セミナーレポート(キヤノンメディカルシステムズ)
Ultrasonic Week 2015が2015年5月22日(金)〜24日(日)の3日間にわたり,グランドプリンスホテル新高輪(東京都港区)で行われた。24日に行われた東芝メディカルシステムズ株式会社共催のランチョンセミナー12「ここにも使える ここまで診える」では,川崎医科大学検査診断学教授の畠 二郎氏を座長に,岩手県立久慈病院神経内科 リハビリテーション科医長/岩手医科大学医学部内科学講座神経内科・老年科分野助教の大浦一雅氏,京都大学大学院医学研究科人間健康科学系専攻医療検査展開学講座教授の藤井康友氏と日本大学病院消化器内科科長・超音波室室長の小川眞広氏が講演を行った。
2015年8月号
Ultrasonic Week 2015 ランチョンセミナー12 ここにも使える ここまで診える
プラーク内血流をSMIで診る
大浦 一雅(岩手県立久慈病院神経内科 リハビリテーション科/岩手医科大学医学部内科学講座神経内科・老年科分野)
動脈硬化による頸動脈狭窄は,アテローム血栓性脳梗塞の主な原因と言われている。非侵襲的かつ簡便に行える血管超音波検査(頸動脈エコー)は,頸動脈狭窄の評価にとって非常に重要である。超音波はプラークの大きさや性状評価が可能であり,さらに最近では,不安定プラークの要因とされるプラーク内の新生血管の観察にも有用とされる。本講演では,東芝メディカルシステムズの新しいアプリケーションである“Superb Micro-vascular Imaging(SMI)”を用いた頸動脈プラーク内の血流評価,Bモード画像,造影超音波画像および病理画像との比較を行ったので,その結果を報告する。
超音波による頸動脈プラークの評価
アテローム血栓性脳梗塞は,頸動脈や脳の血管の動脈硬化による狭窄が原因とされる。内頸動脈起始部や外頸動脈の分岐部などに好発する狭窄に対して,超音波によるプラークの評価が重要となる。超音波による頸動脈プラーク評価の方法には,主に大きさを見る内中膜複合体厚(IMT),狭窄率(ECST,NASCET),血流速度と,性状の評価を行う可動性,輝度がある。可動性についてはリアルタイムに観察できる超音波が,MRIやCTなどに比べ優れている。一方,輝度によるプラークの評価では,低輝度の場合は出血や脂質成分を含み不安定なプラークと評価されるが,超音波は一般的に検査者の主観的な評価であり,MRIなどほかのモダリティと併せた判断が必要とされている。
プラーク内出血と造影超音波による新生血管の評価と課題
プラークの不安定性をもたらす原因の一つとして,プラーク内出血の有無が注目されている。プラークの内部で出血を起こすことで,急激な成長による狭窄や破綻,血栓の生成などが発生し,脳梗塞に至る。このプラーク内出血を起こす要因の一つとして,最近,新生血管が関係することがわかってきた。
プラーク内部の新生血管を評価する有力な検査方法として,ソナゾイドを用いた造影超音波が行われている。ソナゾイドでは安定した長時間の造影により血管内腔の微細な血流が描出されるため,頸動脈プラーク内の新生血管を描出することができる。これによって,プラークの性状評価が可能になっている。
しかし,造影超音波検査には,いくつか問題点がある。一つは,ソナゾイドによる頸動脈プラークの評価は保険適用外で,一部の研究施設でしか行われていないこと,また,造影剤を使うことで,超音波本来の非侵襲性や簡便性が失われることがある。さらに,ルートの確保や造影剤の注入などで医師の立ち合いが必要となることや,準備も含めて検査に時間がかかる点も課題となる。
SMIによる頸動脈プラーク内血流の評価
SMIは,低流速域での血流について,不要なドプラ信号(モーションアーチファクト)を取り除くことで,高フレームレートで高分解能の血流の検出を可能にし,造影剤を使わずに低流速の微細な血流を描出する新しいイメージング技術である(図1)。われわれは造影超音波の課題に対して,SMIを使用することで,造影剤を使うことなくプラーク内の微細な血管の血流や新生血管の評価が可能になるのではと考え,検討を行った。
図1 頸動脈プラーク内血流評価に有用なSMI
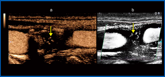
症例1は,72歳,男性,無症候性の頸動脈プラークの症例である。短軸画像の造影超音波(図2a)では,低輝度のプラークの内部に縦に線状に造影剤の流れが描出されている。同じ部分のSMI(図2b)でも血流が確認できた。図3は,症例1の反対側の頸動脈エコーの長軸画像によるプラークの描出だが,こちらも造影剤で描出された血流と同じ部分にSMIでも血流を確認することができた。
図2 症例1:無症候性の頸動脈プラーク(短軸画像)
a:造影超音波画像,b:SMI画像
図3 症例1の反対側血管の頸動脈プラーク(長軸画像)
a:造影超音波画像,b:SMI画像
症例2は,74歳,男性,症候性プラークの症例である。Bモード(図4a)では,等輝度主体,一部高輝度な全周性プラークを認めた。SMI(図4b)では,↓に血流が描出された。この部分の狭窄は軽度だったが,血管のほかの部分に高度な狭窄があり,症候性でもあったことから頸動脈内膜剥離術(CEA)が施行された。手術で採取された検体の病理標本(図4c)では,超音波での所見と同様に全周性にプラークがあり,SMIで血流が描出されたのと同じ部位に新生血管(↓)が認められた。
図4 症例2:症候性の頸動脈プラーク
a:Bモード画像,b:SMI画像,c:病理画像(GPA染色)
症例3は,73歳,男性。症候性プラークの症例で,Bモード(図5a)では全周性に低輝度のプラークを認めた。SMI(図5b)では,内頸動脈と外頸動脈の分岐部分に,縦に走る血流が認められた(↓)。症候性で狭窄があったことからCEAを施行し,剥離切除した検体に対して血管内皮細胞のマーカーであるCD34を用いた免疫染色を行ったところ(図5c),SMIで描出されたのと同じ部分に,比較的大きな新生血管(↓)が認められた。病理標本の結果とSMIで描出された血流の部分が一致した症例である。
図5 症例3:症候性の頸動脈プラーク
a:Bモード画像,b:SMI画像,c:病理画像(CD34染色×100)
まとめ
SMIを用いることで,プラーク内の微細な血流の観察が可能になった。SMIでは,造影剤を使わずに非侵襲的かつ簡便にプラーク内の新生血管を観察できる可能性がある。現在,プラークの性状評価では,新生血管の評価には造影超音波が唯一の方法と言われているが,それに代わる方法として,時間や手間のかからないSMIは,臨床的に有用な検査方法として期待される。
大浦 一雅(Oura Kazumasa)
2007年 岩手医科大学医学部卒業。2011年 同大学大学院卒業。同年より同大学内科学講座神経内科・老年科分野助教。2014年より岩手県立久慈病院神経内科 リハビリテーション科医長を兼務。
- 【関連コンテンツ】
