次世代の画像解析ソフトウェア(AZE)
2016年2月号
No. 166 AZE VirtualPlaceにおける仮想気管支内視鏡画像の使用経験─胸腔鏡補助下切除への手術支援画像として
奥中 雄策/鈴木 賢昭(ベルランド総合病院放射線室),木田 彰雄(ベルランド総合病院中央放射線科)
はじめに
本稿では,仮想気管支内視鏡画像が,胸腔鏡補助下で行う外科的切除における病変部のマーキングに大変有用であったので報告する。
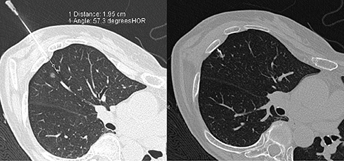
胸腔鏡補助下で外科的切除を行う場合,病変部が微小で体表に近いものについては,術前にCTガイド下でフックワイヤを使用し経皮的にマーキングを行う(図1)。しかし,病変部が深部に存在する場合,経皮的なマーキングでは,隣接する他臓器との解剖学的位置関係から,気胸や出血,肺の血管が大きく損傷されることで起こる空気塞栓などの合併症に注意を要するため,穿刺が非常に困難となる。そこで,胸腔鏡下にて病変部を肉眼的に特定することを目的として,術中に気管支鏡により気管支の内側から光源によるマーキングを行うことが有効と考える。
図1 フックワイヤを使用した経皮的マーキング
当施設では,経気管支肺生検(transbronchial lung biopsy:TBLB)の際,CT画像を基に病変部への経路を仮想気管支内視鏡画像によって構築することで術前シミュレーションが可能となり,手技時間の短縮や精度の向上に役立っている。この経験を基に,胸腔鏡下手術の際に迅速に気管支鏡を病変部へ到達させるために,仮想気管支内視鏡画像によるナビゲーションを試みた。画像処理についての詳細は後述するが,画像上にて病変を特定し,位置を視覚的に示すことに関して,画像処理ワークステーション「AZE VirtualPlace」(AZE社製)が有用であると考えた。
また,マーキングの手法として,切除時にX線透視を使用して病変部を確認する場合は,バリウムやリピオドールを気管支鏡にて注入する場合もあるが,今回,われわれは胸腔鏡下にて病変部を肉眼で直接確認することを目的に,術中にスコープを病変部に到達させ,その光源でマーキングし,位置を特定する手法を行った(図2)。
図2 気管支鏡を使用した術中マーキング
画像処理
(1) AZE VirtualPlaceの仮想内視鏡画像作成用のアプリケーションにて,二次元画像上で目印を付けていく(図3)。右肺S8病変部(図3 a ●),病変部から垂直に下ろした気管支との交点(図3 a ●),そこから末梢の気管支分岐部(図3 b ●),1つ近位の気管支分岐部(図3 c ●),2つ近位の気管支分岐部(図3 d ●)とする。
図3 画像処理:目印の作成
(2) 二次元画像上で各点の距離を計測する(図4)。
図4 画像処理:各点の距離の測定
(3) 三次元画像上に点と距離が反映されるので,この点を頼りに口側から病変部までの経路を動画保存する(図5)。これで病変部への経路と位置をナビゲーションできる。
図5 画像処理:仮想気管支内視鏡画像によるナビゲーション画像
(4) 内側からの情報のみでは術中に位置関係が把握できないことも予想されるため,外側の情報としての三次元画像も作成した(図6)。これは,仮想内視鏡画像作成用のアプリケーションをそのまま利用し,視点を体外に設定して画像のオパシティを変更することで作成できる。
図6 画像処理:外側から見た位置関係
結 果
術中に気管支鏡を病変部に速やかに到達させ,位置を特定することが可能であった(図2)。執刀した担当医からも,AZE VirtualPlaceによる仮想気管支内視鏡画像が,実際の内視鏡による視野を正確に再現していたことと,病変部や気管支分岐部に目印として付けた点とその距離が三次元画像上でうまく表現され,情報として伝わりやすかったとの報告を受けている。
まとめ
当施設では,TBLBの際の支援画像として,病変部の位置特定のために仮想気管支内視鏡画像を作成してきた。今回は,術中に気管支鏡を使用して位置を特定するという依頼内容であったため,応用が可能であった。評価されるべき点としては,AZE VirtualPlaceの仮想内視鏡画像作成用のアプリケーションが,ただ内側から見るだけではなく,二次元画像上の位置や距離などの情報を三次元画像上で表現でき,これによって目標や経路を特定できることと考える。また,気管支以外の臓器であってもこの機能を利用して,さまざまな手技に対しての手術支援画像を作成することが可能であると考える。
【使用CT装置】
Discovery CT750 HD(GE社製)
【使用ワークステーション】
AZE VirtualPlace(AZE社製)
