画像診断報告書作成システムと電子カルテの連携による見落とし防止対策の実際
桐生 茂(国際医療福祉大学 放射線医学講座)
国際医療福祉大学成田病院 × 読影レポート支援システム LUCID(ジェイマックシステム)
2020-7-8
画像診断報告書の見落としについて
臨床において画像診断の重要性は増しているが,画像診断機器の進歩により1検査あたりに大量の画像が発生するようになった。この傾向はCTで顕著であり,MRIやFDG-PET/CTでも同様である。画像診断医は,得られた画像や臨床情報を基に検査依頼の内容に沿って病変を見つけ,鑑別を検討,疾患の診断を行うが,大量の画像を用いた診断過程で,検査依頼目的とは異なる想定外の重要な所見に遭遇する機会が増えている(図1)。症例が高齢者であることが多いことも原因である。検査目的病変の診断も想定外に見つかった病変の診断もどちらも重要であるが,これらが検査依頼医師に正しく伝わらなければ検査および診断を行った意味がなくなる。
近年,多くの外来・入院患者の診療業務に忙殺される検査依頼医師が,画像診断報告書を見落として重大な結果になった事例の報告が複数ある。検査依頼医師も細心の注意を払っているが,多忙な診療においては限界がある。実際に同様なことがあった,もしくはなりそうであったということは,どの施設でも大なり小なり経験しているはずである。特に,検査目的とは異なる想定外の病変であるとその傾向が強い。施設によっては運用によりこれらを防ぐ工夫がされているが,必ずしも効率的ではなく,忙しい臨床現場ではそぐわないことも多い。システムで見逃しを防止することは人の手間を減らし,また,画像診断報告書の既読の有無を管理することが可能であるので有効な方法である。
ここでは,画像診断報告書の内容を検査依頼医師が見落とさないようにシステムを用いた本学の取り組みについて紹介する。
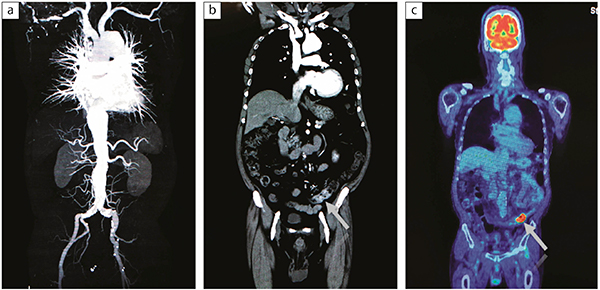
図1 想定外の病変が見つかった症例
大動脈瘤精査の症例でCTアンギオグラフィが撮影された(a)。冠状断で下行結腸に濃染があり,結腸がんが疑われた(b)。後日行われたFDG-PET/CTで腫瘍に集積があった(c)。
国際医療福祉大学成田病院における放射線画像診断の状況について
2020年3月に国際医療福祉大学成田病院が医学部附属病院として開院した。全国からの症例の受け入れ,さらに,海外からのインバウンドを想定した設計となっている。本学は都内に4か所,千葉,静岡,栃木にそれぞれ1か所の医療施設があり,各施設間に専用回線が設置され画像の閲覧が可能である。迅速かつ安定した質の画像診断報告書のために読影センターが設置されており,各施設の放射線画像の読影・診断を行っている。都内では三田病院に読影センターがあるが,当院も連携してグループ内の症例の読影・診断を行う。各施設の電子カルテは読影センターで閲覧可能で,必要があれば検査依頼医師に直接連絡を行っているが,想定外の病変があり注意喚起が必要な場合,特に遠隔地の施設の症例では検査依頼医師にリアルタイムに情報を伝えることが難しいことが過去にはあり,画像診断報告書の見落とし防止機能の導入が望まれていた。
本学における見落とし防止対策の導入について
他施設での見落とし事例が連続したこともあり,2018年より本学において見落とし防止機能が導入された。画像診断報告書作成システムと電子カルテが連携する仕組みとなっており,本学では読影センターでの読影・診断のため,グループ内各施設の診断報告書作成システムをジェイマックシステム社のLUCIDに統一している。これにより,見落とし防止機能を導入するのは比較的容易であり,また導入を同時期に行うことが可能であった。
依頼内容とは関連が乏しい想定外の所見があり,注意喚起が必要であると画像診断医が判断した場合,画像診断報告書作成システムの当該ボタンをクリックするとポップアップウインドウが出現して,ここに所見を記載するという簡便な工程で記載が行える(図2)。画像診断報告書を電子カルテで閲覧する際に,想定外の所見があることがポップアップで検査依頼医師に知らされる(図3)。検査依頼医師は,画像診断報告書を確認したことを電子カルテに記録する。これにより,注意喚起がされた症例において,実際に検査依頼医師が画像診断報告書を確認したかどうかを,システム上で把握できる。検査依頼医師が画像診断報告書を一定の期間確認していない場合は,確認を促すアラートを事務より送る運用になっている。各医療施設の電子カルテのベンダーが異なっても,同様の運用が可能である。
図2 注意喚起コメントの入力画面
レポート入力画面で必要に応じて注意喚起コメントを入力するためのウインドウがポップアップ表示される。テンプレートをあらかじめ設定しておくことが可能。
図3 電子カルテの動作例
画像診断報告書を開くと,注意喚起コメントがあることを示すポップアップが自動的に表示される(a)。検査依頼医師は画像診断報告書を確認したことを電子カルテ上に記録する運用となっている(b)。
課 題
システムにより画像診断報告書の見落としは減少しているが,検査依頼医師が読影内容をよく把握しないで無意識に読影ずみとしてしまう,もしくは画像診断医が注意喚起のための手順を失念するなどのミスは生じうるので,完璧に見落としを防ぐことは難しい。見落とし防止機能の操作方法について,検査依頼医師および画像診断医の双方の定期的なトレーニングが必要と考える。
システムの導入により,注意喚起が必要な症例において,画像診断医が検査依頼医師へ直接連絡する必要がなくなり,業務が効率的になったが,以前よりも検査依頼医師とのコミュニケーションが減っていることが危惧される。検査依頼医師が画像検査に求めることを深く理解することは,画像診断医にとって臨床に役立つ診断を行うために重要であるので,カンファレンスの共同開催の継続などにより関係を密に保つことが大事である。
おわりに
本学における放射線画像診断報告書の見落とし防止の取り組みについて紹介した。システムにより見落としは減少しており,特に複数の医療施設があり読影センターで一括して読影・診断している本学においては有用である。将来,人工知能がカルテの内容を理解して人間に指摘するようになり,画像診断報告書の見落としがさらに減ることを期待して,本稿を結びとする。
(きりゅう しげる)
1994年山梨医科大学卒業後,東京大学医学部附属病院放射線科入局。NTT東日本関東病院,米国ハーバード大学ベスイスラエルディーコネスメディカルセンター留学,社会保険総合病院(現・JCHO東京山手メディカルセンター)を経て,2010年に東京大学医科学研究所附属病院放射線科准教授。2018年より国際医療福祉大学放射線医学講座主任教授,国際遠隔放射線診断センター長を務める。
- 【関連コンテンツ】
