次世代の画像解析ソフトウェア(AZE)
2017年6月号
No. 182 AZE VirtualPlace風神の大腸解析ソフトウェア使用経験
佐藤 大樹(山近記念総合病院放射線室)/佐藤 誠(山近記念総合病院外科)/大久保実彦(山近記念総合病院放射線室)
はじめに
当院は,神奈川県小田原市に有床診療所山近外科胃腸科医院(8床)として開設し,1996年に山近記念総合病院に名称変更,一般病床は152床となり,1998年老人保健施設わかば・在宅介護支援センター開設,2004年山近記念クリニックを開設した。
大腸内視鏡検査は年間約1200件,大腸X線検査は約450件行っていたが,件数が多いために検査まで数週間待ちになっており,大腸CT検査を導入することにより患者の待ち時間を少しでも減らせるようにしたいと考えた。
ワークステーションの選定に当たっては,解析精度はもちろんのこと,解析画面を患者に見てもらうことでわかりやすい検査結果を提供できることを基準とし,「AZE VirtualPlace風神」(AZE社製)を導入した。AZE VirtualPlace風神は,サーバと端末の計4台で同時に解析が行えるため,ほかのワークステーション作業の妨げにならずに診察室で画像を見ながら患者に検査結果を説明することができる。
解析業務
大腸CT解析は,診療放射線技師が仮想内視鏡画像(virtual endoscopy:VE),仮想注腸画像(air image),展開画像(virtual gross pathology:VGP)を作成し,ワークリスト保存(作業状態保存)する。仮想内視鏡画像を軸とした3D primary法で観察した後,2D画像で撮影範囲内の大腸以外の異常所見についても一次チェックとして行う。一次チェックの結果は,診療放射線技師レポートとしてAZE VirtualPlace風神に保存し,医師の読影時に参考にしてもらっている。
解析では,はじめに仰臥位,腹臥位の2つのボリュームデータを大腸解析ソフトウェアで開き,経路が正しく取られていることを確認する。前処置不良でなければほぼ経路に修正は要らないが,一部腸管壁に接する所があれば経路点を増やしたり,動かしたりすることで簡単に修正はできる(図1)。
図1 経路探索画面
次に,仮想内視鏡モードで観察していく。比較読影モードであれば,仰臥位,腹臥位ともほぼ同じ位置で表示されるので比較しやすい。片方の体位で病変らしきものがある場合に,もう片体位で移動していれば残渣と考え,同じ位置にあれば病変が疑われる(図2)。
図2 比較読影モード
仰臥位(a),腹臥位(b)とも同じ位置に隆起性病変が見られ,残渣ではない(CT値40HU)。
ポリープなど病変が疑われる場合は,ポリープ観察ツールで病変の直交断面を2D画像ですぐに見ることができ,計側にも大変便利である(図3)。
図3 ポリープ(直腸カルチノイド)の計測
a:仮想内視鏡画像でのポリープ観察ツール使用時
b:ポリープ観察ツールでの直交断面画像(大きさ10.2mm,CT値44HU)
c:同部位の内視鏡画像
仮想内視鏡画像では直腸から盲腸,そこからカメラを反転し,また直腸まで戻ってくる経路で観察していく。反転することで反転前には見えにくかったヒダの裏側を見ることができ,見落とし防止になる。これは大腸内視鏡検査では行えない,大腸CT検査ならではの利点である。
時々,前処置が悪く,タギングされたCT値の高い残渣が散在していることがあるが,キーボードのボタン1つでカラーマップを変更でき,タギングされた残渣かそうではないかの判断に役立つ(図4)。
図4 通常のカラーマップ(a)と,CT値150HU以上を
白く表示させたカラーマップ(b)
病変の深達度評価においては,側面変形やヒダの変形で異常を見つけるということは重要であるが,大腸X線検査では患者や装置の動きに制限があるため,なかなか難しい場合が多い。その点で大腸CT検査は,ワークステーション上で制限なく仮想注腸画像を動かすことや不必要な部位をカッティングツールで切ることができ,容易に側面像が得られる。
大腸のチェック後に2D画像で腸管外の病変がないことも観察し,レポート機能を用いてC-RADS分類やコメントなどを記録している。
症 例
前医にて便潜血陽性で大腸内視鏡検査が行われ,右結腸から下行結腸にかけての炎症性所見とS状結腸に隆起性病変が認められ,腺癌と診断され当院に紹介となった。
当院の大腸内視鏡検査では痛みが強く,下行結腸途中までの検査になってしまったが,S状結腸にType2の進行がんを思わせる隆起性病変(図5)が認められ,下行結腸途中から全周性の発赤で易出血性であった。大腸内視鏡検査より潰瘍性大腸炎を発生母地としたcolitic cancerを疑い,下行結腸から口側の大腸と血管分岐の情報を得るためにCT angiographyを含めた大腸CT検査が行われた。
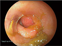
図5 大腸内視鏡画像
大腸CT検査では,上行結腸から下行結腸途中にかけての粗造な粘膜変化と壁の肥厚,S状結腸に中心陥凹の隆起性病変が認められた。粘膜の変化は上行結腸途中まで見られ,盲腸部は正常と思われた。また,隆起性病変付近のS状結腸は,潰瘍性大腸炎の特徴の一つであるハウストラの消失(鉛管像)が見られた(図6)。
図6 Colitic cancerが疑われた患者の大腸CT検査
a:仮想内視鏡画像 b:アキシャル画像 c:コロナル画像
d:仮想注腸画像(→隆起性病変) e:仮想注腸画像(腹臥位)。
隆起性病変付近の鉛管像と,上行結腸から下行結腸の粘膜変化が見られる。
手術は腹腔鏡補助下で上行結腸からS状結腸の切除予定であったが,術中に盲腸に至る潰瘍性大腸炎の変化が認められ,拡大右半結腸切除術(回腸S状結腸吻合)が行われた。術後の病理検査では,早期がんと同部位の潰瘍性大腸炎と診断された。
本症例では,大腸内視鏡挿入困難な潰瘍性大腸炎患者に対して大腸CT検査を行うことで範囲を知る目的があったが,中等度(粘膜粗造など)の変化を有する部位は判別できたものの,軽度の変化までは判別困難であった。CT angiography(図7)では,S状結腸動脈分岐と静脈との位置関係の情報を得ることができ有用であった。
図7 CT angiography(仰臥位)
◎
AZE VirtualPlace風神は多くのツールを用いて大腸を観察することができ,検査精度を保つための十分な機能で解析を容易にしてくれる。
大腸CT検査は大腸内視鏡検査に比べ平坦型の病変の表現に限界はあるが,スクリーニングとしての精度は十分に保つことができ,患者の受容性はかなり高い。また,術者にあまり依存しないため,客観性や再現性に優れていると考えている。
【使用CT装置】
Aquilion 64(東芝メディカルシステムズ社製)
【使用ワークステーション】
AZE VirtualPlace風神(AZE社製)
