セミナーレポート(キヤノンメディカルシステムズ)
超音波Week 2014が2014年5月9日(金)〜11日(日)の3日間にわたり,パシフィコ横浜で行われた。11日に行われた東芝メディカルシステムズ株式会社共催のランチョンセミナー19「新血流イメージング“SMI”の有用性」では,川崎医科大学検査診断学の畠 二郎氏を座長に,東あおば整形外科の髙橋 周氏と,東邦大学医療センター大森病院消化器内科の住野泰清氏が講演を行った。
2014年11月号
超音波Week 2014 ランチョンセミナー19 新血流イメージング“SMI”の有用
運動器疾患の治療がSMIで変わる
髙橋 周(東あおば整形外科)
仙台市に開業した当院は,運動器の傷病や骨粗鬆症,スポーツ障害などを対象に,保存療法を中心とした治療を行うとともに,理学療法士とトレーナーによる運動療法にも力を入れている。整形外科の診療において,軟部組織を評価する上で超音波検査は重要なツールであると考えており,当院では2つの診察室と処置室,リハビリテーション室にそれぞれ超音波診断装置を配置している。
捻挫などにより腱や靱帯を損傷すると,炎症を起こし,血流が増加する。超音波検査では,その血流の様子をドプラ法で観察するが,腱や靱帯はもともと血流の乏しい組織であり,炎症が弱い場合には観察が困難だった。しかし,東芝メディカルシステムズ社が開発した新しい超音波イメージング技術“Superb Micro-vascular Imaging(SMI)”により,これまで見えなかった血流を見ることができるようになった。本講演では,症例を供覧し,SMIの有用性と可能性について述べる。
今までの整形外科診療
整形外科診療では,患者さんが運動器の痛みを訴えて受診すると,まずX線画像で骨の状態を確認し,骨に異常がなければ腱や靱帯などの軟部組織の異常が疑われる。軟部組織の描出にはMRIが優れているが,当院のような開業医ではMRIの導入は難しく,また,近隣の病院に検査を依頼すると,診断がつくまでに時間がかかり治療へと進めない。タイムラグにより診察時の身体所見と画像所見に乖離が生じてしまうことも問題となる。
そこで,当院では軟部組織の観察に超音波診断装置を積極的に使用している。例えば捻挫では,足の外側にある前距腓靱帯が損傷する。超音波検査では,前距腓靱帯は腓骨と距骨をつなぐ2〜3mm程度の線状高エコーとして描出されるが(図1a),断裂すると靱帯が腫大し,Bモードで明瞭に観察できる(図1b)。また,靱帯や腱などは動きのある臓器のため,負荷をかけてBモードで観察することで,損傷の状態や,骨との位置関係などを動的に診断することが可能である。
図1 前距腓靱帯のBモード画像
a:正常では2〜3mm程度の線状高エコーとして描出される。
b:断裂すると靱帯が腫大する(↑)。
整形外科分野では,このBモードに加えてドプラ法も診断に用いてきた。図2は,受傷後1週間放置していた内返し捻挫の症例である。初診時のカラードプラ画像(図2a)では靱帯全体の血流が豊富で,強い炎症が見られたが,保存療法1週後には,腫れは残るものの血流は大きく減少し,炎症が落ち着いたことが認められる(図2b)。
ただし,腱や靱帯は,もともと血流が乏しい組織であり,強い炎症ではカラードプラで血流増加を確認できるが,炎症が弱い場合にはカラードプラでの確認は困難だった。
図2 内返し捻挫のカラードプラ画像
a:受傷後1週間放置した初診時
b:保存療法1週後
低流速の血流を描出するSMI
東芝メディカルシステムズ社が開発したSMIは,「Aplio」シリーズに搭載可能な新しいイメージング技術として,2014年1月にリリースされた。同社製超音波診断装置では,以前から血流を描出する技術として,カラードプラやパワードプラ,さらに高分解能ドプラ技術“Advanced Dynamic Flow(ADF)”を使用できたが,SMIにより,さらに微細で低流速な血流を,高い分解能で描出することが可能となった。
従来のドプラ技術では,血流以外の対象物からの不要なドプラ信号(モーションアーチファクト)に低流速の血流の信号が埋もれてしまい,低流速域での血流の描出が困難であった。SMIでは,モーションアーチファクト特有の特徴を解析し,血流信号と区別することで,血流信号のみを取り出し,低流速の血流の描出を可能にしている(図3)。
図3 低流速血流を高分解能に描出するSMI
以下に,当院での症例について,カラードプラとSMIの画像を提示する。
●症例1:アキレス腱炎
症例1は,痛みが非常に強いアキレス腱炎で,超音波検査では正常の腱に比べて2倍ほどに腫れていることがわかる。カラードプラ(図4a)では腱全体に豊富な血流が認められるが,SMI(図4b)では遅い血流が腱の中心部にあることが認められた。
図4 症例1:アキレス腱炎
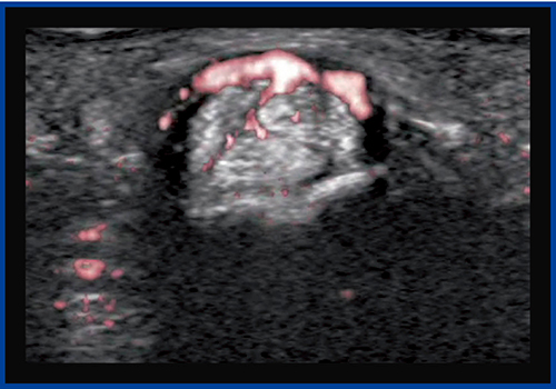
●症例2:第2趾MTP関節炎
症例2は,Bモードにて中足骨と基節骨の関節の腫れと,関節液の貯留が確認され,一部に初期の骨びらんが疑われた(図5)。カラードプラ(図6)では,滑膜には豊富な血流が見られるが,骨びらんが疑われる部位にはほとんど血流が認められなかった。一方,SMI(図7)では,骨びらんの周囲から骨の中に流入する血流がわずかに認められた。
本症例は,未確定ではあるがリウマチが疑われる。通常,リウマチの診断はカラードプラを用いて行われるが,カラードプラでは滑膜の血流状態だけを見ているため,SMIを加えることで,リウマチ発生初期から見られる骨びらんを早期に評価できるようになると期待される。
図5 症例2:第2趾MTP関節炎のBモード画像
図6 症例2のカラードプラ画像
滑膜には豊富な血流が見られるが,骨びらん周囲にはあまり血流が見られない。
図7 症例2のSMI画像
骨びらん周囲から骨の中に流入する血流をわずかに認める。
●症例3:神経鞘腫
症例3は,正中神経に発生した神経鞘腫で,カラードプラ(図8)では腫瘍の辺縁と一部の内部に動脈性の速い血流が認められた。内部にはあまり血流がないように思われるが,SMI(図9)では淡い血流が腫瘍内部に認められ,遅い血流があることがわかる。
従来のカラードプラやパワードプラ,ADFでは見えなかった血流がSMIで見えるようになることで,これまでは観察できなかった異常な血流の評価が可能になれば,腫瘍の鑑別や治療方針が変わることも十分考えられる。
なお,SMIはカラーモードに加え,より詳細な観察が可能なモノクロモードもあり,遅い血流の評価に有用である(図10)。
図8 症例3:神経鞘腫のカラードプラ画像
腫瘍の辺縁と一部の内部に動脈性の速い血流を認める。
図9 症例3のSMI画像
腫瘍内部に遅い血流を認める。
図10 SMIのモノクロモード画像(右)
運動器領域におけるSMIの可能性
超音波検査は従来,心臓や腸管などの不随意運動をする臓器の観察に多く用いられてきたが,近年は随意運動をする運動器の領域でも有用性が認められている。
例えばアキレス腱断裂例においては,患部を動かしながらBモードで見ると,受傷直後には断裂により腱の末梢側から近位に力が伝わらず,近位の動きは観察できないが,保存療法8週後には組織が再生し,末梢側から近位に力が伝わって,腱全体が動く様子が観察できる。また,エラストグラフィでは,受傷直後は腱の張力がないため組織は軟らかく赤く描出されるが,保存療法10週後には張力が回復して硬くなり青く描出される。
このように運動器領域は,Bモードやエラストグラフィでの観察に加え,カラードプラなどのドプラ機能で血流を観察して炎症の評価を行ってきたが,SMIを加えることで,新たな血流の情報を追加することができる。SMIをどのように評価に用いることが適切であるかはこれから検討する必要があるが,SMIは運動器領域の治療に影響を与えると考えられ,今後,超音波検査が必須となることが予想される。
SMIが治療を変える
SMIは,微細な血流を観察するために開発された技術だが,注射の状態の観察にも応用できる。
図11は,指屈筋腱の腱鞘炎(ばね指)症例の短軸像で,腱の周囲の腱鞘(黒い部分)が腫れているのがわかる。腱は1本ではなく,深指屈筋腱と浅指屈筋腱が組み合った構造をしている。注射をしながらSMIで観察すると,腱鞘をはじめ,腱と腱の間にも薬液が入る様子が観察できる(図12)。確実な治療効果を得るために,SMIでの観察が有用であると言える。
このようにSMIを活用することで,今後,運動器領域の治療が変わっていくものと考えられる。
図11 指屈筋腱腱鞘炎の短軸像
●浅指屈筋腱
●深指屈筋腱
図12 指屈筋腱腱鞘炎に対する注射中のSMI画像
腱鞘や腱と腱の間に薬液が入る様子が確認できる。
髙橋 周(Takahashi Shu)
1991年 秋田大学医学部卒業。98年同大学大学院医学研究科修了後,スウェーデン カロリンスカ研究所研究員。2002年 秋田大学医学部整形外科助手。2007年 気仙沼市立病院整形外科医長。2012年〜東あおば整形外科院長。
- 【関連コンテンツ】
