那覇市立病院の将来展望は? 〜放射線治療の微妙な立ち位置〜
足立 源樹(那覇市立病院放射線治療科)
これからの市民病院における放射線治療のあり方 座長:小久保雅樹(神戸市立医療センター中央市民病院放射線治療科)
2023-9-13
那覇市立病院は,病床数470床を有し,地域がん診療連携拠点病院に指定されている。放射線治療装置は,2007年に旧装置のリプレイスとして「CLINAC 21EX」を導入し,2022年4月には2台目の装置として「Halcyon」(共にバリアン社製)を導入した。
地域がん診療連携拠点病院の指定要件には,「強度変調放射線治療を提供することが望ましい」とあるが,Halcyon導入以前は後述する当院特有の課題により,IMRTの実施件数に制限を設けざるを得なかった。しかし,Halcyonの導入によって高精度放射線治療〔IMRT / 強度変調回転放射線治療(VMAT)〕を制限なく提供可能となり,地域がん診療連携拠点病院としての役割を果たせるようになっている。
Halcyon導入の効果
図1に,Halcyon導入前後それぞれ1年間の治療件数と内訳を示す。Halcyon導入後に治療件数が232件から312件に増加しているように見えるが,導入前の件数はコロナ禍の影響によるものと推察される。当院ではコロナ禍以前も,治療件数はほぼ300件で推移していたためである。
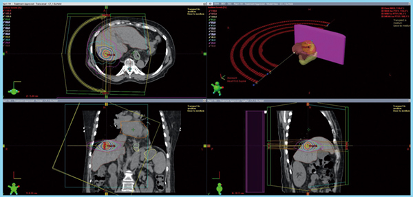
当院では乳がんの術後照射はすべてCLINAC 21EXで行い,肺と肝臓の体幹部定位放射線治療(SBRT)はCLINAC 21EXとHalcyonの両方で治療計画を立て,線量分布を比較した上で良い方を選択している。結果として,肝SBRT(図2)や直腸がんの術前照射,前立腺がんの照射は,全例Halcyonで行っている。肝SBRTの呼吸性移動対策には,光学式患者ポジショニングシステム「AlignRT Inbore」(VisionRT社製)を用い,全例息止め照射を行った。このほか,電子線照射が必要となるケロイド全例と,緊急・準緊急の対応が求められる転移性骨腫瘍の緩和照射の多くは,CLINAC 21EXで行っている。
なお,Halcyonを導入して1年が経過したが,治療数は92件にとどまっている。これは認知度の不足が原因と考えられる。一方,年間の患者数が400件を超えると診療放射線技師の不足が現実的となる。現在,当院は治療装置2台体制であるにもかかわらず診療放射線技師は2,3人しか配置されていないためである。今後に備えて人員を増加していく必要があると考える。
図1 Halcyon導入前後それぞれ1年間の治療件数と内訳
図2 HCCに対するSBRTの治療計画の一例
当院における課題と対策
1.Halcyon導入の経緯
演者が当院に赴任して以降,放射線治療の件数は徐々に増加し,2018年に300件に到達したが,その後,伸び悩んでいる。その原因は,CLINAC 21EXの治療室の使用許可線量が750Gy / 週,7500Gy / 3か月と非常に少ないためで,IMRTの件数を制限せざるを得なかった。
こうしたなか,2022年4月からHalcyonが稼働を開始した。主な選定理由として,狭いスペースにも設置可能なコンパクトな装置であったことが挙げられる。また,HalcyonがIMRT / VMATに特化した装置であることだけでなく,CLINAC 21EXと同じバリアン社の装置を選択することで,治療計画装置や修理サポート体制も含め,かなりの部分を共有できることも大きな選定理由となった。さらに,IMRT / VMATを制限なく行うためには,治療室の使用許可線量の増加が不可欠であったため,Halcyonの治療室の壁に鉄板を追加して,15000Gy / 週,75000Gy / 3か月まで可能とした。
2.沖縄県の現状と当院の課題
沖縄県には,北部地区,中部地区,南部地区,宮古地区,八重山地区の5つの二次医療圏があり,当院は南部地区にある。県内にあるがん診療連携拠点病院は,琉球大学を含めて3施設のみであり,県の人口約140万人のうち,南部地区と中部地区に約85%が集中している。
また,沖縄県全体の放射線治療件数は年間約3000件である。南部地区には放射線治療装置を有する病院が7施設あるため,すでに飽和状態と考えられるが,収益の観点から当院での治療件数を今後1〜2年で400〜500件にまで増やす必要があると考えている。そのための対策として,Halcyon導入前から院内の複数の診療科の外来などにポスターを掲示したところ(図3),高齢者が多い土地柄もあって非常に有効であった。ホームページの刷新や,近隣の医療機関への啓発にも取り組んでいる。さらに,他院からの紹介患者や,放射線診療を行っている施設などを分析したところ,放射線治療装置が設置されていない地域が確認できたため,今後,そのような地域の医療機関にも患者紹介を働きかけていきたい。
図3 院内に掲示したHalcyonのポスター
これからの市民病院における放射線治療のあり方
これからの市民病院においては,放射線治療科を不採算部門にしないことが重要であると考える。自院が選ばれるためには,地域の特色やニーズを分析し,宣伝を行っていく必要がある。また,放射線治療装置の導入に当たっては,10年以上使用することを考慮した機器選定を行うことが求められる。
TrueBeam 医療用リニアック:医療機器承認番号 22300BZX00265000
CLINAC 21 EX 医療用リニアック:医療機器承認番号 20400BZG00055000
Halcyon 医療用リニアック:医療機器承認番号 22900BZX00367000
