キヤノンメディカルシステムズと藤田医科大学,新型コロナウイルス肺炎診断支援に関する臨床への適用評価を開始
2020-7-16
キヤノンメディカルシステムズ(株)(以下,キヤノンメディカル)は,藤田医科大学の放射線医学講座 大野 良治 臨床教授と産学共同研究で開発したびまん性肺疾患のCT画像解析技術を用いて,新型コロナウイルス肺炎の診断支援に関し臨床への適用評価を開始する。
新型コロナウイルス肺炎のCT画像の所見は,間質性肺炎の特徴を示すことがこれまで多く報告されている。特にすりガラス影,浸潤影などの高濃度陰影の存在,形状および発生位置などの情報が新型コロナウイルスの診断に有用であると考えられている。新型コロナウイルスによって発生する肺炎の特徴を定量的に捉えることで,診断および治療効果,予後に寄与する情報を得られるとともに,新型コロナウイルス肺炎以外の他の肺疾患の診断をサポートする情報も得られることが期待できる。
クルーズ船「ダイアモンド・プリンセス号」の感染症患者を始め,多くの新型コロナウイルス感染症患者の治療実績のある藤田医科大学と適用評価を開始することで,最前線の現場における効率的なソリューションの実現を目指す。
今回の適用評価で用いるびまん性肺疾患を中心としたCTテクスチャー解析は,藤田医科大学 大野良治教授とキヤノンメディカルが産学共同研究で開発した技術である。本解析技術は,CT画像を用い,様々な肺疾患の結果生じる肺の陰影・形状情報から,正常肺,すりガラス影,浸潤影,蜂巣肺,粒状影や気腫性病変など,肺の7種類の形態的特徴を,機械学習によって識別し定量化するものであり,基礎的な研究成果はすでに各種学会で報告され,間質性肺炎の重症度と解析による定量的な結果に相関があること発表実績1)2),放射線科医と解析による所見の一致度が十分であること発表実績3)4)が示されている。2020年7月末から本解析技術を用いて新型コロナウイルス肺炎疑いの症例を解析し,臨床への適用評価を進めていく。
本解析技術は低被ばくかつ高画質を両立したキヤノンメディカルのX線CT装置と組み合わせることで,患者負担をより軽減しながら安定した解析結果が得られるとともに,CT撮影から画像解析までの一連における最適なワークフローを実現できる。今回の藤田医科大学との適用評価を進めるとともに,国内外の医療施設でも適用評価を開始し,より迅速で正確な診断へのサポートを推進していく。
藤田医科大学 大野 良治教授は,臨床への適用評価への期待を以下のようにコメントしている。
「新型コロナウイルス肺炎を含めた肺疾患におけるCT読影の問題点として,読影者間の一致率が低いことが指摘されており,それに伴って患者マネージメントを含めた医療提供などに差が生じる可能性があることが危惧されています。そのため,指摘されており,それに伴って患者マネージメントを含めた医療提供などに差が生じる可能性があることが危惧されています。そのため,指摘されており,それに伴って患者マネージメントを含めた医療提供などに差が生じる可能性があることが危惧されています。そのため,指摘されており,それに伴って患者マネージメントを含めた医療提供などに差が生じる可能性があることが危惧されています。そのため,各種肺疾患を対象にしたCTテクスチャー解析技術を用いることにより,
1. 医療機関を受診した無症状やPCR陰性新型コロナウイルス肺炎患者の検出
2. 新型コロナウイルス肺炎とその他の感染症との鑑別診断に難渋する患者における診断精度向上と適切な医療提供
3. 定量的CT所見評価に基づく発症後経過期間推定や重症度評価と効率的な治療法選択補助
4. 定量的CT所見評価による治療効果判定に基づく患者マネージメント補助
などが可能になることが期待されます。本解析技術を臨床現場で活用することにより,新型コロナウイルス肺炎患者のみならず,医療機関を受診する様々な患者さんへの安全で適切な医療提供をサポートしたいと考えています。あわせて,院内感染防止や医療現場で様々な医療提供における医療従事者の安全性確保にも寄与するものと期待しています。」
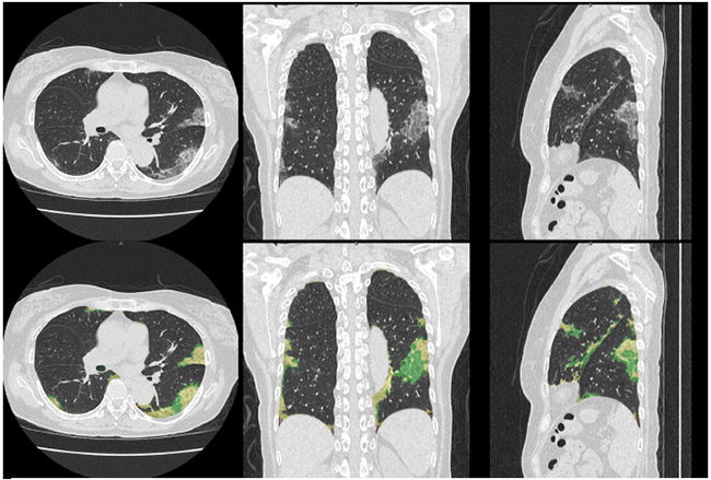
新型コロナウイルス肺炎のCT診断画像及びその解析結果(上段 原画,下段 解析結果)
発表実績
1)3D Computer-Aided Diagnosis System for Thin-Section CT: Utility for Pulmonary Functional Loss and Treatment Response Assessments in Connective Tissue Disease Patients, 2016年 北米放射線学会学会
2)Utility of 3D computer-aided diagnosis system for pulmonary functional loss and treatment response assessments in connective tissue disease patients, 2017年 欧州放射線学会(ECR)
3)3D Computer-Aided Diagnosis System on Thin-Section CT: Quantitative Assessment of Disease Severity and Therapeutic Response in Patients with Polymyositis/ Dermatomyositis, 2018年 日本放射線学会(JRC)
4)3D Computer-Aided CT Texture Analysis with Machine Learning: Capability to Play as Second Reader for Radiological Finding Assessment in Patients with Interstitial Lung Disease, 2019年 欧州放射線学会(ECR)
●問い合わせ先
キヤノンメディカルシステムズ(株)
広報室
TEL 0287-26-5100
https://jp.medical.canon
