Affiniti 70 Elevate
フィリップス・ジャパン
超音波 据え置き 汎用
定評あるPureWaveクリスタル素子で,毎日の検査をよりクリアにより快適に。

Affiniti 70 Elevateは,上位機種のEPIQと同じ,PureWaveクリスタル素子のトランスジューサを使用でき,毎日の検査をより快適に行うことができます。
心臓,腹部,血管,表在と広い領域で使用でき,コストパフォーマンスのよい機種です。
QLAB解析ソフトウェアでは,アナトミカルインテリジェンスの自動化機能を備え,検査中の定量計測では自動EFやストレイン計測などが簡便に行えます。
消費電力が289 VA以下のエコ設計1 で,作動音も37〜41 dBで図書館並みの静かさ2 を実現します。
2 A noise test determined that EPIQ and Affiniti runs at 37-41 dB, which is equivalent to the sound of a library.
特長<1>
快適な検査画像
従来,上位機種のみが搭載していた,PureWaveクリスタル素子のトランスジューサに対応し,透過性の向上により,技術的に条件の厳しい症例でもスムーズな検査の実施が期待できます。
特長<2>
自動化機能搭載
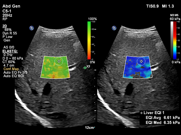
Shear Wave Elastographyを使用して肝臓の硬さを非侵襲的に計測するアプリケーションElastQに,自動化機能が追加されました。Auto ElastQは、計測に適したフレームやROIポジションを自動で判別し,計測結果を表示することが可能です。これにより,これまで課題であった検査時間を最大60%短縮し3,99%の再現性が報告されています。4
3 D001795093, Marketing Claims Evidence for Auto ElastQ timing, V12.0_Rev.A
4 D001705221,Auto ElastQ clinical study report
特長<3>
AutoStrain LVで迅速・簡便な心機能評価へ
迅速で再現性のあるGLS測定を目指して開発されたTOMTEC AutoStrain LVでは,Auto View Recognition,Auto Contour Placementおよびスペックルトラッキングなどの自動化技術を使用し,ボタンを1回押すだけで,Left Ventricular Global Longitudinal Strain(LVGLS)測定が可能です。
特長<4>
ルーチン計測の自動化技術で検査効率の向上へ「Auto Measure」
毎日の検査で計測される一般的な計測項目を自動で計測するAuto Measureでは,AI技術5 を使用してドプラ波形を自動認識し計測時のタッチスクリーン操作を軽減するSmart Doppler View IDに対応します。
5 AI技術の設計にはDeep LearningまたはMachine Learningを使用しており,実装後に自動的に装置の性能・精度は変化することはない。
特長<5>
省電力設計
Affiniti 70 Elevateは整備性も考慮した回路設計で,装置も軽量です。
消費電力は289 VA未満に抑え,作動音は図書館のフロア並みの37〜41 dB6 で,静かで落ち着いた検査環境に寄与します。
6 A noise test determined that EPIQ and Affiniti runs at 37-41 dB, which is equivalent to the sound of a library.
詳細は,当社お客様窓口もしくは営業担当者にお問い合わせください。
対応トランスジューサ:セクタ,リニア,コンベックス
対応モード:B,カラードプラ,PW,CW,HighResCPA
外寸:約57 cm(W)x98 cm(D)x142-162 cm(H)/ 重量:約84 kg
QLAB 解析ソフトウェア
エラスト,シアウェーブ など
循環器用 / 腹部用 / 血管用 / 全身用アプリケーション,
ハーモニック,コントラストエコー / ストレスエコー
詳細は,当社お客様窓口もしくは修理窓口にお問い合わせください。
全国の営業所からサポートを行っております。
●お問い合わせ先
株式会社フィリップス・ジャパン
〒106-0041
東京都港区麻布台1-3-1 麻布台ヒルズ森JPタワー15階
お客様窓口 TEL 0120-556-494
www.philips.co.jp/healthcare
販売名:超音波画像診断装置 EPIQ/Affiniti
医療機器認証番号:225ADBZX00148000
特定保守管理医療機器
管理医療機器
