Halcyon HyperSight / ETHOS Therapy HyperSight
バリアン メディカル システムズ
放射線治療装置
Larger images. Faster CBCT imaging. HyperSightは次世代のIGRTへ。
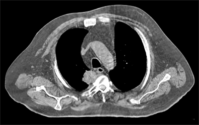
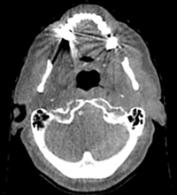
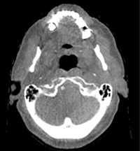
IGRTにおけるスピードの飛躍的な向上が,HyperSightの画質・精度の進化をもたらします。まず,約6秒でCBCTの画像取得が可能となることから,1 回の息止めでのIGRTが可能となります。モーションアーチファクトの低減につながるだけではなく,患者がカウチの上にいる時間の短縮にもつながるため,不快感や不安感の抑制も可能となります。また,あらたに金属アーチファクト低減アルゴリズムを搭載し,人工股関節や金属・歯科インプラントを装着している患者さまの画質を向上することができます。さらに,放射線治療業界最大のkV imagerを搭載することで,最大53.8㎝のFOVを得ることができ,kVコリメータにあらたに可動ブレードを導入し,ムダの少ない画像の取得を実現しています。
・86×43cm2 放射線治療業界最大のCBCTイメージングパネルを搭載
・CBCTを最短6秒でCBCT撮影 息止めでの画像取得もより現実的になります。また,Acuros再構成アルゴリズムを導入しモーションアーチファクトの抑制を強化しました。
・画像取得用の線量低減につながる CT Dose Index(CTDI)値の最大60%削減にも
CTDI(mGy)の比較
・Metal Artifact Reductionの導入
・Automatic mAs detectionによるIGRTの線量低減
CT Dose Index(CTDI)値による比較では従来より最大60%削減でき,日々のIGRTによる患者様の被ばく線量の低減に貢献します。
詳細は,当社営業担当者にお問い合わせください。
詳細は,当社営業担当者にお問い合わせください。
詳細は,当社営業担当者にお問い合わせください。
詳細は,当社営業担当者にお問い合わせください。
詳細は,当社営業担当者にお問い合わせください。
●お問い合わせ先
株式会社バリアン メディカル システムズ
東京都品川区大崎1丁目11番1号
TEL 03-4486-5235
http://www.varian.com/ja
担当部署:マーケティング部
メールアドレス:jp-marketing@varian.com
※お問い合わせはメールにてお願いいたします。
