講演・パネルディスカッション Meet the pioneers : ETHOS Therapy
Varian Oncology Summit 2022
2022-11-15
座長:溝脇 尚志(京都大学大学院医学研究科放射線腫瘍学・画像応用治療学)
座長・演者:中村 光宏(京都大学大学院医学研究科人間健康科学系専攻)
-
ETHOS Therapyの概要
中村 光宏(京都大学大学院医学研究科人間健康科学系専攻) -
膵癌に対するETHOSを用いたAdaptive RTへの取り組み
岩井 貴寛(京都大学大学院医学研究科放射線腫瘍学・画像応用治療学) -
HalcyonからETHOSへのアップグレード時のコミッショニングおよびMobius3Dのコミッショニングについて
伊良皆 拓(京都大学医学部附属病院放射線治療科) -
当院のETHOSによるonline-adaptive radiotherapyの現状:臨床編
髙木 正統(九州大学大学院医学研究院臨床放射線科学分野) -
ETHOS臨床使用報告:技術編
福永 淳一(九州大学病院医療技術部放射線部門) -
Online Adaptive Radiotherapy 〜ETHOSの臨床使用を考える〜
伊藤宗一朗(鹿児島大学大学院医歯学総合研究科放射線診断治療学教室) -
頭頸部を主とした技術的初期経験
豊田 雅彦(鹿児島大学病院臨床技術部放射線部門) - パネルディスカッション
ETHOS Therapyの概要
中村 光宏(京都大学大学院医学研究科人間健康科学系専攻)
放射線治療では,呼吸性移動と解剖学的な臓器変化という大きく2つの課題への対応が求められる。これらのうち,解剖学的な臓器変化に対してはdaily adaptationという概念が以前から提唱されていたが,実現は困難であった。こうした状況の中,2021年3月に,バリアン社の適応放射線治療(Adaptive Radiotherapy)のトータルソリューション「ETHOS Therapy」が薬機法承認を取得した。ETHOS Therapyは,人工知能(AI)を応用したセグメンテーションと治療計画を軸として,daily adaptationを約15〜30分で完了することをめざして開発された。ETHOS Therapyでは,CBCT撮影後,AIによるリスク臓器(OAR)の自動輪郭抽出を行い,Scheduled Plan(予定されていたプラン)とAdapted Plan(当日のプラン)による2つの線量分布計算が行われ,そのいずれかを選択して照射を行い退出するという流れが,従来と同じ時間枠内で達成されている報告がある。
ETHOS Therapyは,Initial Planning,On Couch Adaptation,Monitoringで構成されている。Initial Planningでは,まず,線量処方や正規化,線量制約,重要度を設定後に,体輪郭や骨,肺などが自動で輪郭抽出される。ターゲットを含むその他の臓器は,放射線治療計画装置「Eclipse」とほぼ同じ機能を有する入力ツールを用いて手動で行う。その後,Intelligent Optimization Engineによる線量分布最適化および線量分布計算に続いて,最終線量計算が行われる。線量計算アルゴリズムはAcurosXBを用い,照射方法は7門,9門,12門の固定多門強度変調放射線治療(IMRT)と,2arc,3arcの強度変調回転放射線治療(VMAT)の5つから選択し,最終プランを決定する。On Couch Adaptationでは,まず,AIによるセグメンテーション後にターゲットが決定され,治療当日のCBCT画像に輪郭が移行される。次に,作成されたsynthetic CT(合成CT)上で線量分布計算が行われ,Scheduled PlanとAdapted Planのいずれかを選択する(図1)。その後,約2分で独立線量検証の結果が表示される。最後に,Monitoring画面にて,その日に照射したプランの記録と確認が可能である。
ETHOS Therapyでは,適応放射線治療の一連のフローを標準的な治療時間枠内で実施可能であり,今後,即時適応放射線治療のスタンダードになることが期待される。
図1 Scheduled PlanとAdapted Plan
膵癌に対するETHOSを用いたAdaptive RTへの取り組み
岩井 貴寛(京都大学大学院医学研究科放射線腫瘍学・画像応用治療学)
膵がんへの線量増加は予後を改善させるという報告があるが,膵周囲の消化管の線量抑制も同時に求められるため,十分な線量投与は難しいことが多い。Adaptive RT(ART)では,日ごとに消化管等の分布に合わせた治療が行えるため,単一の治療計画と比べて計画リスク臓器体積(PRV)マージンの縮小や線量増加が検討できる。結果として計画標的体積(PTV)へ高線量の照射が可能となり,治療成績の改善が期待できる。
ETHOS Therapyは,毎回のCBCT画像を用いてARTを実施できるシステムである。ARTは,照射ごとに最適化や線量計算などが必要となるため治療時間が延長し,患者負担の増加や,消化管位置や形状変化などのリスクも生じる。治療時間延長の要因の一つは最適化・線量計算時間であり,これらはビーム配置によっても大きく異なるため,臨床応用に際し,短時間で良好な線量分布が得られるビーム配置を検討する必要がある。
そこで,上記を満たすようなビーム配置を検討した。当院で局所進行膵がんに対し根治的化学放射線療法を施行した3症例,各症例3回のCBCTを対象に,放射線治療計画装置「ETHOS TPS」に搭載されている5つのビーム配置(固定多門IMRT:7門,9門,12門とVMAT:2arc,3arc)の最適化・線量計算時間を測定した。また,上記3症例のプランをETHOS TPSで再作成し,5つのビーム配置の線量分布図および線量評価指標を評価した。
最適化・線量計算時間は,固定多門IMRTでは7門,9門,12門いずれも約120〜140秒と,門数による大きな違いは見られなかった。VMATもarc数による違いは小さかったが,線量計算時間は固定多門IMRTの約3倍であった。また,図1はそれぞれの線量分布図で,いずれの照射法も当院の線量評価指標を満たしていた。以上から,治療時間を考慮すると,固定7門のIMRTが最適なビーム配置と考えた。
また,膵がん治療では,呼吸性移動対策も必要となる。ETHOS Therapyでの呼吸性移動対策として,当院では治療中の呼吸量・波形のモニタリングシステムを使用している。本システムを用いることで,呼吸性移動対策とARTの両立が可能になると考える。
図1 5つの照射法による線量分布図
HalcyonからETHOSへのアップグレード時のコミッショニングおよびMobius3Dのコミッショニングについて
伊良皆 拓(京都大学医学部附属病院放射線治療科)
ETHOS Therapyのハードウエア「ETHOS」は,同社の放射線治療装置「Halcyon」である。放射線治療計画装置は専用のETHOS TPSを使用し,線量計算アルゴリズムはAcurosXBが搭載されている。当院ではHalcyonからETHOSにアップグレードを行ったため,詳細なコミッショニングは省略した。ETHOS TPSによる深部量百分率(PDD)やプロファイルなどはEclipse(v16.1)と比較した。また,独立線量検証ソフトウエア“Mobius3D”のコミッショニングも行った。
ETHOS TPSとEclipseによるPDDは,ピーク深以降の差が±0.1%以内とほぼ同一であった。小照射野2cm×2cmにおけるプロファイルはX方向,Y方向で大きな差はないが,照射野辺縁に差が見られた。これは計算グリッドの差によるものと考えられる。小照射野以外のオープンフィールドでは,半影領域以外での差は0.5%以内とほぼ同等であった。さらに,臨床プランの線量体積ヒストグラム(DVH)を比較したところ,ETHOS TPSとEclipseの計算値はほぼ同一であった(図1)。
次に,Mobius3Dのコミッショニングでは,提供される専用シートに従い校正点での絶対線量の登録や,ビームデータ登録,CT-密度テーブルの確認・登録,オープン照射野プランの検証,コンベプランの検証,IMRT / VMATプランの検証〔dosimetric leaf gap(DLG)の合わせ込み〕を行い,さらにパス率の許容値を決定する。上記のうち,校正点での絶対線量,CT-密度テーブル,DLGの3つはユーザーが測定する設定項目で,Mobius3Dのパス率に大きな影響を与える。絶対線量は,水ファントムを用いて100MU,SSD=100cm,10cm深,10×10cm2の条件で実測し,デフォルト値(63 .1cGy)と同じ値を得たため,これを当院の登録値とした。CT-密度テーブルは,推奨されているデフォルトのテーブルと当院で臨床使用している登録テーブルが若干異なっていたため,当院の登録テーブルを登録した。DLGは,固定多門IMRTとVMATで分けて登録可能であり,デフォルト値はどちらも0mmであるが,円柱ファントムを用いた実測値(IMRT:1.1770mm,VMAT:−0.1873mm)を登録した。
DLGをデフォルト値から実測値に変更した時のパス率の変化について,頭頸部,肺,膵臓,前立腺,直腸を対象に計算したところ,VMATではほとんど変化は見られなかったが,固定多門IMRTでは頭頸部でパス率の低下が見られた。これは,DLGの測定に用いた均質な円柱ファントムに対し,実際の頭頸部は空気や骨などの不均質な領域を多く含むためと推測された。さらに,計算ベースのMobius3Dのパス率と実測QAのパス率を比較したところ,Mobius3Dのパス率は当院の実測QAのパス率の基準値を満たしていた。ただし,照射野全体に対して不均質の割合が大きい頭頸部や肺でパス率が低い傾向があったため,当院ではパス率の許容値として当院のデータやガイドラインなどを参考に3段階の基準を設け,幅広い症例に対応できるようにしている。最終的にはDVH評価も参考にし,臨床判断を行うというフローを検討している。
図1 ETHOS TPSとEclipseの臨床プラン比較
当院のETHOSによるonline-adaptive radiotherapyの現状:臨床編
髙木 正統(九州大学大学院医学研究院臨床放射線科学分野)
当院では2022年4月より,online-adaptive radiotherapy(oART)が可能なETHOSが稼働を開始した。oARTにおける医師の主な役割はInfluencerやターゲットのレビュー,プラン選択である。これまでに前立腺がんの根治照射を2例行い,現在,3例目として舌がんの術後照射を行っている。以下に,3例目の症例を提示する。
本症例は,60歳代,男性,左側舌がん術後・頸部リンパ節転移節外浸潤陽性である。治療計画は,initial planが両側頸部IMRT 9門・6MV-FFF・40Gy / 20fr,臨床標的体積(CTV):リンパ節転移腫瘍床+1cm・左levelⅠa・両側levelⅠb・Ⅱ-V・VⅡa-b,PTV:CTV+5mm,PTV D95%処方,boost planがリンパ節転移腫瘍床IMRT 9門・6MV-FFF・20Gy / 10fr,CTV:リンパ節転移腫瘍床+1cm,PTV:CTV+5mm,PTV D95%処方としている。図1はauto-contouringの画像であるが,耳下腺のわずかな修正のみで,大きな労力を割くことなくInfluencer Reviewを施行できた。続いて生成されるターゲットには大きなズレはなく(図2),本症例では一度もCTVを修正することなく照射プランを作成可能であった。次に,Scheduled PlanかAdapted Planを選択するが,Adapted Planの方が優れた値で線量制約を満たしており,本症例では全照射でAdapted Planを採用した。
oARTを施行した3例の治療時間を比較したところ,Influencer Reviewの平均時間は前立腺がん2例の7分28秒(CTV=前立腺)と11分42秒(CTV=前立腺+精囊)に対し,舌がん術後症例では2分04秒と非常に短かった。また,CBCT取得後〜照射終了までの時間は平均19分であり,現実的に運用可能な時間であった。舌がん術後症例のターゲット線量の推移を見ると,CTV D95%においてはScheduled PlanとAdapted Planに差を認めないが,PTV D95%ではScheduled Planのカバー率がやや低下し,PTV DmaxにおいてはScheduled Planの方が最大線量が高かった。OARの線量も,全体的にScheduled Planの線量が高い傾向であった。
oARTは,体輪郭の変化にも即座に対応できる可能性が高く,術後の頸部腫脹による再計画や治療開始延期を避けることが期待できる。頭頸部領域での術後照射は,oARTの良い適応である可能性がある。
図1 Auto-contouring前後の画像比較
図2 Auto-contouring:ターゲットの生成
ETHOS臨床使用報告:技術編
福永 淳一(九州大学病院医療技術部放射線部門)
本講演では,adaptive radiotherapy(ART)の開始に向けた検討,および実施後について報告する。
ARTの開始に向けては,コミッショニング(IMRT / VMAT),ワークフローチェックリスト作成(計画CT撮影後から照射開始まで),照射時のチェックリストおよび記録項目リストの作成,Mobius3Dのコミッショニングについて検討した。まず,IMRT / VMATのコミッショニングとして,ETHOSとEclipseでそれぞれ線量分布計算を行い実測と比較した。図1は結果であるが,JCファントムにおけるポイント線量の実測に対するETHOSとEclipseの誤差の平均値は同等であった(a)。三次元半導体検出器を用いた線量分布評価では,ETHOSはEclipseに比べてわずかにパス率が低かった(b,c)。また,小照射野のプランでは誤差が大きかった(○)。次に,ETHOSとEclipseのワークフローの違いを踏まえ,担当者や手順,注意事項などを記載したワークフローチェックリストを作成した。CBCT撮影から照射までの流れについてもチェックリストを作成。照射時のさまざまな作業や待ち時間などの記録事項を洗い出しリスト化した。また,毎回プランが変わるため,monitor unit(MU)も記録し,さらに,intra-fractional positioning errorの記録や,前立腺がんの症例ではターゲットとなる前立腺のfractionごとの体積も記録した。続いて,Mobius3Dによるプラン検証を行った。図2はコミッショニング結果の一部であるが,IMRT,VMAT共にETHOSとMobius3Dの計算値のγパス率は平均99.1%であり,ETHOSと実測検証のγパス率よりも高い,または同等であった。
ART実施後は,intra-fractional positioning error,MU,Mobius3D QAおよび実測による後検証の評価を行った。まず,前立腺のintra-fractional positioning errorについて,最初のCBCTと照射直前のCBCTを比較したところ,症例によっては頭尾方向に最大7mm動いた日があった。次に,前立腺の2症例を対象に,Initial Planに対するAdapted PlanのMUについて,各フィールドおよびトータルの変化を見ると,フィールドによっては2倍以上となることもあったが,トータルでは同程度であった。最後に,On-couch Adaptiveの照射直前のMobius3Dによる検証結果と,照射後の実測検証でのγパス率を見ると,Mobius3Dでは平均99.9%,実測検証では平均99.2%であった。線量誤差は,Mobius3DによるPTVのmean dose differenceでは平均0.3±0.4%,三次元半導体検出器のアイソセンタでの実測との誤差は平均2.1±0.4%で,これらの結果はコミッショニング時と同様であった。
図1 IMRT / VMATのコミッショニング結果
図2 Mobius3Dのコミッショニング結果
Online Adaptive Radiotherapy 〜ETHOSの臨床使用を考える〜
伊藤宗一朗(鹿児島大学大学院医歯学総合研究科放射線診断治療学教室)
ETHOS Therapy(Online Adaptive Radiotherapy)に適している症例として,腫瘍そのものが縮小する症例,体形や臓器形状が変化する症例,日々の照射で標的の位置がずれる症例が挙げられる。ETHOS Therapyでは,その日の状態に合わせた最適なプランが作成されるため再計画は不要なほか,非剛体レジストレーション(DIR)によって内部構造の変化にも対応し,正確な照射が可能となる。
症例1は中咽頭がんで,Initial Plan,Scheduled Plan,Adapted Planを比較した(図1)。通常のIGRTでは6軸補正を行い,Initial Planをそのまま照射するが,その日のCT画像に合わせた線量分布を確認することはできない。この症例の場合,Scheduled Planのままでは皮膚表面に強いホットスポットを生じてしまっているが,Adapted Planでは皮膚のホットスポットを生じることなく,ターゲットのカバレッジも向上していることが確認できる。
症例2は,子宮筋腫で子宮摘出後の腟断端に扁平上皮癌が発生した症例である(図2)。初発時に原発巣および左側方と傍大動脈のリンパ節転移を認めた。断端がんは大きく広がっているため,中央遮蔽は入れずに極力高線量を照射したいと考えた。さらに,リンパ節転移に対しては,標的体積内同時ブースト(SIB)で線量を上げ,制御を高めつつ安全な治療をめざした。そこで,ETHOS Therapyを行ったところ,腟断端にしっかりと位置を合わせつつ,リンパ節転移も外すことなく線量を上げたSIBを施行できた。
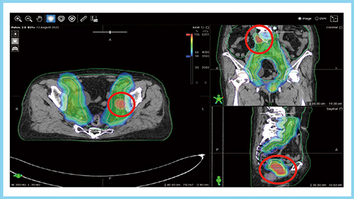
症例3は,甲状腺濾胞がんの腰椎転移である(図3)。このような症例は通常,6軸補正のIGRTを行うが,本症例の病変が1椎体のみであるのに対し,仮に上下複数の椎体にまたがる病変でねじれを含んだ変形がある場合,6軸補正でも位置合わせは困難である。一方,ETHOS Therapyでは,複数椎体にまたがる病変にも対応可能である。
以上より,ETHOS TherapyはIGRTの先を行く,より安心で安全な治療であると考える。
図1 症例1:中咽頭がん
図2 症例2:子宮断端がん
図3 症例3:甲状腺濾胞がん・腰椎転移
頭頸部を主とした技術的初期経験
豊田 雅彦(鹿児島大学病院臨床技術部放射線部門)
当院では,2022年4月よりOnline Adaptive Radiotherapy(oART)を開始した。現在までに約60症例を経験しており,特に頭頸部での有用性を実感している。頭頸部は再現性の良いセットアップが困難で,体形や腫瘍形態の変動が顕著であり,至適タイミングでの再計画も困難であるが,On-couch Adaptationで対応可能である(図1)。
On-couch Adaptationは,IGRTフロー+Adaptive workflow〔AI自動輪郭描画,プラン作成(Adapted Plan,Scheduled Plan),プランの確認・プランQA(独立線量検証)〕で構成される。IMRT 9門におけるOn-couch Adaptationの治療時間は,頭頸部では約17分と他部位と比べて安定して短い。また,セットアップ+CBCTの所要時間は約4分,照射+intra-fractional positioning error確認のためのCBCTの所要時間は約5分,IGRTフローの所要時間は約9分,Adaptive workflowのみの処理時間は約7分であった。
頭頸部におけるAdapted PlanのトータルMU / Gyは約700と,通常のIMRTより比較的高かったが,Initial Planとの比較ではやや低くなる傾向が見られた。ETHOS Therapyでは,「Dual-Layer MLC」によってリーフ間の漏洩線量が0.01%以下に抑制されており,MUの高いプランではDual-Layer MLCが必須と考える。
線量計算にはAcurosXBが採用されている。計算精度,正確度,不均質補正に優れるほか,線量計算も高速である。また,Adapted Planはターゲットのカバレッジを向上する点が優れている。
ETHOS Therapyではelastic deformation(弾性変形)によって,CBCTの撮影範囲および密度をプランニングCTを用いて補正した線量計算用のsynthetic CT(合成CT)を作成する。CBCTでは金属アーチファクトが発生するが,合成CTでは線量計算への影響を低減している。
Mobius3Dにて,DVH解析,DVH Dose評価,3D-γ解析,線量プロファイル解析,ログ解析を行ったところ,結果はほぼ一致していた。また,治療時検証(Mobius3D)および事後検証(実測)では,いずれもDVH評価点(PTV)のdose differenceは1%以内であった。なお,Mobius3Dによる独立検証の精度は事後検証の精度と同等であり,Mobius3Dは実測検証を代用できると考える(図2)。
ETHOS Therapyでは,理想の線量分布をプランどおりに完遂できるほか,正確かつ高精度な線量計算をOn-couchで独立線量検証にて確認可能であり,患者状況に即した線量分布補正が可能な点も有用である。
図1 頭部におけるoARTの有用性
図2 Mobius3Dによる独立検証の精度
パネルディスカッション(敬称略)
●oARTの有用性について
溝脇(座長):oARTの有用性を日常臨床で実感された実例は?
髙木(九州大学):当院ではまだoART症例数は少ないが,頭頸部術後,治療開始までの間に体重減少による頸部の形態が変化した症例で,再計画を行うことなく対応できたことはきわめて有用だった。毎回のセットアップも,全体的にしっかりと合わせられるため,効果を実感している。
●oARTの症例選択について
溝脇(座長):oARTでは,どのような症例が良い適応か?
岩井(京都大学):周囲を消化管に囲まれた膵臓は良い適応であると考えている。
髙木(九州大学):当院でも膵臓への適応を考慮しており,消化管ガスの移動などについて検討中である。また,肉腫の内部線量増加なども現在検討している。
●最適化計算について
中村(座長):ETHOS Therapyではcontouring後の最適化計算が一度しか行われないが,一度で十分か?
岩井(京都大学):エミュレータでの検討ではAdapted Planの線量分布は十分で,On-couch sessionでやり直しとなった例は経験していない。
伊藤(鹿児島大学):当院もAdapted Planに不満を持った経験はなく,現状では良いプランが得られている。
●人員配置について
溝脇(座長):ETHOS Therapyではどのような人員配置としているか?
豊田(鹿児島大学):専属の医学物理士と品質管理士各1名に加え,医師を必要に応じて呼び出しており,2.5人の体制である。
ETHOS適応放射線治療オンラインプランニングシステム:医療機器承認番号 30300BZX00075000
ETHOS適応放射線治療マネージメントシステム:医療機器承認番号 30300BZX00076000
Halcyon 医療用リニアック:医療機器承認番号 22900BZX00367000
放射線治療計画用ソフトウェア Eclipse:医療機器承認番号 22900BZX00265000
