2019-12-2
米国で販売を開始した「SCENARIA View」
RSNA 2019 CT
Hitachi Healthcare(日立製作所)のCTコーナーでは,64列128スライスCT「SCENARIA View」と,64列 / 16列マルチスライスCT「Supria」シリーズの2台のモックアップを展示し,最新アップデート情報と併せてアピールした。
日本国内では2018年にリリースされたSCENARIA Viewは,2019年9月13日にFDAを取得,米国での販売を開始した。SCENARIA Viewのコンセプトは,低線量と高画質,ワークフロー向上,大開口径と横スライド寝台による適応患者の拡大であり,今回,それぞれについてアップデートがあった。
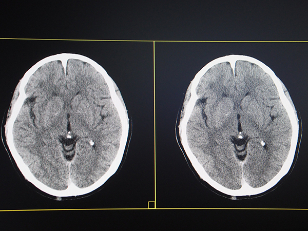
逐次近似画像処理“IPV”は,自然な質感を保ったまま,最大90%の画像ノイズ低減や,最大83%の被ばく低減などを可能にし,低被ばくと高画質を高いレベルで両立できる画像処理法である。今回,適応領域が従来の腹部だけでなく,頭部や胸部も含めた全身へと広がった。高画質化についてはさらに,金属アーチファクト低減技術“HiMAR”が進化し,“HiMAR Plus”が追加された。HiMAR Plusは,rawデータとイメージデータの両方で繰り返し再構成を行うことで,より強いアーチファクトを抑制することができる。画像処理の強度は,standardとstrongの2段階が用意されている。アーチファクトを除去しやすい腰椎などには高速に処理できる従来のHiMARを,大腿や膝など大きな金属が入っている部分にはHiMAR Plusを使用するなど,撮影画像を確認して必要に応じた処理が可能になる。
ワークフロー向上のコンセプトSynergyDriveにおいては,自動位置決めの“AutoPose”が,これまでの肺野に加えて頭部にも対応した。スキャノグラムから解剖を自動認識し,撮影範囲を自動設定する。頭部では,OMライン,SMライン,RBラインの3つの基準に対応し,マージンも任意に設定できる。
さらにSCENARIA Viewは,800mmの大開口径と,寝台の左右動200mm(左右に各100mm)という特長を有し,頭部撮影や整形外科領域,バイオプシーで貢献する。今回新しく,寝台が左右に移動した状態でもガントリのチルト(最大傾斜角度30°)が可能になり,頸部が左右に傾いている患者さんでも,頭部を真っ直ぐにポジショニングした上で,左右動で調整することで撮影中心に頭部を配置することができ,さらにチルト撮影することで,不要な被ばくを回避することができる。
これらの最新アップデートについては,米国では2019年11月から,日本とその他海外(中国以外)については12月から提供開始となる。
なお,SCENARIA Viewは,従来装置から検出器を一新している。設計を最適化した“HV Detector”により電子的なノイズを25%カット,さらに14%軽量化したことで回転軌道の安定性が向上している。
米国で販売を開始した「SCENARIA View」
適応領域が全身に拡大した“IPV”(左:FBP,右:IPV)
IPVによる画質改善(左からFPB,Intelli IP,IPV)(日立提供)
金属アーチファクト低減技術は“HiMAR Plus”に進化(左上:通常画像,右上:従来のHiMAR,左下:HiMAR Plus standard,右下:HiMAR Plus strong)
“AutoPose”が頭部にも適応。OMライン(左)やSMライン(右)などの基準ラインを自動で設定する。
寝台が左右に200mm移動する横スライド寝台を搭載
CTは,SCENARIAシリーズとSupriaシリーズを合わせて,全世界で3811台の納入実績を有する(2019年9月末時点)。米国のCT市場は64列がメインであることから,SCENARIA Viewの投入で米国国内のユーザーの拡大が期待される。
64列CTが主流の米国では,64列128スライスCT「Supria」をアピール
