セミナーレポート(キヤノンメディカルシステムズ)
日本超音波医学会第90回学術集会が,2017年5月26日(金)〜28日(日)の3日間,栃木県総合文化センター(栃木県宇都宮市)などを会場に開催された。27日に行われた東芝メディカルシステムズ株式会社共催のランチョンセミナー5では,東邦大学名誉教授の住野泰清氏が座長を務め,川崎医科大学検査診断学内視鏡超音波部門教授の畠 二郎氏が,「Eye of the Aplio i 〜日常診療にどう活用するか〜」をテーマに講演を行った。
2017年8月号
日本超音波医学会第90回学術集会ランチョンセミナー5
Eye of the Aplio i 〜日常診療にどう活用するか〜
畠 二郎(川崎医科大学 検査診断学 内視鏡超音波部門)
プレミアム超音波診断装置「Aplio iシリーズ」は,次々と新しい技術が投入され,前進し続けている。本講演では,Aplio iシリーズの多くの新機能の中から代表的なものを,“見えない時間をみる”“見えない波をみる”“見えない形態をみる”の3つのテーマに沿って述べる。
見えない時間をみる
超音波診断装置での観察において“見えない時間”と考えられるものとして,「速すぎて見えない現象」,「異所で同時に生じる現象」,「遅すぎて見えない現象」が挙げられる。
1.High Frame Rate CHI
超音波パルスの送受信で画像化を行う超音波診断装置では,体内の速い変化をとらえるためにはフレームレートを上げる必要がある。そのために開発されたのが,“High Frame Rate CHI(HFR-CHI)”である。図1は,総頸動脈と内頸静脈を同一画面に表示した造影超音波画像だが,Original CHI(a)ではMI(Mechanical Index)を経時的に低下させ造影剤の反応を低減させても血流の方向ははっきりしないが,HFR-CHI(b)では流れている方向が確認でき,血管壁に接する部分の血流の動きが少ないことまで視認が可能になった。
図1 総頸動脈と内頸静脈の造影超音波
a:Original CHI b:HFR-CHI
2.4Dプローブ
通常の超音波検査では,1つのスライス面しか画像化できず,近くで同時に起こっている現象でもスライス面以外は観察できない。それを可能にするために開発されたのがマトリックスプローブ(PSI-40VX)である。マトリックスプローブでは,スライスの厚さ方向を含めたボリュームデータ(3D)の収集が可能で,これに時間を加えた“4D Imaging(Live 3D Image)”によって,ほかのモダリティとは異なる,時間的にズレのない真の3D画像の観察が可能となる。
図2は82歳,女性で,腸閉塞の下腹部創部直下の癒着症例である。腸閉塞の診断で問題になるのが腸管のバイアビリティであり,特に非閉塞性腸管虚血(NOMI)は腸管の虚血の診断が難しいが,4D Imagingで腸管の広範囲のデータを取ることでバイアビリティの評価が可能になることが期待される。
図2 マトリックスプローブを用いた造影による腸管のバイアビリティ評価
3.Fluctuation Imaging(W.I.P.)
「遅すぎて見えない」とは,ゆっくりとした時間的変化には気づきにくいという現象である。例えば,人間の加齢や体型の変化は,常に一緒にいる人は気づかず,久しぶりに会った人に指摘されることがある。同様に,非常にゆっくりとした変化,あるいは一部だけが変化する,変わったものが元に戻るなど,時間軸を基準にした観察は見落とすことが多い。それを解決する方法として開発されたのが,時間軸を圧縮して表示させる“Fluctuation Imaging(仮称,W.I.P.)”である。フレーム間の信号のゆるやかな変化を強調して表示し,時間変化と平均強度をパラメトリックイメージングとして描出する。肝臓の血管腫は,Bモード画像だけでは鑑別が難しい場合があるが,Fluctuation Imagingでは腫瘍内のゆるやかな変化,ゆらぎを画像化して鑑別を可能にすることが期待される(図3)。
図3 Fluctuation Imaging(W.I.P.)による肝腫瘤の鑑別
見えない波をみる
反射波を基に画像化する超音波診断装置で,“見えない波”をみるとはどういうことか。減衰係数によって低エコーの領域の構造を鑑別する“減衰イメージング”と,組織の粘弾性を計測する“粘性イメージング”について述べる。
1.減衰イメージング(減衰係数計測)
組織に反射した音波を受信して画像化する超音波診断装置では,受信できない場合には低エコーになる。一般的に超音波画像では黒い(低エコー)領域の後方は白くなるが,まれに黒い部分の奥も黒く表示される“矛盾する黒のパターン”を示すことがある。この現象は同じ低エコーでも,組織の構造が均一で散乱体に乏しい場合と,不整で後方散乱に乏しい場合で異なり,この組織構造の違いを鑑別するにはエコーの減衰の算出がポイントになる。減衰係数を求めることで,肝腎コントラスト(intensity ratio)だけではわからない,減衰を伴う組織性状の判断が可能になる。
図4は,黒い(低エコー)にもかかわらず後方エコーが減衰している症例である。グレイスケール上では肝腎コントラストがほぼ同一だが,減衰係数は高くなっている。SMIでは血管が不整に描出され,C型肝硬変とわかる。組織の構築が乱れ,散乱が強い場合には信号が戻ってこないため,Bモード画像では判断は難しい。減衰係数を利用することで“見えない波”をみることが可能になる。
図4 低エコー領域の後方が減衰する例(C型肝硬変)
2.粘性イメージング(Shear Wave Dispersion:SWD)
疎密波(縦波)を画像化する超音波診断装置では,横波は可視化できなかった。近年,横波(shear wave)の伝播を画像化し,組織の硬さ(elasticity)を計測するshear wave elastographyが可能になっている。shear wave elastographyでは,組織を粘性なしの完全弾性体と仮定して,横波の速度から硬さを求めている。
しかし,実際の組織は粘弾性物体であり,その場合,横波の速度は物質の粘度にも影響され,横波の周波数に応じて速度が変化する非線形の動きとなる。そこで,shear waveに粘性に関する値(周波数−速度分布の傾き:Dispersion)を加えて表示するのが,“Shear Wave Dispersion(SWD)”である。SWDでは,図5のようにSpeed map,Propagation map,グレイスケール,Dispersion mapの4つを同時に表示する。Dispersionは,粘性そのものではなく粘性を反映した指標ではあるが,当施設での経験では,正常(空腹時)の場合には10を超えることは少ないというのが一つの目安になっている。
図5 Shear Wave Dispersion(SWD)
正常肝のshear wave elasticityとDispersion
では,この粘性の指標は臨床でどのような意味を持つのだろうか。図6の症例は,喉頭痛,発熱で受診した19歳,男性だが,超音波では肝臓の裏面突出,胆囊虚脱とstriationが認められ,急性肝障害が疑われた。市中の大病院であれば,さまざまな検査を行い診断が可能だが,離島や僻地などプライマリケアの場面では経過観察せざるを得ない。この症例でSWDを施行したところ,肝臓および脾臓のDispersionの上昇が認められた。これは,細胞浸潤や浮腫によって組織の粘度が上がっていることが考えられ,急性肝障害(伝染性単核球症)と診断できた。SWDは,できることが限られるプライマリケアの診療においても有用なツールになると考えられる。
図6 急性肝障害(伝染性単核球症)のSWDによる計測
見えない形態をみる
Aplio iシリーズでは,新技術の開発によって,従来は見えなかった形態の描出を可能にしている。
1.iSMI
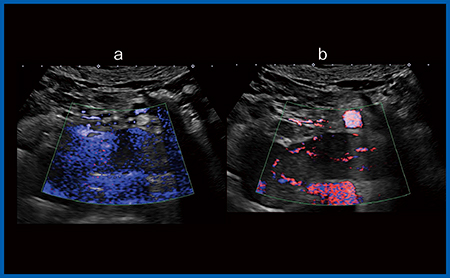
SMI(Superb Micro-vascular Imaging)をより高感度でノイズレスにした血管表示法である“iSMI”が新たに開発された。SMIは,非造影で高いSN比で低流速の血管描出を可能にしたが,例えば,視野角を広げた時にクラッタノイズが発生する,高感度とはいえSN比の限界で観察できない血流があるなどの悩みがあった。iSMIではこれらの課題を改善し,高感度でより精細な血流の表示が可能になった。図7は,腎がんに伴う左腎静脈腫瘤塞栓だが,大動脈直上のため拍動によるクラッタでOriginal SMI(a)では観察が難しいが,iSMI(b)ではクラッタの影響を受ける時間が短くなり,腫瘍塞栓であることが診断できる。さらに,感度が向上した新しい7MHzプローブ(PLI-705BX)を使うことで,胃のGISTの転移性肝腫瘍ではiSMIで造影剤を使用せずに質的診断に迫る画像が得られている(図8)。
図7 腎がんに伴う左腎静脈腫瘤塞栓の描出
a:Original SMI b:iSMI
図8 転移性肝腫瘍(胃GIST)
a:Original SMI b:iSMI
2.心電同期3D
“Smart Sensor 3D”は,通常のプローブに磁気センサを装着してスキャンすることで高精細な3D画像を得られるが,超音波はリアルタイム性が高いことから動きや拍動の影響を受けやすく,血管径が蛇腹状に非連続に描出されたり,クラッタノイズが発生することがある。特に,大動脈周辺は3D構築が難しい領域だったが,新たに“心電同期3D(ECG-synchronized US:ESUS,仮称)”が可能になった。心電同期をさせてデータを収集し3D構築することで,連続的でノイズの少ない3D画像が作成できる(図9)。
図9 心電同期3D(ECG-synchronized US:ESUS,仮称)
3.22MHzホッケースティックタイププローブ
Aplio iシリーズで,“手術中に見えないものをみる”ために開発されたのが,22MHzの超高周波ホッケースティックタイプの術中プローブ(PLI-2002BT)である。手術中に直視しているのは臓器の表面だけで,微細な構造,循環動態はわからない。切除範囲の決定のために術中超音波が行われるが,微細構造の確認のためには超高周波プローブが適応となる。膵臓のほか,図10のように腎臓,肝臓,胃,小腸の各領域で精細な構造とSMIによる血流の確認が可能で,術中の虚血の判定や血流再開の状況が確認できる。血流を含めた感度の高い画像が得られることから,セカンドルックの必要がない,あるいは回数を減らすことができ,手術だけでなく救急医療の現場でも威力を発揮すると期待している。
図10 22MHz超高周波ホッケースティックタイプ術中プローブによる腹部臓器の描出
4.超2高周波プローブ(W.I.P.)
Aplio iシリーズ専用の超高周波(24MHz)リニアプローブ(iDMS PLI-2004BX)は,SMIと同様に世界に強いインパクトを与えた。24MHzはバランスの良いプローブだが,より高周波化することで,空間分解能の向上による細かい構造の観察,ドプラシフトに対する感度向上で低速な血流の確認が可能になる。理想は,1本で周波数はより高く,ペネトレーションはより深くだが,今回,さらなる高周波化を追究した新しい“超2高周波プローブ〔Super High Frequency Probe(SuperHFP):仮称,W.I.P.〕”が誕生した。24MHzの超高周波プローブ(UltraHFP)に比べて,より高周波で広い帯域をカバーするプローブである(図11)。55歳,女性で上腹部痛の症例では,7MHz,12MHzのプローブでは診断できなかった肋骨の骨折が,UltraHFP(24MHz)では骨断端が確認できる。これをSuperHFPで見るとさらに明瞭に確認できる(図12)。
SMIはSuperHFPを用いると理論上,低流速の感度がより向上する。毛囊炎(図13)において,従来の高周波プローブ(12 MHz)ではまったく描出されていない血流がSuperHFPでは明瞭にとらえられている。見えない=存在しないと考えがちであるが,このように検出感度が向上すれば,また新たな知見が得られることになる。
図11 超2高周波プローブ(Super High Frequency Probe:SuperHFP)
(仮称,W.I.P.)
図12 肋骨骨折の描出
a:Ultra High Frequency Probe(24MHz)
b:Super High Frequency Probe
図13 毛囊炎のSMI
a:Conventional High Frequency Probe(12MHz)
b:Super High Frequency Probe
まとめ
“Eye of the Aplio i”をテーマに,真実により近いものを見るためのAplio iシリーズの最新技術や手法について解説した。新しい技術や機能を批判することは簡単だが,現状にとどまっていては新しい景色を見ることはできない。技術を取り入れ改善し一歩でも前に進むことで,超音波診断装置が発展し,さらに有用なツールとなっていくことを確信している。
畠 二郎(Hata Jiro)
1985年 自治医科大学医学部卒業。現在,川崎医科大学検査診断学(内視鏡超音波部門)教授。
専門領域:消化器病学,超音波診断学,特に消化管と急性腹症の超音波診断。
- 【関連コンテンツ】
