技術解説(富士フイルム)
2019年1月号
FUJIFILM TECH FILE 2019
SYNAPSE VINCENT V5.3における新機能
大島 俊介(富士フイルムメディカル株式会社 ITソリューション事業本部)
はじめに
「SYNAPSE VINCENT(以下,VINCENT)」(富士フイルム社製)では,放射線科をはじめとして,脳神経,循環器,呼吸器,消化器領域などのさまざまな診療科で利用する解析アプリケーションを多数実装している。本稿では,2018年にリリースされた最新バージョンであるV5.3で実装された新規アプリケーションおよびシステム面の最新情報を紹介する。
心筋TxMap(新規アプリケーション)
心臓MRI検査は,心臓の機能を評価,診断する上で重要な検査としてさまざまな施設で実施されている。例えば,急性心筋梗塞領域進達度の確認やバイアビリティ(生存能)の評価では,遅延造影MRIを用いることが一般的である。しかし,肥大型心筋症,心アミロイドーシスといった,病変部がびまん性に浸潤する疾患の場合,病変領域で高い造影効果を得ることができず診断に苦慮する場合がある。
今回,最新のバージョンでは,心筋領域に対しピクセルごとにT1値を計算する“心筋TxMap”アプリケーションをリリースした(図1)。Modified Look-Locker Inversion Recovery(MOLLI)法で収集されたMR画像からおのおののT1値を算出する。一般的にT1 Mappingには2種類のパラメータが存在し,造影前MR画像からT1値を計算したものをNativeT1Map,造影後MR画像から計算したものをT1Mapと呼ぶ。基本的には造影前後のMR画像を用いることが多いが,造影剤投与が禁忌なケースも考慮し,非造影MR画像のみからT1値を計算できるようになっている。
図1 心筋TxMapの解析結果画像例
a:NativeT1Map(表示範囲0〜1500ms)
b:T1Map(表示範囲0〜800ms)
c:ROI設置例
d:設定した各ROIのタイムインテンシティカーブ(実線:実測値を直線で結んだ線,点線:実測値を基に計算した近似曲線)
消化器領域における改良
肝内の脈管領域の中で,比較的走行異常が認められやすいものとして胆管が挙げられる。術前に走行異常を把握することは,術後の胆汁漏出,敗血症や肝不全といった重大な合併症の発生確率を低下させる。従来,胆管領域を抽出する方法としては,DIC-CT,MRCPなどの撮像を追加で行い,陽性造影剤や水分子の含有量の差を利用して胆管をコントラスト強調し,閾値処理を行う方法があるが,追加撮像による検査枠の圧迫や,ダイナミックCT画像との位置補正の問題などがあり,日常業務において胆管を抽出するワークフローは確立されていない。
そこでV5.3では,肝内の拡張胆管症例において自動で胆管領域を抽出する機能を実装した(図2)。本機能により,上記問題点が少しでも改善されることを期待する。
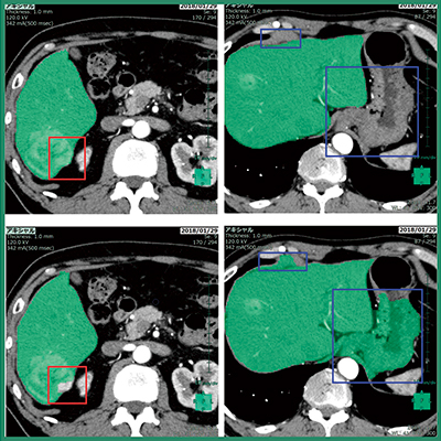
また,肝臓解析(CT)では,ディープラーニングを用いて設計した肝臓領域抽出を実装した(図3)。一般的に,ディープラーニング技術では,画像解析の分野において何を特徴とすべきかをコンピュータが自動的に学習できることが特徴であり(従来はソフトウエア開発者が画像の特徴を手動で設計),ディープラーニングが医用画像のポストプロセッシングに用いられることに対する期待は非常に高い。肝臓以外の臓器抽出エンジンにおいても,随時改良を進めていきたいと考えている。なお,VINCENTは臨床現場で学習することはない。
図2 自動抽出した胆管領域の結果画像例
図3 自動抽出された肝臓領域(緑色)
赤枠,青枠は用いた手法の違いにより差異が出た領域
上段:ディープラーニングを用いて設計した肝臓領域抽出の結果画像例
下段:従来の肝臓抽出エンジンの結果画像例
サルコペニア診断に向けた定量評価
消化器領域における術後の死亡率の予測因子の一つとして,サルコペニア(加齢による骨格筋量の低下)が挙げられることがある。サルコペニアの診断方法としてさまざまな手法が提案されているが,近年,CT画像からL3スライスにおける骨格筋量を定量評価する手法に関する論文などが多数アクセプトされている。VINCENTでは,複数の汎用解析アプリケーションを組み合わせる方法や,手動で骨格筋のマスク領域を抽出する方法を用いて面積を算出している。V5.3では,従来のユーザー操作を見直し,手動化,自動化できるステップの整理を行うことで,従来と比較して簡便に骨格筋面積を算出できる機能を腹部解析(3D)に実装した。図4は,骨格筋面積を算出した後のレポート,また,V5.3前後の骨格筋面積算出における概要のフローチャートである。
図4 腹部解析(3D)の概要
a:骨格筋面積算出後の腹部解析(3D)のレポート結果画像例。サルコペニアの診断に用いられるパラメータに決められた項目はないが,しばしば論文などで用いられる骨格筋面積を身長の二乗で除算した骨格筋面積指数の算出にも対応している。
b:V5.3前後の骨格筋面積算出のフローチャート。起動するアプリケーションの数やマスクの演算処理のステップを省略し,従来と比較して簡便な操作で骨格筋面積を算出できるように改良した。
Webビューワ
消化器,呼吸器,泌尿器領域の医師や医療従事者は,パソコンやタブレット端末などで手術シミュレーション画像を閲覧する機会が多い。手術シミュレーション画像の閲覧方法としては,QuickTime VR(QTVR)をQuickTimeプレイヤーで再生したり,ワークステーション上で作成ずみ画像を閲覧したりするのが一般的である。
しかし,QTVRを再生するためのソフトウエア“QuickTime for Windows”は,Apple社が積極的なサポートを行わないことが確定している。また,手術シミュレーション画像の閲覧をするためにVINCENTを起動し,肝臓解析や肺切除解析を起動する場合,施設の規模や導入しているVINCENTサーバの仕様によっては,同時接続数を圧迫するという問題を抱えていた。
これらの問題点を改善するために,作成ずみ画像を閲覧することに特化したWebビューワを開発した。VINCENTのログイン画面に,通常起動するボタンとは別にWebビューワボタンを配置した。ユーザーID,パスワードを入力しログイン認証が完了すると,オフラインVR,3D PDF専用のリスト画面が立ち上がるようになっている(図5)。オフラインVRは汎用のWebブラウザ上,3D PDFはAcrobat Reader上で動作するファイルであり,セキュリティ上問題なく利用できる仕組みになっている。Webビューワから起動した各種ファイルビューワは,VINCENTの同時接続数を消費しないため,従来と比較してより多くのユーザーが利用できるようになっている(図6)。
図5 WebビューワからオフラインVRを起動する手順の画面例
図6 SYNAPSE VINCENTシステム図例
上段ではVINCENTのスナップショットを起動し,下段ではVINCENTクライアント上でWebビューワからオフラインVRを表示する。この例における同時接続数は4になる。Webビューワから起動するオフラインVR,3D PDFはクライアント側のリソースのみを利用するため,VINCENTサーバへの負荷がなく,Webビューワ閲覧者以外のユーザーの解析処理操作の挙動には影響を与えない。
おわりに
今回V5.3に関する主要な改良点について記載した。今後も引き続き,放射線科をはじめとしたユーザーの有用な意見を取り入れ,操作性・機能の向上に努めたいと考えている。
製品名:ボリュームアナライザー SYNAPSE VINCENT
販売名:富士画像診断ワークステーション FN-7941型
認証番号:22000BZX00238000
SYNAPSE VINCENTについて詳細はこちら
https://www.fujifilm.com/jp/ja/healthcare/healthcare-it/it-3d/vincent
