次世代の画像解析ソフトウェア(AZE)
2014年2月号
No. 142 AZE VirtualPlace PlusにおけるFusion機能の活用
日比 英彰/岡田 浩幸/三輪 正治/安部 威彦/橋本 英久(JA岐阜厚生連西美濃厚生病院放射線科)
●はじめに
当院では,2011年12月にMRI装置を「Signa MR/i EchoSpeed 1.5T Ver9.1」から「Signa HDxt1.5T Optima Edition Ver.16」(GE社製)へバージョンアップを行ったと同時に,ネットワーク対応型「AZE VirtualPlace Plus」(AZE社製)を導入したことにより,“Fusion機能”を使用することが可能になった。Fusion機能とは,同一患者データにおいてCT,MRI,PET画像の相互情報をMPR上にて重ね合わせ,おのおのの画像をつなぎ合わせる機能である。また,体動などの位置ズレを自動補正する機能も有しており,わずかな位置ズレも補正可能である。そこで今回,MR画像におけるFusion機能の活用を紹介する。
●頭部領域
頭部MRIにおける当院ルーチン撮像は,MRA,FLAIR,T1強調画像,T2強調画像,拡散強調画像,3D ASLを行っている。基本断面は横断像であるが,冠状断・矢状断像も適時追加撮像を行っている。
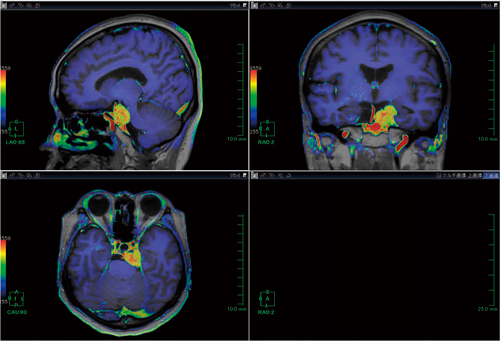
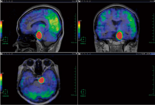
脳腫瘍や脳卒中などの虚血性疾患においてASLの有用性は高いが,位置関係の把握が困難な場合も見受けられる。そこでASLデータ中のperfusion imageデータとT2強調画像をfusionさせることにより,位置関係をより正確に描出することが可能である(図1〜4)。
図1 頭部MRI 3D T1強調画像とperfusion imageのfusion画像:三叉神経鞘腫症例
図2 頭部MRI 3D T1強調画像と造影画像のfusion画像(図1と同一症例)
図3 頭部MRI T2強調画像とperfusion imageのfusion画像:脳梗塞症例 |
図4 頭部MRA:脳梗塞症例(図3と同一症例) |
●下肢動脈領域
図5 非造影下肢MRA全長つなぎ合わせ画像
下肢領域の非造影MR angiographyにおける撮像法のひとつに,心周期2時相の差分により動脈のみを選択的に描出させるsubtraction angiographyがあり,当院使用のMRI装置においては非造影下肢MR angiographyアプリケーション“3D Delta Flow”が使用可能である。3D Delta Flowは,高速スピンエコー法ベースのシーケンスであり,心拡張期と心収縮期の撮像を行い,オートサブトラクションが行われ下肢動脈のみ描出するアプリケーションである。下肢動脈全長を3分割にて撮像を行うため,撮像後に画像のつなぎ合わせ作業を行う必要があるが,操作方法が簡便なFusion機能により5〜10分程度で作成可能である(図5)。
●下肢静脈領域
非造影下肢静脈撮像にも,当院は3D Delta Flowを用いている。先にも述べたように,3D Delta Flowは心拡張期と心収縮期の撮像を行っており,そのうち心収縮期は,動脈血流の流速が速いためflow voidとなり,静脈のみが描出されていることになる。つまり心収縮期データのみを用いれば,下肢静脈画像が作成可能ということになる。しかし,当院使用のMRI装置では心拡張期と心収縮期のデータは1つのシリーズ内にあり,奇数枚数目が心収縮期,偶数枚数目が心拡張期となっているため,MRI装置本体にて心収縮期のみを選択することは現実的ではない。
AZE VirtualPlace Plusのデータ選択領域を見てみると,画像選択方法に「1枚おきに」という方法があり(図6),心拡張期と心収縮期のデータをAZE VirtualPlace Plusへ転送して「1枚おきに」を選択し,奇数枚数目のみを選択する(図7)。すると,心収縮期データのみを,わずか3クリックで選択可能である。下肢静脈も下腿全長を3分割にてMR venography(MRV)撮像を行っているため,同様に3ステップ分を選択し,画像のつなぎ合わせ作業を行っている(図8)。
図6 AZE VirtualPlace Plus画像選択方法
図7 AZE VirtualPlace Plus「1枚おきに」選択
図8 非造影下肢MRV
全長つなぎ合わせ画像
●まとめ
MRI装置において近年さまざまなアプリケーションが開発されており,ワークステーションを使用する機会が増えてきていると思われる。当院においても例外ではなく,3D ASLや3D Delta Flowなどが使用可能になり,ワークステーションを使用する頻度は以前に比べ格段に多くなった。今回述べたFusion機能は,異なる画像情報の重ね合わせを行うことで解剖学的情報をより明瞭に描出させることが可能であり,加えて短時間にて容易に作成可能であることから,今後も臨床側へのよりわかりやすい画像の提供に活用していきたいと思う。また,ボリュームデータの取得も可能になってきており,今後さらにワークステーションの有用性は高まっていくことと思われる。
【使用MRI装置】
Signa HDxt1.5T Optima Edition Ver.16(GE社製)
【使用ワークステーション】
AZE VirtualPlace Plus(AZE社製)
