Lumify
フィリップス・ジャパン
超音波 ポータブル 汎用
場所を問わず使用できるタブレット型の超音波診断装置
特長<1>
鮮明な画質
Lumifyは,セクタ,リニア,コンベックスの3種のトランスジューサに対応しています。超音波画像分野において蓄積してきた技術により,ポータブル装置においても明瞭で精緻な画質を実現し,迅速な診断をサポートします。
特長<2>
シンプルな操作性
アンドロイドをベースとした操作性により,直観的に操作を行うことが可能です。また,デバイスの電源を入れ,トランスジューサを接続するだけで,速やかに検査を開始することができます。
特長<3>
リアルタイムのコミュニケーションを可能にするReactsを搭載
LumifyとReactsの機能を使用することで,離れた場所にいる人ともエコーの画面を共有して,リアルタイムでコミュニケーションを行うことができます。遠隔地からコメントや指導を行うことで,現場での迅速で正しい診断を導きます。また,教育的ツールとしても注目されています。
特長<4>
B-lineカウンティング機能(肺エコー用ソフトウェア)
B-Lineカウンティング機能は,肺炎などで発生するB-lineを自動計測し,リアルタイムで表示します。新型コロナウイルス感染症などの肺エコーにおいて,客観的で視覚的な評価をサポートします。
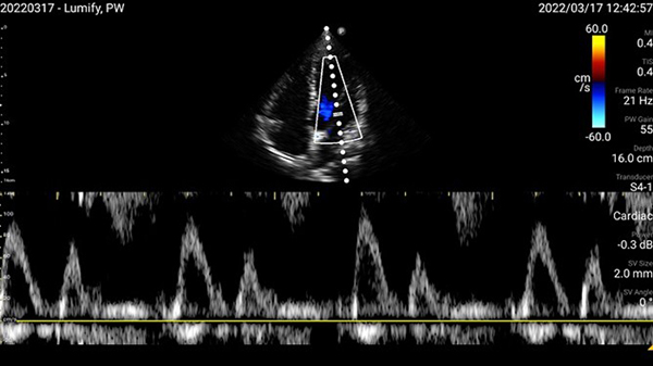
特長<5>
パルスドプラ法(血流速計測機能)
全てのトランスジューサにおいてパルスドプラによる血流速度の評価が可能です。さらに,自動調整機能により,ワンボタンでの波形の最適化が可能です。
詳細は,当社お客様窓口もしくは営業担当者にお問い合わせください。
対応トランスジューサ:セクタ,リニア,コンベックス
Reacts
腹部,肺野,循環器など
詳細は,当社お客様窓口もしくは修理窓口にお問い合わせください。
全国の営業所からサポートを行っております。
DICOM画像出力に対応
●お問い合わせ先
株式会社フィリップス・ジャパン
〒106-0041
東京都港区麻布台1-3-1 麻布台ヒルズ森JPタワー15階
お客様窓口 TEL 0120-556-494
www.philips.co.jp/healthcare
販売名:超音波画像診断装置 Lumify
医療機器認証番号:302AFBZX00043000
特定保守管理医療機器
管理医療機器

