Real-time Virtual Sonography(RVS)製品化から10周年
岩崎隆雄先生に聞く
RVSの開発と進化 ─USとCTの融合による究極のレファランス画像をめざして
2013-5-1
岩崎隆雄 先生
(東北大学病院消化器内科)
超音波画像と同一断面のCT画像を融合させ,リアルタイムに表示する技術が2003年に開発され,Real-time Virtual Sonography(RVS)と命名された。日立メディコ社(現・日立アロカメディカル社)と東北大学病院消化器内科の岩崎隆雄先生,慶應義塾大学放射線診断科の大熊 潔先生らが世界に先駆けて共同開発したRVSは,国際的に高く評価され,10年経過した現在も診療現場でますます活躍している。特に消化器内科医として肝がんのラジオ波焼灼療法(RFA)を専門としている岩崎先生は,治療の際の切実なニーズからRVSのアイデアを発想し,同社に働きかけて共同開発に至った。RVSは,RFAの術中モニタリング,画像ナビゲーションシステムとして,また,異なるモダリティ画像を融合させる診断法として,さらには,超音波技術の習得という教育システムとして有用であり,今後の発展が期待されている。今回は,RVSの共同開発者である岩崎隆雄先生に,10周年を機にRVSの歴史とこれからの展望について語っていただいた。
RVSシステム構成図
CTやMRIの画像をDICOM形式で取り込み,リアルタイムの超音波画像と
同一断面を表示する。
〔注:DICOM(Digital Imaging and Communication in Medicine)〕
●RVS開発の道程
■肝がんのRFAから生まれたRVSの発想
肝細胞がんの内科的局所療法のひとつであるラジオ波焼灼療法(RFA)は,電極を腫瘍に穿刺してラジオ波で熱凝固させる低侵襲な治療法で,日本では2000年代になって普及しました。針1本で肝切除と同様の効果が得られる非常に威力のある治療法ですが,そのためには病変への的確な穿刺が必要になります。
実際のRFAでは,術前のCT画像を参照しながら,超音波ガイド下に穿刺を行います。治療後,病変部の残存などの治療効果判定を造影CTで行い,不十分な場合は再治療ということになります。しかし,CTでは確認できるのに,治療時の超音波画像では見えない病変がまれにあります。また,CTと超音波の画像の断面(スライス角度)が異なっているため,術者の頭の中で三次元的に統合し,腫瘍の位置の見当を付けながら穿刺を行うという状況でした。当時のCT画像は横断像のみだったため,肋骨に沿って斜めに観察する超音波画像と対比させて腫瘍の詳細を把握することができず苦労していました。
そこで,CT画像と超音波画像の断面を合わせて融合できれば,RFA時に腫瘍の位置関係をより正確に確認しつつ,確実な治療を行うことができると考えたのです。当時はすでに,磁気センサーで位置を把握できる技術があったので,それを使ってCTと超音波の画像をリアルタイムに融合させる技術の開発ができるのではないかと思いました。
当時はまた,シングルスライスCTからボリュームデータの得られるマルチスライスCTが登場し始めた時期でもありました。肝臓全体を短時間に薄いスライス厚で撮ることが可能となり,アイソトロピックな高分解能画像による三次元画像が得られるようになりました。また,画像処理のハードやソフトの発展もあり,ボリュームデータからリアルタイムに任意のMPR画像などが再構成できるようになるなど,技術的環境が整ってきていました。
■RVSの共同開発を開始
日立メディコ社(現・日立アロカメディカル社)とは超音波治療の共同研究を行っていた関係もあり,また,慶應義塾大学放射線診断科の大熊 潔先生たちも同じようなアイデアを同社に提案していたということで,世界に先駆けて共同開発がスタートしました。当時の日立メディコ社には,RVSを実現させるために必要なハードはそろっていたので,どうやってCTと超音波の画像を融合させるかという,ソフトの開発に重点をおいたアイデアを提案しました。より正確で精度の高いRFAを行いたいという,臨床現場で痛切に感じた思いがRVSのアイデアの元ですから,絶対的な必要性とこの開発にかける意気込み,そして,別々のモダリティ画像をきれいに合わせるための解決策などを強く訴えました。
■血管の走行を指標に位置合わせを実施
肝臓には門脈,肝動脈,肝静脈など,多くの血管が規則性をもって走行しています。これを道路にたとえると,交差点,コンビニ,郵便局というランドマークで写真や地図を合わせるように,血管で位置を合わせていくことが可能だと考えました。体軸と肝臓の門脈などの血管を使えば,ほぼ位置を合わせられ,それに画像を微調整する方法が実現すれば,CTと超音波の画像融合が可能になるという自信がありました。
■構想から1年で製品化が実現
日立メディコ社の技術陣の努力により,最初のプロトタイプは,開発開始から約1年後に完成というスピートでした。最初は超音波装置(EUB-8500)とワークステーション,プローブに取り付ける磁気センサーで構成され,PCのモニタに超音波画像と一致するCTの再構成MPR画像が表示されるシステムです。現在は,ワークステーション機能が超音波装置と一体化され,コンソールモニタ上にRVSが表示されるようになっています。
試用直後に,RVSの有用性を実感できる貴重な体験がありました。RFA後,治療が難しい場所に残存腫瘍が確認された患者さんにRVSを使ってRFAの追加治療を行ったところ,病変がはっきりと認識できて無事成功しました。その場に立ち会っていた技術者も,RVSが実際の治療に役立つことを目の当たりにして,その後の開発に拍車がかかったのではないかと思います。
■RVSの臨床的評価
RVSの成果を最初に発表したのは,2003年の日本肝臓学会のシンポジウムでした。私の講演で供覧したRVSの画像が,誰が見てもきれいにシンクロしていると感じてもらえたのか,講演後に日立メディコ社のブースに人々が押し寄せたそうです。ちょうどRFAが普及し始めた頃でもあり,多くの肝臓を専門とする臨床医が,RVSに興味をもってくれたのでしょう。
また,北米放射線学会(RSNA2004)では,infoRAD部門でCum Laudeを受賞しました。会場で説明を受けた方々はどなたも,「こういうものを使いたい」と評価してくれました。基本的なアイデアと,画像がきれいに作られているというコンセプトは十分認められたと感じています。
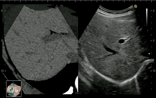
RVS臨床画像
CT/MRI/USのボリュームデータを基にして,超音波診断装置の
プローブの位置と角度に応じたMPR画像をリアルタイムに表示する。
●RVSのさらなる進化と可能性
■アジャストシステムの開発:MRVSへの進化
初期のRVSでは,表示されるCTのMPR画像は1時相のみでしたが,次に,3〜4時相を同時に表示できるMulti-phase型のRVSが開発されました。
さらに,治療前後の微妙な画像の変化に対して,ガイドとなるポイントに合わせることで補正する“アジャストシステム”を開発しました。断面アジャストは,RVS時のCTと超音波画像のシンクロにすでに応用されており,ポイントアジャストは,RVS前にCT画像同士のズレを補正するために用いられます。これらのアジャストシステムにより,RVSはMRVS(Multi-window Real-time Virtual Sonography)に進化しています。
●RVSの真価と深化
■RVSの本質
「誰にでもわかりやすい質の高いレファランス画像」というのがRVSの本質です。CTの再構成MPR画像と走査中の超音波画像が,それぞれの客観性を担保してリアルタイムに動画として観察できます。レファランス画像は,画像そのものがわかりやすく,専門外の医師など,誰が見てもわかる画像であるべきです。
■RVSの最終形とさらなる可能性
2007年に新世代超音波造影剤であるソナゾイドが発売され,連続した造影効果が得られるようになりました。リアルタイムな造影超音波画像が可能になったことで,「真の造影RVS」が実現したと言えます。
RVSの臨床での有用性や必要性は広く認識されており,今後も日常的に使われる範囲を拡大していくと予想しています。客観的なRVSによる画像診断はどこの臓器でも必要であり,最近では,乳腺,甲状腺,腎臓,前立腺などにも使われています。また,事前にCT画像を取り込んでおかなくても,オンラインで必要な画像情報を取得し,超音波のリアルタイム性を生かしたRVSが行える可能性もあります。磁気センサーの位置を変える,ベッドに組み込んでしまうなどの開発・製品化も進んでいます。 また今後は,CTだけでなく,EOB造影MRIのボリューム画像も用いて,よりわかりやすく,客観的な画像が得られるようになると期待しています。RVS全体の発展と普及をめざして,今後も開発を進めていきたいと思っています。
(2013年3月4日 取材)
1984年 東北大学医学部卒業。同年5月 八戸市立市民病院勤務(外科研修2年,内科研修2年),88年4月 東北大学医学部第三内科勤務,89年12月 国立がんセンター病理部にて研修(肝細胞癌の病理),94年4月 東北大学医学部附属病院第三内科助手。現在,東北大学病院消化器内科助手。
<表彰>
・RSNA2004 infoRAD部門 Cum Laude受賞
・RSNA2003 infoRAD部門 Certificate of Merit受賞
