次世代の画像解析ソフトウェア(AZE)
2012年12月号
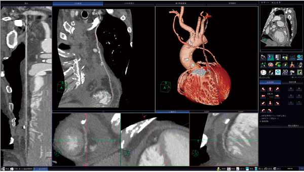
No.128 冠動脈バイパスグラフト評価 ソフトウェアの有用性
阪本 剛(株式会社AZE マーケティング部) 森田 照正(順天堂大学心臓血管外科学講座)
●はじめに
CTの多列化に伴う近年の撮影技術の進歩によって,心臓領域のCT画像の画質が大幅に向上し,急速に普及している。冠動脈CTは,高い陰性適中率から支持され,併せて冠動脈の解析ソフトウェアも次々と登場してきた。冠動脈の読影は,冠動脈の中心線を基軸に再構成された長軸像(curved multi planar表示)や短軸像(オブリーク表示)を用いて評価することにより,短時間で冠動脈全体の評価を行えるようになり,AZE社の冠動脈解析ソフトウェア“CT細血管解析”では,全冠動脈検出ならびに冠動脈中心線の抽出を30秒余りで実行できる。その進歩の中で臨床現場が求めるもの─それは,増え続ける冠動脈CT検査に伴う冠動脈読影作業の簡略化を手助けしてくれる機能である。
また,冠動脈解析技術は,その高進に伴い,PCIや冠動脈バイパス術の術前・術後の冠動脈ならびにバイパスグラフトの評価に応用されている。冠動脈CTの適応患者は,急速に増加している。本稿では,冠動脈バイパス術術後評価において,最適な吻合部解析を可能にする冠動脈バイパスグラフト解析ソフトウェアを紹介する(図1)。
図1 CT細血管解析ソフトウェアによる冠動脈バイパスグラフト解析
●冠動脈バイパス術術後の評価機能
日本循環器学会ガイドライン『冠動脈病変の非侵襲的診断法に関するガイドライン』で,冠動脈CTによる冠動脈バイパス術術後評価に「グラフトの吻合部評価」が挙げられている。今回,AZE社が開発したソフトウェアには,金属製クリップや石灰化病変によるアーチファクトを考慮して血管抽出をするアルゴリズムが搭載されており,in-situグラフト(両側内胸動脈,胃大網動脈)や大動脈‐冠動脈遊離グラフト(橈骨動脈,伏在静脈など)を,1クリックで中枢側起始部から末梢側吻合部まで抽出することが可能となった。また,本来の冠動脈も自動抽出し,その吻合部から末梢の冠動脈の中心線を共有することで,吻合部の確認も容易となる(図2)。そして,吻合部狭窄を確認するために,オブリーク表示では厚みを持たせたslab MIP機能を使用することで,吻合部を明確に表示することができる。さらに,Y-composite型グラフトの遊離動脈を用いたグラフト分枝も認識できる。
またガイドラインには,長期的なフォローアップとして冠動脈の新規病変の検索が挙げられている。そのため,冠動脈バイパス術術後用機能は,本来の冠動脈も同時に評価可能であることが求められる。冠動脈バイパスグラフト解析ソフトウェアでは,冠動脈バイパス術術後データを起動した時のみ専用のアルゴリズムが実行される仕組みとなっており,バイパスグラフトを抽出後に本来の冠動脈も自動抽出する機能が備わっている。1つのソフトウェアでバイパスグラフトと本来の冠動脈を同時に評価できるため,冠動脈バイパス術術後のフォローアップや,引き続いての治療戦略策定に有効である。
図2 冠動脈バイパス吻合部のMIP表示
●新しい可能性
この冠動脈バイパスグラフト解析ソフトウエアは,前述のY-composite型グラフトの検出と同じ原理で,内胸動脈の分枝の検出にも活用できる。内胸動脈分枝を画像表示することで,冠動脈バイパス術で最も多く使用される内胸動脈グラフトの剥離をサポートする。内胸動脈の剥離は,制限視野下に脆弱な分枝を処理するが,最近頻用されるskeletonizedグラフトでは,冠動脈の解離や枝抜けによる血管壁内血腫のリスクが高くなる。術前評価で得られる詳細な分枝の位置や走行は,きわめて重要な情報となる。以下に,術前の胸部CTデータをもとに本ソフトウェアの機能を用いて内胸動脈の分枝検出を行った例を示す。
本症例では,血管内径1mm以上の分枝を自動的に認識し,内胸動脈から肋間に向けての走行を追跡できた。この血管中心線情報と胸骨近傍のvolume rendering(VR)データを重ね合わせて表示することで,内胸動脈とその分枝がどのように走行するかを非侵襲的に知りうる(図3 a,b)。このような表示方法は,血管の中心線を解析して表示することで可能となる。
冠動脈CTでは,本ソフトウェアを使用することにより,冠動脈バイパス術術後のグラフト評価のみでなく,術前の使用予定グラフト評価にも有用で貴重な情報を提供することが可能である。
図3 内胸動脈の分枝検出
●おわりに
本稿で述べた冠動脈バイパスグラフト解析ソフトウェアは,ガイドラインに準じ,さまざまな状況や手技を考慮した機能が実装されており,臨床的に有用であることが評価できる。また,従来では,冠動脈CTによるバイパスグラフト評価は,バイパス術術後の吻合部の評価が注目されていたが,内胸動脈の分岐の位置や形状などの情報を術前に得ることができ,有用であると考える。今後も,VirtualPlaceの活用により得られる新しい情報に期待したい。
【使用CT装置】 Aquilion ONE(東芝社製)
【使用ワークステーション】 AZE VirtualPlace(AZE社製)
