Halcyonによる全身照射の試み
Varian Oncology Summit 2022
2022-12-1
座長:中村 和正(浜松医科大学医学部医学科放射線腫瘍学講座)
-
講演1:Halcyonによる全身照射の試み(序章)
門前 一(近畿大学医学部放射線医学教室放射線腫瘍学部門) -
講演2:Halcyonによる全身照射の試み
植原 拓也(近畿大学医学部放射線医学教室放射線腫瘍学部門)
講演1:Halcyonによる全身照射の試み(序章)
門前 一(近畿大学医学部放射線医学教室放射線腫瘍学部門)
近年の放射線治療装置の設置状況を見ると,特に欧州ではOリング型装置1台のみで対応する施設が増加傾向にある。このような状況の中,当院では2019年にバリアン社製のOリング型放射線治療装置「Halcyon」を導入。臨床使用する中で,その優れた治療効率を,全脳全脊髄照射(CSI)や全身照射(TBI)などの長軸照射に生かせないかと考えるに至った。
CSIやTBIにはいくつかの照射方法がある。従来法によるCSI(GAP法)では照射野につなぎ目が生じるほか,TBI(long SSD法)ではつなぎ目はないものの,広い治療室が必要であり,線量分布も不十分となる。寝台移動を伴うヘリカル照射では,つなぎ目はhead firstとfeet firstの境目部分のみであり,thread effectが生じるものの,CSI やTBIを施行可能である。一方,Halcyonでは,複数のアイソセンタを設定する必要があり,つなぎ目が生じるため,きれいな線量分布を作成して治療効率の良さを生かした治療が可能であるかが検討課題となった。
そこで,当院が経験した強度変調回転放射線治療(VMAT)によるCSIの症例を提示する。20歳代,男性,身長182cm,体重90kgでターゲットは83.8cm(長軸)と大きかったため,5cmオーバラップさせながら4つのアイソセンタ(brainは2arc,spineは1〜3に分け各1arc)を設定し,照射を行った(図1)。最適化時間は約10分であった。従来法では,患者の入室から退室までに約30分かかり,線量分布も不十分であるが,Halcyonでは線量分布が非常に良好で,入室から退室までの時間は約17分に短縮した。なお,Halcyonでは,アイソセンタごとに診療放射線技師が治療室に入室し,手動でカウチを移動させる必要がある。これは当初,欠点と思われたが,実際にはその都度患者に声掛けできることは,むしろ利点であった,とのことである。
また,今回有用であった機能として,放射線治療計画装置「Eclipse」の“Auto feathering機能”がある。これを用いることで,オーバーラップ部分の線量勾配が最適化計算によってオブジェクティブにより調整されるため,hot / cold spotが生じることなく均一な線量分布が作成される(図2)。患者QAでは,三次元半導体検出器と電離箱線量計・固体検出器,線量測定用フィルムによる測定の結果,問題はなく,3%/2mmガンマパス率も96.3%と良好であった。
このような結果を受け,当院では次にTBIを試みた。詳細は当大学・植原拓也より報告する。
図1 HalcyonによるCSIの線量分布
図2 Auto feathering機能を用いたVMATの治療計画
講演2:Halcyonによる全身照射の試み
植原 拓也(近畿大学医学部放射線医学教室放射線腫瘍学部門)
当院にて,Halcyonを用いたVMATによるTBIのプランニングスタディを行い,その実現可能性をまとめた報告が2021年に“Radiation Oncology”に掲載された1)。本講演ではその実際を報告する。
研究の概要
1.背 景
TBIは造血性幹細胞移植の前処置として広く行われており,適応疾患としては多発性骨髄腫や白血病などがある。一般的にはlong SSD法を用いるが,ガントリ–患者間の距離を広く取る必要があるため,広い治療室が必要となる。そのほか,TBIの実施には,治療時間が長い(40〜60分),線量不均一性,リスク臓器(OAR)を個々に避けられない,などの課題がある。特にOARの問題は急性反応や晩期障害につながり,AYA世代のがんサバイバーにおいては妊孕性などの機能障害のリスクがある。
TBIの先行研究として,Cアーム型ガントリの放射線治療装置などでの実現性は報告されているが,Halcyonを用いた方法論は確立されていなかった。そこで,われわれは, Halcyonを用いたVMATによるTBIを臨床的に実現可能とするための手法の確立をめざして本研究を行った。
2.方 法
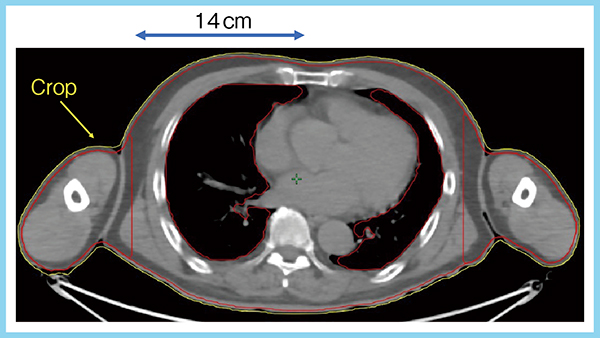
治療計画に当たり,頭頂部から足先まで撮像された身長162cmの男性症例のPET/CTのデータセットを使用した。本研究で最も重要なポイントは,planning target volume(PTV)の設定である。図1の黄色のライン(ー)は体輪郭,そこから3mm内側をPTVとし(ー),体の中心から左右に14cmの部分をPTV-BODY,その外側をPTV-ARMと設定して(図1),D98%,D95%,D50%,D2%を評価した。体幹部と腕を分けたことで,腕にも十分な線量が投与されるよう最適化を図った。
OARは,TBIを行う上で重要な水晶体,肺,腎臓を評価し,生殖器もOARに含めて線量低減を試み,PTVから除外した。処方線量は2Gy×6回(計12Gy)をPTV-BODY に対してD50%処方とし,計算アルゴリズムはAcuros XBを用いた。また,ビームは6MV-FFF,線量率は600MU / minとした。治療計画は,事前に線量制約を厳密に決めた上で,主にTBIのガイドラインや先行研究を参考にパラメータと線量体積ヒストグラム(DVH)の目標値を作成した。図2はビームアレンジメントであるが,head firstとfeet firstで作成し,セグメントはコリメータの限界を考慮して中心から13cmで分割した。アイソセンタ数は13個であった。
QAにおいては,各セグメントを三次元半導体検出器,X線平面検出器とポイント線量で,また,つなぎ目については三次元半導体検出器とポイント線量で,それぞれガンマパス率を評価した。なお,head firstとfeet firstのつなぎ目部分は,三次元半導体検出器による測定を行うことはできない。
図1 PTVの設定(参考文献1)より引用転載)
図2 ビームアレンジメント(参考文献1)より引用転載)
3.結 果
PTVのDVHパラメータは,D98%が8.9Gy(74.2%),D95%が10.1Gy(84.2%),D50%が12.6Gy(105%),D2%が14.2Gy(118%)であった。PTVのD95%は先行研究の方が高かったが,そのほかは同等であり大きな問題はなかった。また,Halcyonは照射野外の漏洩線量が少ない装置であるため,がんサバイバーの二次発がんを防ぐことが期待される。
OARのDVHパラメータは,肺のV12Gyが4.5%と目標値(<2.0%)を達成できなかったが,そのほかの目標値はすべて達成していた。われわれの方法では,全骨髄照射(TMI)を意識して肋骨をフルカバーするよう設定していたため,V12Gyの値は許容とした。なお,今回注目すべき点の一つは,精巣の線量低減を可能としたことである。成人における永久不妊のカットオフ値は3〜6Gyと報告されているが,本研究では精巣のDmaxが5.8Gy,Dmeanが4.4Gyであり,リスクを低減できた。図3は線量分布であるが,精巣以外のOARも線量が抑制されていることが確認できる。
次にQAの結果であるが,各セグメントやつなぎ目の評価に大きな問題はなく,本研究における治療計画は臨床応用可能と思われる。また,contouringや線量計算および最適化,QAに要した時間は計6〜9時間と,先行研究(36〜44時間)より大幅に短縮したものの,さらなる労力の低減が今後の課題であると考える。
図3 線量分布
4.HalcyonによるTBIのそのほかの利点
上記のほか,HalcyonでのVMATによるTBIの利点として,long SSD法のような広い部屋は不要,身長162cmではbeam on timeが約23分と非常に短い,cone beam CT(CBCT)が速く明瞭で,正確な位置合わせが可能,ということが挙げられる。より低身長な若年患者であれば,さらに良好な結果が得られる可能性がある。Halcyonでは“Iterative CBCT”という高度な逐次近似法を用いたCBCTが採用されており,ノイズ低減,画像の均一性,コントラスト向上が図られたことで非常に見やすい画像が取得できる。これにより高品質なセットアップが可能となり,患者の安全性の向上にも貢献する。また,Halcyonではアイソセンタごとに診療放射線技師が治療室に入室し手動でカウチを移動する必要があるが,その都度患者の様子を確認できることは利点と言える。
なお,本症例で使用したEclipse ver.15.6(CPU使用)では,Auto feathering機能を用いると最適化計算時間が長くなるため, “base dose plan機能”を使用したが,可能であれば良好な線量分布が得られるAuto feathering機能を使用したいところである。Eclipse ver.16.1(GPU使用)であれば計算時間が大幅に短縮されるため,今後はAuto feathering機能を使用していきたい。
5. 今後の課題
HalcyonでのVMATによるTBIでは,今後,head firstとfeet firstのポジションチェンジが課題になると思われる。当院では現在,rotatable tabletopの開発を行っており,これとCBCTを組み合わせることで,患者の負担なく,素早く適切なセットアップやポジションチェンジが可能になると考える。
まとめ
2022年6月には,われわれの方法によるTBIがインドで実施され,問題なく治療が完遂されたことが報告された2)。いくつか異なる点はあったものの,本法が臨床的にも技術的にも実現可能であったことが示された。
●参考文献
1)Uehara, T., Monzen, H., et al., Radiat. Oncol., 16(1): 236, 2021.
2)Talapatra, K., et al., IJMIO, 7(2): 50-53, 2022.
Halcyon 医療用リニアック:医療機器承認番号 22900BZX00367000
放射線治療計画用ソフトウェア Eclipse:医療機器承認番号 22900BZX00265000
