セミナーレポート(AZE)
第74回日本医学放射線学会総会が2015年4月16日(木)〜19日(日)の4日間,パシフィコ横浜にて開催された。19日(日)に行われた株式会社AZE共催のランチョンセミナーでは,北海道大学病院放射線診断科准教授の工藤與亮氏と愛媛大学医学部附属病院放射線科助教の井手香奈氏が,ボリュームビューア「AZE Phoenix」について,遠隔読影と臨床応用に関する講演を行った。
2015年7月号
第74回日本医学放射線学会総会 ランチョンセミナー28
遠隔読影におけるAZE Phoenixの活用
工藤 與亮(北海道大学病院放射線診断科)
本講演では,(1) 北海道大学関連の遠隔読影,(2) キヤノンマーケティングジャパン(キヤノンMJ)と共同開発した遠隔読影システム,(3) AZE Phoenixの活用の3点について述べる。
北海道大学関連の遠隔読影
広大な北海道では,遠隔読影のニーズが高い。道内にはCTやMRIを有する病院が約300施設,装置は約600台あるが,放射線科専門医は約60名しかおらず,放射線科医が在籍しない施設が多い。そこで,当科の前教授である宮坂和男先生が,2002年に大学発のベンチャーとして株式会社メディカルイメージラボ(MIL)を設立し,全道の病院に遠隔読影支援サービスを提供している。現在,約30名の画像診断医が,道内全域の約90施設から依頼される年間約6万件(1日当たり約300件)の遠隔読影を行っている。
読影件数はMIL設立当初から右肩上がりに増加していたが,ここ数年は少し減少傾向にある。システムが老朽化して手間がかかるようになったことに加え,読影サービスの低下が理由として考えられる。
●読影サービス低下の要因と対策
読影サービス低下には,いくつかの原因が考えられる。
1つ目に,検査件数が増加したことで,読影レポート返却までに日数を要するようになったことが挙げられる。2つ目に,1検査あたりの画像枚数が増加してサーバを圧迫し,過去画像を保存できる期間が短くなることで,比較読影が困難となっていることが考えられる。検査件数は漸増であるが,1検査あたりの画像枚数は,ここ数年で約3倍になった。さらに3つ目として,MILが独自に構築しているネットワークシステムや読影システムの複雑化が挙げられる。依頼施設からMILのサーバに送られるデータは,自治体データセンターや専用サーバを介したり,回線もインターネットや専用回線を使用するなど複雑なものとなっている。画像診断医は,MILのサーバにアクセスして読影を行うが,自宅で読影する場合には,外部のデータセンターに手動でDICOM Q/Rをしなければならない。さらに,読影依頼ではファックスを使っていたり,レポートシステムが2つあるなど,読影の業務フローも煩雑である。そのため,読影1件あたりにかかる時間が増加しており,メンテナンスコストの上昇と読影料の高止まりも生じている。
このような状況を改善するため,クラウドサービスを利用したシステムをキヤノンMJと共同研究・開発した。
遠隔読影システム「Medical Image Place」
煩雑なシステム運用の解消と維持管理コストの削減をめざして,MILとキヤノンMJが共同研究・開発したのが,医用画像クラウドサービス基盤「Medical Image Place(MIP)」である(図1)。MIPは,キヤノンMJのクラウドサービス基盤「SOLTAGE」に遠隔読影アプリケーションサーバシステムを構築し,クラウド上に画像やレポートのデータを保管することで,シンプルなシステム,フローを実現した。依頼施設とMILなどの読影サービス事業者は,MIPを介して読影依頼やレポート返送を行うことができる。この「遠隔読影インフラサービス」は2014年10月から開始されており,今後もMIPを使った多様なサービスを提供できる可能性がある。
図1 MIP概念図
AZE Phoenixを画像ビューアとして採用している。
●MIPの特徴
MIPはクラウド基盤のため,読影サービス事業者がシステムを管理する必要がなく,インターネットさえつながれば,世界中どこでも読影可能である。また,クラウド上では常に最新のソフトウェアを利用できる。依頼画像は,現在のところ最低1年間の保存が保証されており,過去画像の参照も容易である。MIPの大きな特徴を3つ紹介する。
1)直感的な利用
MIPは,インターネット上でポータルサイトにログインすると,依頼施設職員,読影事業者職員,画像診断医それぞれの業務に特化した画面となる(図2)。読影医の画面では,読影の進捗状況やスケジュール,備忘録として使えるメモ欄などが一目でわかるようになっている。また,事務局や依頼施設,ほかの画像診断医とSNSでコミュニケーションできることもポイントの一つである。
図2 MIPのログイン画面(画像診断医用)
ユーザーの職制に応じた画面が表示される。
2)依頼検査の自動振り分け
MIPでは,医師の得意領域に応じて依頼検査が適度なバラツキを持って自動的に振り分けられる。これにより,読影の専門性を高めて依頼施設の満足度を高めるとともに,振り分けの自動化により事務局の手間やコストを抑えられる。
3)他社システムとの連携性
MIPは,ベンダーニュートラルソリューションをコンセプトとしている。依頼施設側PACSのベンダーに依存することなく,読影においてはAZE Phoenixはもとより,ニーズに応じてビューアを切り替えて使用できるマルチビューア連携を採用している。
なお,MIPでは画像診断医がログインすると,低速なネットワークでもスムーズに読影できるように,振り分けられた依頼検査のDICOM画像がローカルに配信される。セキュリティ対策として,DICOM画像は暗号化された形でローカルに保存される。オンデマンドで所見記入ボタンを押すと,データは復号されて任意のビューアで読影できるようになり,レポート作成が終了すると,復号されたデータは自動的に消去され,ローカルには暗号化されたDICOMだけがある状態になる。
AZE Phoenixの活用
AZE Phoenixには,キーワードでデータを整理する「スマートタグ」や読影データをまとめる「バーチャルシリーズ」,MPRを高速に自由に作成できる「スライディングMPR」といった機能があるが,特に注目しているのが三次元での位置合わせ(ボリュームレジストレーション)である。簡単に三次元的な画像の位置合わせができ,同じMPR表示,連動したページングが可能になる。読影レポートの質の向上に重要な過去画像との比較を容易かつ高精度に実現でき,画像診断医にとっては非常に有用な機能である。
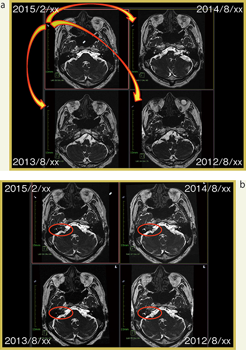
複数回のフォローアップが行われている聴神経腫瘍の症例を紹介する。図3 aは,今回画像と過去3回の検査画像を開いた最初の状態である。今回画像に付いているレジストレーションのアイコンを過去画像にドラッグ&ドロップするだけで,今回画像をキーとして自動で位置合わせが行われる(図3 b)。三次元的に位置合わせされているため,ほかの断面方向でも位置がそろっている(図4)。この症例では,小脳橋角部に突出した囊胞が,時間の経過とともに大きくなっていることがわかる。
動脈瘤では,経時的な増大などをきちんと評価することが重要であるため,MRA画像(図5)や元画像を過去画像と比較することが大切であり,三次元レジストレーションは非常に有用である。また,2D画像でも位置合わせを試みたところ,脳腫瘍などの大きな病変であれば比較読影が可能であった。
図3 AZE Phoenixのボリュームレジストレーション(聴神経腫瘍)
a:レジストレーション前
b:レジストレーション後
図4 図3の症例のコロナル画像
図5 MRA画像のレジストレーション(脳動脈瘤)
まとめ
遠隔読影におけるAZE Phoenixの活用を紹介した。三次元レジストレーションにより,容易かつスピーディに位置合わせを行え,簡単に高い精度の比較読影ができるようになった。
- 【関連コンテンツ】
