AIプラットフォーム「SYNAPSE SAI viewer」 × 順天堂大学医学部附属浦安病院
先進の画像解析技術をベースに開発された読影ビューワが読影業務を支援 ─人工知能(AI)技術を活用した臓器セグメンテーションや肺結節検出機能など読影業務の効率化に貢献
2021-4-1
順天堂大学医学部附属浦安病院では
SYNAPSE SAI viewerを導入して
読影業務を支援
順天堂大学医学部附属浦安病院(田中 裕院長)は,大学の附属病院として高度医療の提供や,研究,教育と同時に,浦安市,市川市を中心とする千葉県東葛南部地域の中核病院として地域医療を担うという2つの役割を果たしている。同院では,2020年9月に医用画像情報システム「SYNAPSE Enterprise-PACS」を更新し,読影端末として富士フイルムのAIプラットフォームを搭載した読影ビューワ「SYNAPSE SAI viewer」を導入した。AI技術を活用して開発されたさまざまな読影支援機能の活用と評価について,放射線科科長補佐の鈴木通真先任准教授,菊地奈央医師,山岸亮平医師と,前科長(現・順天堂大学保健医療学部診療放射線学科)の京極伸介教授に取材した。
京極伸介 教授 |
鈴木通真 先任准教授 |
菊地奈央 医師 |
山岸亮平 医師 |
大学附属病院として高度医療と地域への貢献を両立
1984年に250床で開院した同院は,88年に469床,2004年には2号館が完成し653床に増床,2017年には3号館の竣工によって現在の785床となり,診療ニーズに合わせて病床および建物を拡張してきた。順天堂大学は,本院(順天堂医院,東京都文京区,1051床)のほか,練馬病院(東京都練馬区,400床),静岡病院(静岡県伊豆の国市,577床),越谷病院(埼玉県越谷市,226床),江東高齢者医療センター(東京都江東区,404床,東京都が開設,順天堂大学に運営委託)と5つの附属医療機関があるが,同院はその中でも最大の病床数を持つ。
病院のある浦安市の人口は約17万人(2021年現在)だが,首都圏の通勤圏内で人口増加地域であると同時に,東京ディズニーリゾートなど観光施設を要し交通の便も良く,市川市(人口約48万人)を含めて診療圏は100万人を超える。診療科は30科で,がんや脳神経疾患,循環器疾患などで高度な医療を提供する体制を整えるほか,不妊治療やスポーツ医学領域の診療に当たる専門診療科を開設するなど幅広い診療を提供する。浦安市と市川市を中心とした千葉県東葛南部地域の基幹病院として救急医療にも力を入れており,救命救急センターを中心に各診療科が連携して北米型ERを実践し,365日24時間の小児を含めた救急初期診療を提供する。また,三次救急医療施設として急性心疾患や脳卒中,重度外傷などの重症救急症例を受け入れる地域の“最後の砦”となっている。
SYNAPSEの更新と同時にSYNAPSE SAI viewerを導入
高度医療の提供という病院の役割に対応するべく,放射線科では画像診断機器やPACSなどの情報システムを整備してきた。画像診断医6名,放射線治療医2名が在籍し,診断部門ではCT,MRI,核医学などの読影とIVRにも対応する。IVRは腹部領域を中心に時間外にも対応し,救急外傷や産科領域の塞栓術(TAE)などを行っている。
画像診断機器は,CT 3台(2管球式,320列,80列),MRIは1.5T 2台と3Tの計3台,核医学検査は3検出器型と2検出器型のガンマカメラが各1台,血管撮影装置2台のほか,一般撮影装置,マンモグラフィなどが整備されている。検査件数は,CTが1日140〜160件,MRIが1日40〜60件,核医学検査が約10件。読影については画像診断管理加算2を算定していることから,時間外の検査(1日平均20件程度)を含めてCT,MRI,核医学検査については翌診療日までに,ほぼすべてのレポートを作成している。そのほか読影依頼のある一般撮影やマンモグラフィについてもレポートを作成する。鈴木先任准教授は,放射線科の読影体制について,「基本的には,検査終了から時間を空けずに読影を進めるようにしています。検査で偶発的な所見が見つかれば臨床医に連絡して,いち早く患者さんにフィードバックすることが理想ですので,できるだけタイムラグのない読影体制を取っています」と説明する。
8メガのワイド液晶モニタ(右)とレポート表示用の21インチ縦型液晶モニタ(左)を組み合わせた読影端末 |
SYNAPSE SAI viewerのビューワ画面 |
2012年からSYNAPSEを導入してPACSを構築
同院では2020年9月にPACSを更新し,読影ビューワとしてAI技術を活用して開発された富士フイルムのSYNAPSE SAI viewer(以下,SAI viewer)が導入された。放射線科では,2012年に他社製PACS からのリプレイスでSYNAPSEを導入し,画像情報の管理,読影,レポート作成,院内配信などに活用してきた。今回のPACS更新のポイントについて京極教授は,「2012年の導入以来,SYNAPSEは大きなトラブルもなく安定的に稼働し,ビューワとしての使い勝手も良い,使いやすいシステムでした。更新ではほかのベンダーを含めて改めてシステムの検討を行いましたが,安定性と継続性に加えて,AI技術を活用した新しい機能に期待してSAI viewerを選定しました」と述べる。
SYNAPSEは,大容量化する画像データに対応するためサーバサイドレンダリング方式を採用したPACSで,サーバ上で処理した結果のみをクライアント端末に返すことで表示スピードの高速化を図っている。これによって,画像クリックから表示までの時間や操作の際のレスポンスが向上した。システムの構成としては,電子カルテシステムと放射線情報システム(RIS)と連携して,SYNAPSEとレポートシステム(F-Report),画像処理ワークステーション(SYNAPSE VINCENT)などが稼働する。院内では,電子カルテ端末上で検査画像統合システム「SYNAPSE SCOPE」を利用して画像とレポートを参照できる。SAI viewerは,SAIサーバと画像解析サーバ(SAI viewer用画像処理プログラム)を立てることでPACSのクライアントとして利用できる(システム概要図参照)。
読影用端末は,1階の放射線部門の読影室に9セットとマンモグラフィ用専用端末が1台,そのほか,CT室と医局,科長室にも設置されている。基本的な読影端末の構成は,画像表示用の8メガのワイド液晶モニタ1面と,レポートや電子カルテ表示用の21インチ縦型液晶モニタの組み合わせになっている。ワイド液晶モニタに2画面を分割して表示することで,2面構成よりもベゼル部分がなく広い視野が確保できる。京極教授は端末の構成について,「ワイドモニタの採用のほかPC本体を小さくして机上のスペースを広く取れるようにするなど,導入時には快適な読影環境になるように要望しました」と述べる。
順天堂大学医学部附属浦安病院の医療画像情報システム概要図
AIプラットフォームとして読影ビューワをゼロから開発
富士フイルムでは,長く培ってきた画像処理技術と深層学習などのAI技術を組み合わせた医療向けのAI技術を“REiLI”のブランド名で開発を進めている。AI技術を活用した医療ITへのアプローチとして,臓器セグメンテーション,コンピュータ支援診断(CAD),ワークフローの効率化を開発のターゲットにしている。SAI viewerは,その新たなプラットフォームとしてゼロから開発された読影ビューワで,AI技術を(1)臓器抽出機能およびラベリング機能,(2)骨経時サブトラクション機能,(3)Virtual Thin Slice機能として利用している。SAI viewerは,読影ビューワと同時にプラットフォームでもあり,今後開発される富士フイルムやほかのパートナー企業のAIアプリケーションの追加も予定されている。実際に2020年6月には,同社が開発した“肺結節検出機能”と“肺結節性状分析機能”が新たに搭載された。SAI viewerの導入について京極教授は,「画像診断領域でAI技術が急速に進展する中で,富士フイルムがAI技術を使ったPACSやワークステーションを開発しているという話は聞いていましたが,われわれの臨床現場で実際に利用できるのはもう少し先だと思っていました。今回導入されたSAI viewerで,その機能を普通に日常の読影業務の中で活用できていることに少し驚いています」と述べる。
SAI viewerで臓器セグメンテーション技術が活用されているのが,過去画像との自動位置合わせ機能である。自動位置合わせでは,抽出された臓器の位置を相対的に照合して対応づけを行い,2つの画像の位置を合わせた状態で表示する。読影では,過去画像と比較して経時的な変化を確認するが,従来は読影医が目視でスライスを選択して手動で位置合わせを行っていた。SAI viewerでは,対象となる画像データを選択して開くだけで,スライス位置が自動で同期される。鈴木先任准教授は,「開いた瞬間から比較読影が始められます。今までと比べて1件あたり15秒程度は短縮されていると感じます」と述べる。菊地医師は,「一度SAI viewerで自動位置合わせを使って便利さを知ってしまうと,元には戻れません。まれにずれることがありますが,位置合わせの精度は高いと思います」と評価する。
同一モダリティの過去データだけでなく,CTとMRIなどの異なるモダリティでの位置合わせも可能だ。さらに,PETやSPECTなどの核医学検査とのフュージョン画像にも適応した機能は,核医学画像の読影に特化した表示を可能にした“核医学ビュー”(オプション)として提供されている。
AI技術を活用し胸部CT画像による肺がん診断
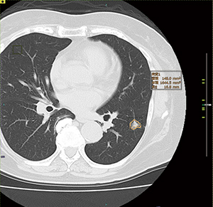
SAI viewerでは,画像解析オプションとしてAI技術を活用した機能を搭載している。その一つとしてV1.3で追加されたのが,肺結節検出機能と肺結節性状分析機能だ。肺結節検出機能では,胸部CT画像から肺結節の候補を自動で検出して検出箇所をマーキングして表示し,肺結節の見落とし防止を支援する。肺結節性状分析機能は,結節の性状分析,所見文候補の自動生成などを行いレポート作成を支援する。
同院では,肺結節検出機能を使わずに読影後,SAI viewerがピックアップしたものを再びチェックするフローで運用している。鈴木先任准教授は,「肺結節の読影では,肺の血管径と同程度の大きさの時に見逃しやすいことがありますが,SAI viewerの検出機能を使うことで結節の候補がピックアップされます。それを再確認して答え合わせをする感じですが,数か月の使用経験で検出機能がなかったら見逃していたというケースも実際に経験しています」と話す。運用について菊地医師は,「SAI viewerの検出機能は,まず自分で読影したかどうかのアラートが出て承認しないと使えません。画面では,SAI viewerがピックアップした候補と自分でチェックした結節が,スライス位置でタグとして対比して表示されて,自分がチェックしなかった結節が一目で確認できるので使いやすいですね」と説明する。
SAI viewerの検出結果について鈴木先任准教授は,「まだ検証したわけではありませんが,結節は少し過剰にピックアップされている印象です。その方が後から確認して除外できるので安心です」と言う。京極教授は,「オーバーリーディングだなと感じますが,トータルで見ると優秀だと思います」と述べる。肺結節性状分析機能では,読影医が指定した結節のサイズ計測,辺縁部,内部構造などの性状分析を行う。さらに,比較読影に必要な病変の推移を並べて経時的な観察を1画面で可能とする“フォローアップビュー”も搭載されている。
肺結節検出機能
コンピュータ支援診断(CAD)で肺結節の候補を検出する。検出されたスライスにはスライダーバーにマークが表示され,医師がフォロー対象として指定した候補には計測結果を提示する。
ユーザーインターフェイスなど読影基本機能が進化
SAI viewerでは,読影ビューワとしての基本機能が進化しているのも特長だ。読影時の操作をサポートする機能として,必要な検査をワンクリックで絞り込める“モダリティ種別フィルタ”や,検査リストの表示領域を拡張して選択できる機能などを搭載する。また,“クイックレイアウト機能”では,リストで選択された検査のサムネイル画像のすぐ下に,ビューワの割り当て場所を示す枠が表示され,その枠にドラッグ&ドロップすることでビューワ画面に反映される。マウスを大きく移動させずに検査画像のレイアウティングが行える。菊地医師はクイックレイアウト機能について,「最小限のマウスの移動で,見たい場所に画像を表示できるので便利です」と評価する。
もともとSYNAPSEの読影ビューワの使い勝手を評価していた鈴木先任准教授は,「SYNAPSEはシェアが高くユーザーが多いメリットを生かして,そのフィードバックを基に改良が重ねられてシステムが最適化されていると感じます。カスタマイズの自由度が高いのも使い勝手が良い一因でしょう」と述べる。SAI viewerのユーザーインターフェイス(UI)について山岸医師は,「豊富な機能が搭載されているにもかかわらず,画面のレイアウトがシンプルでアイコンの数も最小限に抑えられています。順天堂大学の附属病院ではSYNAPSEの導入施設が多く,使い慣れていることもありますが,ビューワのUIが直感的で使いやすく安心して読影できますね」と話す。順天堂大学では,本院,越谷,江東高齢者医療センターでSYNAPSEが導入されている。
SAI viewerでは,搭載されている機能をすべて,キーボードに割り当てることができる(ショートカット機能)。山岸医師は,「よく使う計測や部分選択などをキーボードに設定して,押しながらマウスを操作することで,メニューを開くことなく操作できます。繰り返し使う操作なので,レポートの作成の時間短縮につながっていると感じています」と評価する。
また,3Dデータを統合的に扱えるようになっており,ビューワ上でMPR,MIP,VRなどの作成が可能だ。PACS(SYNAPSE)サーバに1mmスライスのデータを保持しており,必要に応じてシンスライスでの3Dの作成も可能になっている。3D画像についてはSYNAPSE VINCENTとも連携しており,アイコンやマウスの右ボタンからワンクリックで起動し,VINCENT上で参照が可能だ。京極教授は,「実際には技師サイドであらかじめ作成してくれるので,読影医が作成することは多くはありませんが,読影時に追加で必要になった時にはビューワで3Dが簡単に作成できるので助かっています」と述べる。
クイックレイアウト機能
クイックレイアウト(赤枠内)はシリーズのサムネイル画像のすぐ下にビューワの表示場所を示すグリッドが表示され,ここにドラッグ&ドロップすることで最小のマウス操作で画面レイアウトができる。
自動認識・位置合わせ機能
臓器セグメンテーション技術を生かした自動位置合わせ機能。同一モダリティだけではなく,CT,MRIなど異なるモダリティ間の位置合わせを行える。画面は肝臓の造影CT(左4シリーズ)を基準に,EOB-MRI(右4シリーズ)の位置合わせを行った例。
臨床や教育を含めてSYNAPSE SAI viewerを活用
教育面での活用について京極教授は,「研修医の書いたレポートを上級医がチェックして必要があれば修正しますが,その修正履歴が残るようになっています。時間がないと説明できないこともあるので,後から履歴を確認できるのは教育的な意味で有用だと思います」と述べる。
PACS更新から約半年が経過し,SAI viewer導入後の変化について山岸医師は,「読影用の画像データの準備,画像の表示や操作などの時間は確実に減っており,純粋に読影に当てる時間が増えていることは間違いありません。時間をかけることがイコール質の向上ではありませんが,読影の環境は向上していると思います」と話す。また,菊地医師は,「効率化についても,緊急の検査やIVRが入っても以前より未読のレポートがたまることが少なくなっているので,全体として効率化が進んでいると感じています」と述べる。
今後への期待について鈴木先任准教授は,「診断支援の疾患や領域が広がっていくことを期待しています。さらにその先には患者さん個人個人の経時的な変化,例えば胸水量や骨密度の変化まで計測してフォローしてくれると便利ですね」と述べる。京極教授は,「これは当院の問題もありますが,電子カルテとのシームレスな連携をPACSとしてさらに進めてほしいですね。さらに,今後はクラウドやPHR(Personal Health Record)の活用が期待されるので,データを一元化してどこからでもSYNAPSEで画像情報が利用できるようになってほしいと期待しています」と語る。
SYNAPSE SAI viewerの進化は,日々の読影やワークフローの向上など画像診断のさらなる発展につながっていく。
(2021年2月15日取材)
順天堂大学医学部附属浦安病院
〒279-0021
千葉県浦安市富岡2-1-1
TEL 047-353-3111
病床数:785床
https://www.hosp-urayasu.juntendo.ac.jp/
