技術解説(AZE)
2014年4月号
Head & Neck Imagingにおけるモダリティ別技術の到達点
頭頸部の画像解析技術
阪本 剛(開発部)
画像解析の観点からほかの部位と頭頸部を比較すると,いくつかの特徴が挙げられる。まず,頭部を栄養する重要な血管が通過すること,脳から脊柱管を通して神経束が下方へ通過すること,重要構造物が狭い領域を密集しながら通過していること,などである。解剖情報の抽出を得意とするCT画像において,頭頸部の画像は画像中に脂肪分が少なく密集した領域であるため,高いレベルでのセグメンテーション技術が求められる。機能や性状情報の抽出に優れたMR画像では,装置が得た情報から,さらなる付加価値を抽出することが求められる。このような事情から,頭頸部領域の画像解析では,画像解析装置に対し「基本的な使用法で高レベルなパフォーマンスが得られること」と,「モダリティからの情報を最大限に引き出した質の高い情報を提供できること」が求められる。したがって,本稿では,画像解析装置「AZE VirtualPlace」の頭頸部に特化した使用方法や機能,アプリケーションを紹介する。
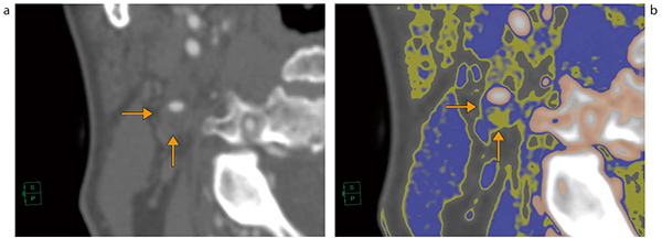
■総頸動脈に対するCT画像解析のアプローチ
頸部には重要な血管が複数走行しているが,その中でも総頸動脈,内頸・外頸動脈,椎骨動脈が頭部の栄養血管として重要なのは言うまでもない。造影CTにおいて,これらの血管を効率的に描出し,診断や治療前に情報提供できることが,画像解析装置に求められる。当社が開発する汎用セグメンテーションツールである“リージョングローイング”は,どの血管に対しても有効であるが,頸部において,高いCT値物質が複雑に絡み合う骨と造影血管をマウスクリックで簡単かつ高速に分離することが可能である(図1)。このような技術を特殊なものとして扱わず,標準機能として搭載しており,想定されないような血管走行,または骨格の構造に対して融通が利くようにしている。
図1 総頸動脈セグメンテーションとCPR表示
狭窄部位では,CPR機能により血管の直交方向のCT画像(オブリーク)を再構築し,狭窄部の血管壁を観察する。グレイスケールでは判定できないような微妙なコントラストの場合は,クリアウインドウ機能で微細なコントラスト変化をカラーリングによってとらえ,CT値によるプラークの評価を容易にする(クリアウインドウ機能は特許取得ずみ)(図2)。
このように,セグメンテーションやCPR機能による構造解析,さらにカラーリングによるプラークの性状分析など,CT画像から得られる情報を最大限に,かつ短時間で得ることが可能である。
図2 狭窄部位の血管直交断面とカラーリング表示
微細なCT値変化をとらえることができる。
■椎体セグメンテーション
セグメンテーションツールは従来,「造影血管と骨を分離するもの」と認識されることが多いが,当社のリージョングローイングは,あらゆるものの分離・分割が可能である。頭頸部領域では,脊柱管や椎体に対する画像診断も非常に多く,頸椎のすべりや,椎間板のヘルニアなどではさまざまな症状が生じる。診断の際には,骨の形状や上下との連結関係など,さまざまな部分が注目されるが,断層画像のみでは治療する外科医にとって構造をイメージすることが難しかった。以前からも,椎体を分離してわかりやすく表示するという取り組みがあったが,当社のリージョングローイング機能では,ワンクリックで指定した椎体を抽出することが可能である(図3)。当技術は,物体,骨の種類などを限定しておらず,再現性高くあらゆる物体を分離することが可能である。
図3 リージョングローイング機能による椎体の抽出
a:環椎 b:軸椎
閾値によらない抽出は再現性を高める。
■トラクトグラフィ
図4 拡散テンソル解析
さまざまな情報を付加して表示することが可能。
独自アルゴリズムによる当社の拡散テンソル解析は,高速演算によってリアルタイムにマウス上の指定点からファイバーを描画することが可能である。本機能は,センサーとのナビゲーション機能をイメージして搭載されており,脳外科医が実際に推定したい部分を瞬時に表示することができる。また,推定されたファイバーは,さまざまなモダリティの画像と組み合わせることが可能であり,血管構造や椎体などと組み合わせて表示することで,神経走行の理解を深めることが可能である(図4)。また,当社のソフトウェアは,あらゆるモダリティメーカーのデータに対応しており,さらに撮影される身体部位を限定していないため,施設によっては手根骨付近や腰椎馬尾神経など,さまざまな領域で実施されているケースもある。
頭頸部は,身体で最も複雑な構造を呈する部分のひとつであり,高度な画像解析技術が要求される。しかしながら,特化し過ぎた技術は汎用性に乏しく,「ユーザーの使用可能性」を損なっていると言える。ユーザーの使用可能性は,開発者が考えた本来の使い方から外れて,別の大きな利益を生むことが多く,製品にとっても大きなメリットを得ることとなる。当社の技術は,常に汎用性をめざして開発されており,セグメンテーションツール1つをとってもさまざまな使用可能性が存在する。このような「融通の利くシステム」こそが,複雑な構造を持つ頭頸部を短時間で解析するために重要な要素と考える次第である。
●問い合わせ先
株式会社AZE
〒100-0005
東京都千代田区丸の内1-8-1 丸の内トラストタワーN館13F
TEL:03-3212-7721
http://www.aze.co.jp/
