次世代の画像解析ソフトウェア(AZE)
2013年10月号
No. 138 TBLB(経気管支肺生検)を支援するCPR機能の有用性
平野 真理(北海道恵愛会札幌南三条病院放射線部)
●はじめに
当院は,肺がん治療を中心とした病院で,北海道全域から患者が来院する。そのため,診断を目的とするTBLB(経気管支肺生検)が,積極的に行われている。
TBLBは,透視下で気管支鏡を目的病変に関与する気管支に挿入し,鉗子などを病変に到達させて生検を行う。この生検の結果で,治療方針を決定する。
問題とする病変の詳細が,手術ではなくTBLBで明らかにできることは,患者の負担を大きく軽減する。たとえ小さな病変でも,TBLBが短時間で確実に行われることが望まれる。
●気管支走行の把握
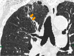
図1 オブリークMPR
二股に分かれた気管支のうち一方が病変外に通り抜けている。内側の気管支(↓)が生検に適していると特定した。
気管支は個々人に異なる複雑な走行をしているため,あらかじめ,鉗子などを挿入する気管支の特定と経路の把握をしておくことが必須となる。そのため,事前に行われるCT検査には,病変の位置,形状だけではなく,病変に関与している気管支を三次元的に把握するための情報が求められるが,病変に入り込む気管支の詳細な情報を得ようとするとき,ルーチンのスライス厚では追い切れない場合や,単純なaxial,coronal,sagittal画像だけでは把握しきれないことも多い。
そこで,ワークステーション「AZE VirtualPlace」(AZE社製)でオブリークMPR画像を作成することにより,病変に入り込む気管支を特定し,検査事前情報として検査医師に提供することを試みた。使用するCT画像は,「Light Speed Ultra 16」(GE社製)で作成できる最小スライス厚0.625mmで,最も分解能が確保できる関数を使用した。
病変に入り込む気管支をオブリークMPRで詳細に分析すると,さまざまな走行を呈していることがわかった。病変の中で蛇行していたり,急に細く変化したり,二股に分かれたうちの一方が病変外に通り抜けていたり(図1),また,生検に適する気管支が1本に限られていたり,まったく気管支が入っていないといった,困難が予測されるケースも見受けられた。
加えて,目的とする気管支がわかっていても,視野が限られる気管支鏡では,特定の気管支に鉗子などを挿入すること自体が難しい症例も多い。
病変に入り込む気管支を特定するためのオブリークMPR画像は,病変に気管支が入っているかどうかの判別を第一の目的としてオブリークの角度をつけるため,その画像の視点の方向を説明するのが難しいものとなる。画像作成者が言葉や記号で説明を加えても,うまく伝わらないこともあり,それでは,せっかくの情報が生かされないことになる。
そこで,事前に検査に有用な情報を的確に伝えるため,CPRのパスラインを利用することにした。
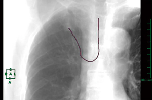
特定した病変内の気管支の断端を始点とし,気管分岐部の上部の終点まで気管支の走行のパスを作成した。CPRでプロットしたパスラインが3D画像上で二次元的に表示されるので,3D画像をレイサム画像(図2)で表示すると,透視下で行うTBLB施行時の鉗子などの位置を把握できる画像(図3)と同じように表現できた。
図2 レイサム画像 |
図3 透視画像 |
●CPRによる気管支鏡シミュレーション
図4 CPR
a:ストレッチCPR
b:CPR直交断面
c:レイサム画像
検査施行時,透視画像でしか確認できない現状では,鉗子などを挿入している気管支を正確に判断することが困難であることも多い。透視画像は二次元のデータであり,奥行きの情報を持たない。患者のlateral方向の情報がほしいときには,管球が回転するタイプの透視装置でなければ,気管支鏡を挿入されている患者自身に体位を変えてもらうしかないが,それは大変な困難を伴うことが多い。
CPRでは,作成したパスラインに沿った直交断面を表示することができる。図4 bは,検査に適していると特定した気管支に直交した断面のCT画像である。気管支鏡のシミュレーションを想定して走行を反転して観察すると,気管分岐部から病変まで気管支が分岐していく様子を追うことができる。このとき,パスを引いた気管支は十字でプロットされており,レイサム画像(図4 c)がナビゲーションとなる。しかし,この直交断面は検査医師にとって見慣れない画像であるため,直感的に受け入れられる情報とは言い難い。
なお,作成した事前情報をもとにTBLBが行われた本症例では,低分化扁平上皮癌との診断に至り,すでに上葉切除手術が行われ,切除標本でも低分化扁平上皮癌と診断された。
●仮想内視鏡表示と高まる臨床的有用性
図5 仮想内視鏡表示機能
a:ストレッチCPR
b:仮想内視鏡表示
c:レイサム画像
前項で指摘した通り,CPRの直交断面は検査医師にとって直感的な理解が難しい。しかし現在,新しいバージョンとして直交断面を仮想内視鏡表示に切り替えられる機能が開発され,当院で試験評価中である。この追加機能では,レイサム表示によるナビゲート画像と仮想内視鏡表示を同時に表示することができ,検査医師にとって直感的に受け入れやすい,視覚に訴えるナビゲーション作成が実現できた(図5)。
この追加機能により,病変から逆に気管支の走行を追っていく方法で得たナビゲートの情報を正確に伝えることができるようになった。検査後,「ナビゲーションの通りだった」という検査医師からの言葉は,大変高い評価だと考えられる。
直感的に理解できる仮想内視鏡表示とレイサム画像によるナビゲーションは,検査時間の短縮につながる。このことは,検査医師と何より患者の有益な一助となると考える。したがって,オブリークMPR画像で特定したTBLB検査に適した気管支に鉗子などを誘導するため,仮想内視鏡アプリケーションを利用することは臨床的に有用である。
【使用CT装置】
LightSpeed Ultra 16(GE社製)
【使用ワークステーション】
AZE VirtualPlace(AZE社製)
