肝臓の腫瘍があると思われる部分に直接針を穿刺し,その状態で術中CTを撮影。針の位置を目安として肝腫瘍の切除術を行っている。
ハイブリッドOR 2-Room仕様での術中CT撮影は,コーンビームCTにはない密度分解能でCT透視下手技が可能である。CTを用いた術前,術中の撮影の可能性は無限大であり,術者のアイデア次第で今後さまざまな応用が可能になると考えられる。また,血管撮影装置+CT(IVR-CT)としても使用可能で,腫瘍化学療法などへの応用も期待される。
2016年4月に稼働したハイブリッドOR 2-Room仕様だが,運用が軌道に乗った2016年8月から2017年7月までの1年間の使用件数は,外科105件,整形外科68件,心臓血管外科44件など合計で262件となっている。多診療科対応としたことで,稼働率の向上が図れた。
図4 脳神経外科における急性硬膜下血腫の術中CT画像
図5 呼吸器外科における全身麻酔下肺腫瘍マーキング
図6 図5の全身麻酔下CT透視画像
ハイブリッドERとしても活用
ハイブリッドOR 2-Room仕様は,救急医療の初療室(Emergency Room)としても優秀で,CT撮影からIVRによる緊急止血術,手術までが1か所で対応可能な“ハイブリッドER”としても運用している。当院では,屋上のヘリポートや救急搬入口とERを直結した救急用の大型エレベータがあり,搬送された救急患者は直接ハイブリッドERへ搬送できる。搬送された急患はバックボードのままハイブリッドERの寝台にセッティングでき,CTによる全身撮影が行える(図7)。頭部の急性硬膜下血腫と骨盤骨折といった複数箇所に問題がある交通外傷患者の場合でも,脳神経外科医による開頭血腫除去手術と放射線科医による血管塞栓術を同時に進めることができる。
ハイブリッドERでは,Sliding Gantry CTによる造影CT,Artis zeegoによる血管造影,血管塞栓,手術室環境での開頭,開胸,開腹,骨接合の手術を,患者搬送後,ベッドから移動することなく実施できる。手術室であるからこそ,モニタ管理や全身麻酔に熟練したスタッフと資機材が完備された状態で行えることが,手術室にハイブリッドERがあるメリットと言える。
図7 Sliding Gantry CTによる全身撮影
CT撮影後,Artis zeegoによる透視が可能
まとめ
当院に導入されたハイブリッドOR 2-Room仕様の運用について報告した。多軸方式による柔軟なアームを持つArtis zeegoとSliding Gantry CTの組み合わせによる2-ROOM仕様の構成によって,術中使用だけでなく通常のCT検査での利用が可能になった。さらに,多診療科での利用に加え,ハイブリッドERとしても活用できることで,医療資源の有効活用による中規模病院での運用が可能となった。
- 【関連コンテンツ】
