次世代の画像解析ソフトウェア(AZE)
2018年3月号
No. 191 当院とAZE VirtualPlace 風神Plusとの歩み
白石 芳樹(南長野医療センター篠ノ井総合病院診療放射線科)
はじめに
当院は「AZE VirtualPlace 風神Plus」(AZE社製)を2008年に導入し,10年間画像解析に活用してきた。当時としては,最新型のサーバークライアント型のワークステーションだった。10年前は3D解析自体がまだ珍しく,ただVR化した画像を作成するだけで,わかりやすいと喜ばれた時代であった。しかし,CT装置もワークステーションも進歩が著しく,撮影装置の進化,ワークステーションの機能の充実に応じて求められる画像解析も,単なる形状の確認から,より臨床に役立つ画像に変化していった。
求められる画像解析に近づくため仲間とともに取り組んできたが,その歩みの横にはいつもAZE VirtualPlace 風神Plusがあった。このワークステーションは,当院の画像解析の歴史と言っても過言ではない。
本稿では,当院の撮影技術・画像解析の変遷を2症例だけではあるが,振り返っていきたいと思う。
手術支援画像
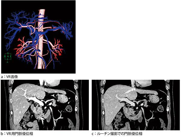
外科より胃がんの手術の前に動脈と門脈の走行を確認したいとの依頼があり,VR画像を作成した(図1 a)。当院の通常のルーチン撮影では門脈のCT値が低く作成が困難であったため,VR画像の作成に適した造影剤の注入時間と撮影タイミング,撮影条件を考え,見直した。当院のルーチン撮影では,600mgI/kgを30秒注入,腹腔動脈レベルの大動脈でモニタリングし,120HU以上のCT値上昇があったタイミングから18秒delay・35秒delayで後期動脈相・実質相を120kVで撮影していたが,術前の手術支援画像の際は600mgI/kgを25秒注入し,モニタリングは変えず,7秒delay・20秒delayで早期動脈相・門脈優位相を100kVで撮影するようにした(図1 b,c)。シーメンス社の自動管電圧最適化機構“CARE kV”をセミオートで使用し,被ばくの増加を可能なかぎり抑え,体型に依存せずCNRが120kVの撮影より上昇するように設定している。マルチボリュームの機能を使い,早期動脈相と門脈優位相の2相でVR画像を作成した(図2)。
この症例を経験した後,CARE kVを本格的に使用するようになった。動脈瘤や大動脈解離の定期フォロー検査ではlow kVを使用し,動脈のCNRを担保したまま被ばくを低減する,また,腎機能が悪く造影剤が必要最低限しか使えない患者や下肢の深部静脈血栓症(DVT)の撮影では,CNRをlow kVで上昇させ視認性を向上させるなど,CT値と線量の両面で工夫できるようになった。
図1 術前の手術支援画像
a:動脈と門脈の走行および位置関係を描出
b,c:ルーチン撮影(c)と比べVR用撮影(b)では,門脈のCT値が上昇しているのが確認できる。
肝臓とのコントラストが明瞭なためVR画像作成が容易になった。
図2 マルチボリューム機能
冠動脈CTA
図3は,循環器科オーダの冠動脈CTの画像である。CTA#6に高度狭窄または完全閉塞を認める。VR画像,CPR画像で良好な描出が得られている。
64列CT導入当初はボーラストラッキング法で撮影していたが,同法で撮影した画像はどうしても静脈が染まってしまうため,解析で静脈を除去することがとても困難だった。そこで,撮影法を考え直し,テストボーラストラッキング法に移行することにより,多くの症例で静脈のCT値が低い画像が撮影できるようになった。テスト分を入れても造影剤はほぼ同じ量で撮影できる。ただし,注入時間が短いため冠動脈のCT値がなかなか安定せず,フラクショナルドーズの検討は何度も行い,300HUを担保できるようにした。テストボーラストラッキング法に移行したことによるメリットはほかにもあり,ボーラストラッキング法と違い時間決めで撮影できるため息止めの合図を入れるタイミングを早くすることができ,十分なバルサルバ効果が得られ,心拍の安定化につながった。
冠動脈解析は,AZE VirtualPlace 風神Plus導入当初,最も時間がかかる解析だった。CTを撮影し終わった後,夜遅くまで残って解析していた思い出がある。オートでのVR画像作成が困難だったため,心臓のカッティング講座といった勉強会が人気で,勉強会で学んだことを参考にしつつカッティング技術を磨いていた。初めて完璧な心臓のVR画像を作った時のうれしさは格別であった。
図3 冠動脈CTA
#6に高度狭窄または完全閉塞を認める。
おわりに
AZE VirtualPlace 風神Plusは,今となっては決して新しいワークステーションではなく,当院でも使用頻度は減っている。読み込み枚数に制限があったり,何よりオートメーション機能の精度が今ほど高くないため,画像解析に時間がかかってしまうためである。
しかし,筆者にとってAZE VirtualPlace 風神Plusは,解剖書・疾患名を見ながら目的に合致したカッティングを行う,どのように撮影すればより精度の高い3D画像が作成できるか撮影条件を見直すといった,現在の礎となっている考え方を教えてくれたワークステーションである。
今回紹介した画像解析は,現在では多くの施設で通常の画像解析として行われているものだろう。誰でも良好な画像が作成できる最新のワークステーションはすばらしいものであるが,時間のある時にでも手作業で自分なりの方法を見つけ,画像を作成することで,新しい発見があるかもしれない。
【使用CT装置】
SOMATOM Definition Flash
(シーメンス社製)
【使用ワークステーション】
AZE VirtualPlace 風神Plus
(AZE社製)
