New Horizon of 4D Imaging(ザイオソフト)
2017年11月号
TAVI術前プランニングや心筋定量評価など画像情報を活用し質の高い循環器医療を展開 〜PhyZiodynamicsなど画像解析技術をT1マッピングやIQonスペクトラルCTに活用〜
札幌ハートセンター札幌心臓血管クリニック
札幌ハートセンター札幌心臓血管クリニックは2008年4月に開設,74床の循環器専門病院として北海道のみならず全国でも有数の症例数を手掛けている。“最先端の医療技術の提供”を理念に掲げる同クリニックでは, 2017年1月に新たにZiostation2を導入し,経カテーテル的大動脈弁留置術(TAVI)の術前プランニングや心臓MRIのT1マッピングなどに活用している。循環器領域におけるPhyZiodynamicsを含めたZiostation2の運用について,藤田 勉理事長と,診療放射線部の佐々木康二部長と粟木敦子副部長に取材した。
心カテから外科手術まで循環器疾患に幅広く対応
心臓カテーテル治療を中心に有床診療所としてスタートした同クリニックだったが、2012年に心臓血管外科を、2013年には不整脈治療を行うハートリズムセンターを開設、病床数も74床となり診療機能を強化した。治療設備は、手術室2室と血管撮影装置を導入した治療室はハイブリッド手術室を含めた6室を設け、心臓カテーテル治療からバイパス手術、不整脈治療まで高度な手技に対応している。2016年度の治療件数は心臓カテーテル治療が2507件(検査を含む)、外科的治療が187件、カテーテルアブレーション581件などとなっている。
画像診断機器についても、CTは2層検出器を搭載した「IQonスペクトラルCT」と256列CT「Brilliance iCT」(いずれもフィリップス社製)の2台体制で、どちらも北海道では初導入となる。また、MRIは1.5Tの「Achieva 1.5T」(フィリップス社製)が導入されている。藤田理事長は、最新鋭の機器・設備の導入の方針について、「循環器診療に必要な最新のデバイスを導入して、up to dateな医療を提供することが当院の方針です。医療機器の進化のスピードは速く、最新機器ではシンプルに精度の高い情報を利用でき、少ない負担で患者さんの治療を行うことが可能です」と述べる。
Ziostation2と藤田 勉理事長
診療放射線部 |
診療放射線部 |
TAVIの術前プランニングで正確で迅速な評価を推進
同クリニックでは、2017年1月に新たにZiostation2を導入しネットワーク型での運用を開始した。クライアント端末は4台で、放射線部門の操作室内に設置されている。他社製のワークステーションが稼働する中で、Ziostation2が導入された経緯を佐々木部長は次のように説明する。
「導入のきっかけはTAVIです。術前の評価はCTデータを3D再構成し手動で計測していましたが、より多くの症例を行うためには計測効率のアップと、さらに客観性の高い計測が求められ、専用のアプリケーションが必要だと考えました。TAVIの術前アプリケーションだけでなく、PhyZiodynamicsによる動態解析や計測機能に期待してZiostation2を導入しました」
同クリニックでは、2016年1月に「経カテーテル的大動脈弁置換術実施施設」の認定を受け、これまでに50を超える症例を重ねてきた。藤田理事長は、「大動脈弁狭窄症については、現在はまだ心臓血管外科での対応が多いのですが、今後、高齢で重症な患者さんが増加することで、より低侵襲で負担の少ないTAVIへ移行することが予測されます。弁輪の複雑な構造を術前に正確に把握して、患者さんに安全で確実な手技を提供するために、Ziostation2を導入しました」と述べる。Ziostation2の「TAVR術前プランニング」では、ガイドラインやメーカーのプロクタリングに対応したレポート出力や血管径の自動計測、PhyZiodynamicsを用いた弁輪面の複数フェーズでの自動計測などが可能で、TAVIの安全な手技の遂行を支援する。藤田理事長は、「多くの症例数に対応するためには自動化が必要です。また、再現性の高いデータに基づいた定量評価を行うことで、安全で質の高い治療が提供できます。そのためにも3Dワークステーションを用いた解析は必須だと言えるでしょう」とZiostation2の活用を期待する。
佐々木部長はZiostation2でのTAVI前の画像処理について、「解析アプリケーションを用いた術前準備によって精度の高いデータを短時間に提供できるようになりました。また、PhyZiodynamicsによって複数フェーズでの弁輪面計測が可能で、動態で石灰化の影響などを把握できるメリットも実感しています」と述べる。PhyZiodynamicsは、TAVI術前の弁の評価のほか、心臓血管外科の拡張型心筋症(HOCM)の心筋切除術前の心筋の動きの評価など、多い時には1日3件前後の4D処理を行う。佐々木部長は、「外科の術前情報として4D画像のニーズが高まっています。処理には膨大な画像容量が必要ですが、PhyZiodynamics専用のサーバがあるのでルーチン検査の中で対応できています」と述べる。
心筋機能評価に新しい情報を付加するMR心筋T1マッピング
MRIは、心臓と頭部を中心に1日5件前後が行われている。Ziostation2では、非造影の冠動脈MRAの解析などを行っていたが、MRIで心臓のT1値の計測が可能になったことから、「MR心筋T1マッピング」を用いて心筋組織細胞外液分画(ECV)を心臓MRIの全例で計測している。MR心筋T1マッピングでは、造影前後のT1マッピングから血液のT1値とヘマトクリット値を利用してECVの定量評価ができる。粟木副部長は、「導入前は計測には準備や手間がかかるのではと構えていましたが、実際には従来のシーケンスを大きく変えずに追加でき、ROIの設定も簡単で計算も速いので、スループット良く運用できています」と説明する。MR心筋T1マッピングでは、「心筋の状態をカラー分布で表示してくれるので、全体を直感的に把握しやすく、臨床医にわかりやすい情報を提供できま
す。T1値の変化は、遅延造影(LGE)に描出されていなくても、心筋に何らかの変性が始まっていることが考えられ、予後の予測が可能になることが期待されます」(粟木副部長)と評価する。
同クリニックには、北海道大学大学院医学研究科放射線医学分野の真鍋徳子准教授が週1回非常勤で勤務している。藤田理事長は、「これまで心筋の機能評価については、パーフュージョンやLGEなどで行ってきましたが、MRIのT1マッピングは心筋の機能評価の新しい指標として期待しています。真鍋先生のご指導も受けながら、当院の豊富な症例を生かして知見を重ねて評価をしていきたいと考えています」と展望する。
■Ziostation2による循環器領域の画像解析
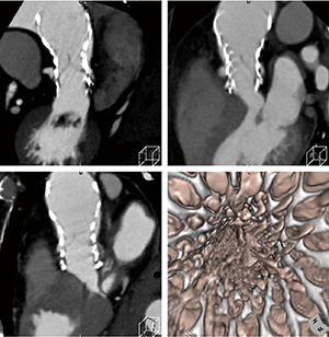
図1 IQonスペクトラルCTとZiostation2によるTAVI弁術後評価 |
図2 冠動脈と下肢動脈造影CT(低造影剤量でIQonスペクトラルCTの仮想単色X線画像をZiostation2で画像処理) |
図3 MR心筋T1マッピング |
図4 肥大型心筋症(HOCM)のPhyZiodynamicsによる評価 |
Dual EnergyデータをZiostation2で画像処理
2017年5月に、64列CTをリプレイスして新たにIQonスペクトラルCTが導入された。CT検査は2台で1日50〜60件、年間1万1000件以上が行われている。検査数が多いだけでなく、当日に結果まで提供していることが特徴だ。佐々木部長は、「患者さんには当日のうちに結果まで伝えて安心して帰ってもらうのが基本です。そのため、CTについても画像処理を行い、技師がコメントをつけてその日のうちに臨床医に検査結果を返す体制をとっています」と説明する。診療放射線部のスタッフは13名で、24時間365日断らない医療を展開する同クリニックの診療を支えている。
Ziostation2では、IQonスペクトラルCTの画像データを取り込み、VR作成やPhyZiodynamicsによる画像解析を行っている。IQonスペクトラルCTでは、Dual EnergyデータをセットにしたSBI(Spectral Based Image)が生成されるが、このデータは専用ワークステーションでしか扱えない。しかし、CT値の定義づけをしたピクセル画像を書き出すことは可能で、このデータをZiostation2に取り込むことでさまざまな処理が可能になる。これによって、仮想単色X線の低keV画像で造影効果を上げた画像を利用して、PhyZiodynamicsを適用して弁留置後のアーチファクトを除去した画像作成などが可能になる。佐々木部長は、IQonスペクトラルCTとZiostation2の組み合わせについて、「Dual Energyの画像を使い慣れたワークステーションで処理できることが一つのメリットです。IQonスペクトラルCTでは心筋評価やSBIのデータを活用した造影剤低減などが可能になっています。最終的にはDual Energyによって精度の高い冠動脈評価が行えるように検討を進めていきます」と述べる。
藤田理事長は、最新のCTやMRIとZiostation2のPhyZiodynamicsなどの画像解析技術を組み合わせることで、心臓の虚血から心筋機能までが簡便に定量的な評価が可能になるのではと期待する。多くの症例が集まる同クリニックで、Ziostation2を活用した循環器領域のさまざまな画像解析のエビデンスが蓄積されることが期待される。
(2017年10月3日取材)
札幌ハートセンター札幌心臓血管クリニック
札幌市東区北49条東16丁目8-1
TEL 011-784-7847

- 【関連コンテンツ】
