2015-3-23
ブースNo.107
●担当者からのメッセージ
これまで提案してきたフィルムレスソリューションに加え,最先端医用テクノロジーも紹介する7つのコーナーをご用意し,東陽テクニカならではのソリューションを紹介します。是非東陽テクニカのテクノロジーに見て,触れて,体験し,本展示会がお客様の課題解決の一助となれば幸いです。
●ここが見どころ
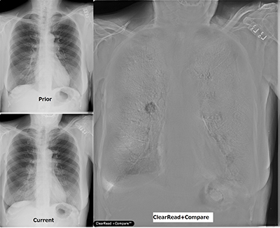
「胸部X線骨組織透過テクノロジー」コーナー
発売以来大きな反響をいただいているClearReadシリーズ。先進の画像処理技術で院内胸部X線読影を強力に支援します。通常撮影で得られる元画像1枚から骨組織透過処理を行う胸部X線骨組織透過ソリューション“ClearRead BS”に加え,さらなる画像処理技術としてメーカや装置を越え,骨組織透過後に経時差分処理を行う“ClearRead +Compare”及び医療用チューブ強調処理技術“ClearRead +Confirm”を紹介します。
「デジタル・マンモグラフィ画像診断」コーナー
発売開始から10年を迎えるMammoReadシリーズ。大きな広がりを見せるマンモグラフィ技術にいち早く対応し,豊富な経験と実績を基にこれからも進化し続けます。多様化するワークフローに対し,多彩かつユーザフレンドリーな機能でスピーディな読影をサポートするMammoReadシリーズのフルラインナップを取りそろえて紹介いたします。
・デジタル・マンモグラフィ画像ビューアMammoRead Viewer
・乳腺所見レポート・システムMammoRead Report
・乳房トモシンセシス読影モジュールMammoRead TOMO
・画像保存マネージメント・システムMammoRead DataManager
「整形外科フィルムレス・ソリューション」コーナー
”OrthoPlannerPro”は国内外メーカの豊富なインプラントデータと整形外科専門計測を搭載し,整形外科分野のスムーズな完全フィルムレスを実現。自動テンプレート配置機能,自動骨切機能等,カスタマイズ可能な計測フローにより迅速かつ正確な整形外科のプランニングフローに対応したソリューションを提供します。
「Web配信/セキュリティ」コーナー
急速に発展するネットワーク技術とともにそのネットワークが脅威にさらされています。IT化が進む病院もその攻撃の対象となりつつあります。
東陽テクニカが提案するWebViewerはサーバに負担をかけないクライアントレンダリングタイプを採用し,患者情報をデバイスに残しません。
さらに,セキュリティコーナーでは医療現場で普及が進んでいるモバイル端末のセキュリティ対策をご紹介します。世界発モバイルIPS(Instrusion Prevention System)モバイル攻撃防御システムをはじめ,個人情報を扱う医用機器をサイバー攻撃から守るための様々な機器を展示します。
「クラウド・ソリューション」コーナー
ネットワークをベースにしたコンピュータ資源の効率的な利用を目的としたクラウドは医用業界でも大きな注目を集めています。クラウド・ソリューションとして,胸部X線骨組織透過ソリューションClearReadシリーズ,および同一患者の複数検査において同一部位の位置を検出するDICOMボリュームレジストレーションを紹介します。
「モダリティOEMソリューション」コーナー
各種モダリティの画質改善,カスタムイメージングソリューション等,モダリティ向けの様々な技術を紹介します。
「最新テクノロジー」コーナー
様々な分野の最新テクノロジーを紹介します。
●主な展示製品
- 胸部X線骨組織透過ソリューション“ClearRead”シリーズ
- デジタル・マンモグラフィ画像ビューア“MammoRead ”シリーズ
- 整形外科デジタル・プランニングツール“OrthoPlannerPro”
- モバイルセキュリティ脅威防御ソリューション” ZIMPERIUM ZMTD”,他
- Web画像配信システム“IMS Web Viewer”
- モダリティ組込用画質改善ソフトウェア“GOP VIEW”
- 実験動物用 in-vivo X線マイクロCTスキャナ“SkyScan”
他
●東陽テクニカブース
●お問い合わせ先
株式会社東陽テクニカ
住所:〒103-8284 東京都中央区八重洲1-1-6
TEL:03-3245-1351
URL:http://www.toyo.co.jp/medical

