次世代の画像解析ソフトウェア(AZE)
No. 140 当院における脳神経Multi Volume画像を用いた術前シミュレーション─3T MRIの元画像を利用して
大屋 光司(医療法人翠清会梶川病院検査部)
●はじめに
現在,脳神経疾患(三叉神経痛,片側顔面痙攣など)の術前画像評価には,神経,血管,脳実質が同時に描出されるMRIのHeavy T2強調画像などが使用され,圧迫責任血管を元画像上で推定している。しかしながら,それらは二次元の平面画像であるため,神経と血管の位置関係を立体的に把握することは困難になっている。そこで,ワークステーションを利用した3D画像を作成することにより,神経と血管の走行を三次元で視覚的にとらえることができるようになり,より安全な手術が可能になった。
当院でも,3T MRI(MAGNETOM Spectra:シーメンス社製)の導入により,SNRを上げ,薄いスライス厚で高分解能な元画像を短時間で取得できるようになり,その元画像を利用して神経と血管の3D Multi Volume画像を作成している。本稿では,「AZE VirtualPlace Plus 3.1」(AZE社製)を用いて,脳動脈瘤頸部クリッピング術や微小血管減圧術の術前シミュレーションに有用な3D画像を短時間で作成できたので紹介する。
●脳神経Multi Volume画像の作成方法
脳神経Multi Volume画像の作成方法は,次のとおりである。
神経血管Heavy T2強調画像とMRA像を,Multi VolumeまたはFusionで重ね合わせて作成する。Heavy T2強調画像は,脳脊髄液を高信号,脳槽内の血管や神経を低信号として描出するため,オパシティカーブ(図1)で低信号域を反映させた画像を作成する。
これを目的神経に合わせて,ボリュームクリップで範囲を絞ると,神経と血管が描出できる。さらに,神経と血管を分別するために,MRA像を足し合わせれば作成完了となる。
図1 神経血管Heavy T2強調画像を目的神経に絞った
VR画像とオパシティカーブ
●症例提示
■症例1:脳動脈瘤頸部クリッピング術(70歳代,女性)
MRAにて,左内頸動脈後交通動脈(IC-PC)分岐部に未破裂脳動脈瘤を認めた。脳動脈瘤と動眼神経との位置関係を確認することを目的として画像を作成した。MRA像とHeavy T2強調画像は,撮像日および撮像位置が異なったため,Fusion機能で自動位置合わせを行った。これにより,元画像では把握が困難な血管の走行も立体的に把握できた(図2)。動脈瘤と動眼神経の位置関係を3Dで把握することにより,神経への手技的トラブルを避けることができ,脳動脈瘤頸部クリッピング術前シミュレーションとして有用な画像であった(図3)。
図2 症例1:Heavy T2強調のMPR再構成画像と脳神経Multi Volume画像の比較 |
図3 症例1:脳神経Multi Volume画像 |
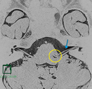
■症例2:微小血管減圧術(50歳代,女性)
左顔面痙攣と診断され,微小血管減圧術を予定し,術前検査を行った。同範囲のMRAとHeavy T2強調元画像を撮像し,それらをMulti Volume機能で重ね合わせてVR画像を作成した(図4)。VR画像はHeavy T2強調invert元画像(図5)に比べ,血管の走行を一目で把握でき,圧迫責任血管は後下小脳動脈であると推定できた。術野の角度に合わせた画像では,術中写真と同様の神経,血管走行が確認でき,微小血管減圧術の術前シミュレーションに有用であった(図6)。
図4 症例2:脳神経Multi Volume画像 |
図5 症例2:Heavy T2強調invert元画像 |
図6 症例2:術中写真と脳神経Multi Volume画像の比較
顔面神経が聴神経の背面に走行している。
○圧迫部位 →後下小脳動脈 →顔面神経 →聴神経
脳神経Multi Volume画像は,神経と血管の構造を3Dで把握することができ,手術支援や患者説明に非常に有用な手法といえる。ただし,微細な神経を扱うため,症例1のようなFusion機能を使っての位置合わせは,わずかな位置のずれも大きな位置関係の違いを生む危険性がある。したがって,症例2で示したような,あらかじめ2つの元画像を同じ位置で撮像し,Multi Volumeで重ねるといった手法で,偽陰性,偽陽性のない画像を提供することを推奨したい。また,撮像時間と3D作成時間は短時間であり,簡単に作成できる。そのため当院では,ルーチンワークとして取り入れている。
今後,3T MRIの普及に伴い,高分解能な元画像を利用した3D Multi Volume画像が汎用化されていくことを期待している。
【使用MRI装置】
MAGNETOM Spectra(シーメンス社製)
【使用ワークステーション】
AZE VirtualPlace Plus 3.1(AZE社製)
