セミナーレポート(キヤノンメディカルシステムズ)
2014年5月9日(金)〜11日(日)の3日間,超音波Week 2014(日本超音波医学会第87回学術集会,第6回アジア造影超音波会議,第32回日本乳腺甲状腺超音波医学会,第114回腹部エコー研究会,第3回日本甲状腺Intervention研究会 共催・同時開催)がパシフィコ横浜(横浜市)で開催された。10日(土)に行われた東芝メディカルシステムズ(株)共催のランチョンセミナー16では,位藤俊一氏(地方独立行政法人りんくう総合医療センター外科/がん治療センター長)が座長を務め,栗田武彰氏(くりたクリニック院長)と橋本秀行氏(公益財団法人 ちば県民保健予防財団総合健診センター診療部長)が「Aplioで診る〜最新技術による乳房へのアプローチ〜」をテーマに講演した。
2014年9月号
超音波Week 2014 ランチョンセミナー16 Aplioで診る〜最新技術による乳房へのアプローチ
乳管へのアプローチ─バーチャル乳管内視鏡
栗田 武彰(くりたクリニック)
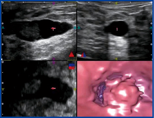
乳管内視鏡検査や乳管造影検査は,侵襲性が比較的高く,手技に熟練を要し,施行できる施設も限定される。そこでわれわれは,乳管への新しいアプローチ法として,乳管内に視点を置き,管内を移動しながら詳細な観察が可能なバーチャル乳管内視鏡の開発を進めてきた(図1)。本講演では,3D乳房超音波検査および「Aplio500」に搭載されたFlyThruによるバーチャル乳管内視鏡の有用性とその進化について述べる。
図1 FlyThruによるバーチャル乳管内視鏡像
乳房3D超音波検査の有用性
横に広がったお椀型をしている乳房にとって,水平面画像は最も有効な観察断面である。この画像に厚みをつけることで,微細鋸歯状に周囲組織のひきつれを伴いながら腫瘍が発育している様子や,構築の乱れの特徴もとらえることができる。
微細石灰化病変に対しても,現在研究中の“MicroPure”(東芝メディカルシステムズ)の3D化により,病変範囲(低エコー)と石灰化(高エコー)の位置関係が明瞭となる。
このほか,最近話題となっている,腫瘤の側方への浸潤や乳管内進展も,水平面画像から推察可能である。Cモード画像により各層での水平面画像を記録し,それを上から見ると最大水平方向面積が決定するが,その外縁に沿って任意の距離で切除線を決定すれば,乳房切除術における定量的切除線の決定が可能となる。本手法は“キドクリック”と呼ばれ,現在,CADにおける切除線決定支援技術として研究を進めている。
バーチャル乳管造影/内視鏡の開発
ある先輩医師からの「乳腺は乳管の集合であり,乳がんは管のがんである。あなたは乳管を1本1本見ていますか」という言葉が3D超音波による乳管へのアプローチを研究するきっかけとなった。また,乳頭異常分泌の診断に有用な乳管造影や乳管内視鏡は,施設が限定されるほか,侵襲性が比較的高く,手技に熟練を要する。そこで,内視鏡を挿入することなく超音波で乳管内の様子を観察可能なバーチャル乳管内視鏡の開発を開始した。
乳頭から責任乳管にカニュレーションしてヨード系造影剤を注入し,マンモグラフィを撮影する乳管造影をバーチャルで表現するために,厚みをつけた拡張乳管画像を白黒反転し,低エコーな乳管を立体的な白い構造物として再構成することで,バーチャルな3D乳管造影像が得られる。バーチャル乳管造影では非侵襲的に乳管の拡張,狭小,腫瘤などの所見が得られる。また,バーチャル乳管内視鏡では厚みつき画像で乳管内をのぞき込む形で,乳管外から病変の基部の太さや性状が観察可能であった(図2)。
図2 厚みつき画像によるバーチャル乳管造影・内視鏡像
FlyThruによるバーチャル乳管内視鏡
次の段階として,乳管内に視点を置き,あたかも内視鏡のように移動しながら観察できないかと考えた。東芝メディカルシステムズが開発したアプリケーション“FlyThru”は,3Dプローブで取得したボリュームデータから透視投影像を再構成することで,管腔内を立体的に移動する画像を得ることができる。このFlyThruを乳腺領域に応用し,バーチャル乳管内視鏡として2011年5月に報告した。実際の乳管内視鏡検査は,外径0.8mmの内視鏡を乳頭から挿入し,空気で乳管を膨らませて乳管内を観察する。すでに臨床応用が進んでおり,乳管内病変については形状や色によって鑑別診断が可能と言われている。
授乳期拡張乳管に対し,開発初期のFlyThruで再構成したところ,複数の分岐する乳管の様子が明瞭に描出された(図3)。FlyThruでは乳管表面の隆起性病変を描出可能なほか,例えば腫瘤に阻まれて内視鏡が挿入できないような症例でも,末梢側まで移動しながら観察できると考えられた。また,視点が末梢側まで到達すると,反転して乳頭側に戻りながら乳管内を観察できることも,FlyThruの優れた特長の1つである。
図3 初期のFlyThruによる授乳期拡張乳管像
FlyThruによるバーチャル乳管内視鏡の評価
2011年10月~2013年5月までに当クリニックにおいて,Bモードにて乳管拡張が認められた70症例(27〜80歳,平均52歳)を対象にFlyThruによるバーチャル乳管内視鏡の有用性を評価した。評価項目は,(1)管腔を形成し,乳管内を移動できたか,(2)乳管内病変の詳細な観察が可能であったかの2点である。
(1)について,FlyThruの評価をAランク(管腔が明瞭に描出され,視点の移動も十分であった症例),Bランク(管腔は描出されているが,視点の移動距離が短い症例),Cランク(管腔が明瞭に描出されず視点の移動も不十分な症例)の3つに分類し,各ランクの割合を見た。その結果,Aランクが60%,Bランクが20%,Cランクが20%であり,AランクとBランクの合計は80%と,バーチャル乳管内視鏡の画像形成率については満足できる結果が得られた。
また,(2)については,腫瘤表面を正面から上下左右に視点を動かして観察でき,さらに腫瘤と壁面の間を進みながら両者の観察が可能であった。バーチャル乳管内視鏡による乳管内隆起性病変の新しい観察方法の可能性を示唆するものとなった。
FlyThruによるバーチャル乳管内視鏡の進化
良好なバーチャル乳管内視鏡は,(1)明瞭な管腔の形成,(2)一定距離の視点の移動,(3)乳管内腔や病変の詳細な観察に加え,(4)優れた操作性,(5)FlyThruの再構成が容易であることが重要である。しかし,初期のシステムでは,(4)と(5)について課題が指摘されたため,改善・改良を試みた。
まず,閾値の調整が困難だったため,壁と内腔の境界決定に際してはMPR画像とFlyThru画像の両方を見ながら最適な閾値を設定できるようにした(図4)。
図4 閾値変更の可視化
次に,3種類の画像フィルタの選択が難しかったため初期設定を最適化した結果,乳管については壁面が滑らかで内腔との境界が明瞭となり,腫瘤については凹凸や奥行き感がわかるようになった(図5,6)。
図5 フィルタの改善(適正な初期設定):乳管
図6 フィルタの改善(適正な初期設定):腫瘍
距離感や高低もわかりづらかったため,近い部分を暖色に,遠い部分を寒色にすることで,腫瘤表面の凹凸や壁の性状が詳細に観察可能となった(図7)。乳管内の移動においても,遠近の差が明瞭となり,壁面の性状が詳細に観察可能になった(図8)。
図7 遠近表現の改善による乳管および腫瘤の描出
図8 乳管内移動における遠近表現の改善
また,MPR画像が回転してしまい,上下左右がわからなくなることがあったが,視線方向を示す矢印にどちらが下側かを明確にするマークを付加することで解決を図った(図9)。
図9 視線方向と上下関係の明確化
上記の課題を総合的に改善した結果,FlyThruの操作性が格段に向上し,遠位の分岐も容易に認識できるようになったほか,乳管内を乳頭側から分岐を越えて末梢へ進み,さらに反転して分岐内を観察するといった操作が,トラックボールで簡単に行えるようになった(図10)。
図10 総合的な操作性の改善
バーチャル乳管内視鏡の有用性と課題
バーチャル乳管内視鏡には,(1)乳管内部をあたかも実際の内視鏡で観察するように検索できる,(2)無侵襲かつ検査者の技量に左右されない,(3)視点を置く部位や方向を任意に設定し,内視鏡が通過できない部位より遠位からの視点で観察も可能,(4)内視鏡では得られない管腔外の情報や血流情報も同時に得られ,非浸潤癌の乳頭方向への進展推定,切除範囲の決定などのシミュレーションにも応用可能,(5)繰り返し施行可能で良性病変の経過観察等には適しており,乳管内視鏡検査の適応の絞り込みが可能,(6)内視鏡がない施設でも施行可能,といった多くの有用性がある。
一方,課題として,質感や色彩が不明で観察と同時に生検を施行できない,バーチャル乳管内視鏡では実際の内視鏡検査と異なり空気の注入による乳管の拡張ができないため,液体貯留のある乳管でないと観察できない,などが挙げられる。また,実際の乳管内視鏡像との比較検討も最重要課題と言える。
しかし,超音波ではBモードのほかドプラ法など,いくつかの表示方法が使用可能であり,バーチャル乳管内視鏡はこれらで補完しながら観察を行うことで,実際の乳管内視鏡に迫る,きわめて有用な検査法になると考えられる。
栗田 武彰(Kurita Takeaki)
1979年 弘前大学医学部卒業。83年同大学院修了。同年 木造町立成人病センター(現・つがる西北五広域連合つがる総合病院)外科医長,2002年 同センター副院長を経て2003年〜現職。
- 【関連コンテンツ】
