MAMMOMAT Inspiration PRIME Edition × 亀田京橋クリニック
独自の被ばく低減テクノロジーによる低線量撮影と高い拡張性でスクリーニングから精査までを実施 ─ 「MAMMOMAT Inspiration PRIME Edition」でトモシンセシスを検診に活用
2013-9-26
左から,原田磨梨江技師,鈴木由紀子技師,
齋田 愛技師,戸﨑部長
亀田京橋クリニックは,「東京でも亀田クオリティ」をモットーに,アクセスに優れたビジネス街の中心に,2013年7月に開業した。コンセプトの1つである“女性に優しいクリニック”としての環境が整えられており,マンモグラフィシステムは低被ばくが評価されている装置を2台導入。そのうち1台に,シーメンス社製「MAMMOMAT Inspiration PRIME Edition」を選定し,トモシンセシス機能を活用したスクリーニングや精密検査を実施している。同院の画像診断の責任者であり,機器選定を行った戸﨑光宏診療部部長に,導入のねらいや初期使用における評価についてお話をうかがった。
■最新モダリティを備えたサテライトを開設
戸﨑光宏 部長
亀田京橋クリニックは,亀田メディカルセンター(以下,本院)のサテライトクリニックとして,再開発の進む京橋地区の複合ビル内に開業した。千葉県鴨川市にある本院の受診者のための窓口として,外来や術前検査,治療後のフォローアップなどを行うことを役割のひとつとしており,電子カルテシステムとPACSを本院と共有することで,シームレスな診療を実現している。
一般外来部門と健診部門を設けており,健診部門では人間ドックを実施している。開院から1か月で,すでに約150件を受け入れており,このうち7〜8割が乳腺のオプション検査を追加。乳腺外来も200件を超え,同院の乳腺診療に対する期待の高さがうかがえる。
検査機器は,128スライスCT,3T MRI,一般X線装置,超音波診断装置(9台),デジタルマンモグラフィシステム(2台)など,それぞれ最先端の装置を導入した。人間ドックのオプションでは,大腸検査に大腸3D-CT,乳腺検査に乳腺MRIを選択できるなど,本院と同じ高いレベルの検査の提供が可能となっている。
当初は,都内に乳腺診療のためのサテライトクリニックを開設することを想定していたが,新規開業する複合ビルへの誘致を受け,乳腺に限らず幅広く診療を行うクリニックとして開業するに至った。検査機器については,戸﨑部長が画像診断の責任者として,各科の要望をヒアリングしながら,選定を行った。クリニックながらハイエンドの装置をそろえたねらいを,戸﨑部長は次のように話す。
「当院が診断センター・画像センターとしての機能を果たすことを念頭において,最新の装置をそろえることで,亀田クオリティを提供し,社会貢献することをめざしています。診療はもちろん,検診においても,一般病院の精密検査よりも高いレベルの検査を行えるだけのモダリティをそろえました」
マンモグラフィシステムも複数の装置を比較検討の上, 2台のうち1台に,シーメンス社製「MAMMOMAT Inspiration PRIME Edition」が選定された。
MAMMOMAT Inspiration PRIME Edition。LEDパネルは,好みの色に設定可能。 |
読影風景 |
■導入の決め手は低被ばくと質の高いトモシンセシス
MAMMOMAT Inspiration PRIME Editionは,α-Se直接変換方式FDでピクセルサイズは85μm,日本人向け画像処理パラメータOpViewⅡやトモシンセシス(オプション),バイオプシー(オプション)機能を搭載する。
トモシンセシス機能は,X線管が±25°の範囲を動きながら,25回の低線量撮影を行い,ボリュームデータから1mmごとのDICOM画像を再構成する。ページング機能のあるビューワで画像を表示でき,角度の異なるスライスを連続的に表示することで,詳細な読影が可能となる。
戸﨑部長は,導入の決め手は,トモシンセシスのクオリティの高さと低被ばくにあったと話す。
「スクリーニングのマンモグラフィでは,日本人女性に多い高濃度乳腺で病変の拾い上げが難しいことがあります。そこで,造影マンモグラフィやトモシンセシスなどが非常に有用になりますが,なかでも断層画像であるトモシンセシスは,乳腺の重なりなどの観察や,カテゴリー分類に迷ったときの判断に有用です」
また戸﨑部長は,遺伝性乳がんの検査や予防的治療にも積極的に取り組んでおり,ハイリスクグループに対する繰り返しの検査による被ばくリスクに対しても,個別検査での被ばく低減の重要性を強調する。
シーメンス社独自の線量低減テクノロジーである“PRIMEテクノロジー”を搭載したMAMMOMAT Inspiration PRIME Editionは,同院への導入が国内1号機となる。散乱線除去グリッドを外して撮影することで,グリッドありの場合と比較して20〜30%の照射線量の低減を実現する。
「シーメンス社のマンモグラフィは,もともと被ばく線量が少ないのですが,PRIMEテクノロジーによりさらに被ばく低減が期待できるということで,もう1台の装置と比較検討しながら,日本人女性向けの線量と画質のバランスを追究していきたいと思います」と戸﨑部長は語る。
右CC画像 |
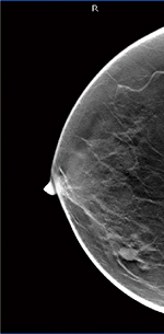
右トモシンセシス画像 |
■高いレベルの検診で患者の負担軽減に貢献
同院では,受診者が検診でマンモグラフィ単独検査を選択した場合には,できるだけMAMMOMAT Inspiration PRIME Editionでのトモシンセシス撮影を追加している。この理由について戸﨑部長は,「トモシンセシスにより多くの情報を得ることで,通常では精密検査のレベルまでを1日ですませ,さらに,MRIや生検も短期間で行うことで,受診者がストレスを抱える時間を短くしたいと考えています」と述べる。
マンモグラフィデータは,撮影後に2Dデータを本院のメインサーバと院内のローカルサーバに転送し,トモシンセシスのデータについては,院内の専用サーバ(10TB)に保存している。技師読影を経て,一次,二次読影を行い,レポートを作成するが,トモシンセシスにより2Dの読影結果からカテゴリー分類に変更がある場合には,コメント欄に所見を記載している。なお,受診者への結果報告では,高濃度乳腺で読影困難な場合には,その旨を受診者に知らせ,検査結果を正確に理解してもらうように努めているという。
トモシンセシスについて,戸﨑部長は,「読影には,ある程度の練習は必要かもしれませんが,2Dを読影できるエキスパートなら,さほど難しくはないと思います」と話す。また,「トモシンセシス撮影による被ばく線量の増加と診断能の向上とのバランスを考え,マンモグラフィの基本的な被ばくを抑える方向に向かうことが望ましいと思います」と述べる。
戸﨑部長がめざす,安全で質の高い乳腺診療の実現に向けて,スクリーニングから精密検査までをこなし,高い拡張性を持つMAMMOMAT Inspiration PRIME Editionの貢献が期待される。
(2013年8月13日取材)
亀田京橋クリニック
住所:〒104-0031
東京都中央区京橋3-1-1 東京スクエアガーデン4F
TEL:03-3527-9100
病床数:22科,専門外来
URL:http://www.kameda-kyobashi.com/
