セミナーレポート(キヤノンメディカルシステムズ)
日本超音波医学会第90回学術集会が,2017年5月26日(金)〜28日(日)の3日間,栃木県総合文化センター(栃木県宇都宮市)などを会場に開催された。27日に行われた東芝メディカルシステムズ株式会社共催ランチョンセミナー6では,岡山大学大学院医歯薬総合研究科生体制御学講座(循環器内科学)教授の伊藤 浩氏が座長を務め,聖マリアンナ医科大学循環器内科講師の出雲昌樹氏と杏林大学医学部第二内科学教室准教授の坂田好美氏が,「Aplio iシリーズで診る心臓の構造と機能」をテーマに講演を行った。
2017年9月号
日本超音波医学会第90回学術集会ランチョンセミナー6 Aplio iシリーズで診る心臓の構造と機能
iシリーズで診るSHD
出雲 昌樹(聖マリアンナ医科大学循環器内科)
東芝メディカルシステムズ社製の超音波診断装置である「Aplio iシリーズ」には,独自のFusion Imaging機能である“Smart Fusion”が搭載されており,他社にはない優れた特長を有している。本講演では,structural heart disease(SHD)における有用性と使用経験を述べる。
症例提示
症例は,87歳,男性,高度大動脈弁狭窄症である。既往歴として,腹部大動脈瘤(AAA),狭心症(PCI施行),高血圧,糖尿病があり,AAA術後のため他院通院中に労作時の息切れが出現し,精査目的で当院を受診した。経胸壁心エコー(図1)では左室駆出率(EF)は保たれているが,大動脈弁最大血流速度(peak velocity):4.2m/s,平均圧較差(mean PG):44mmHg,大動脈弁口面積(AVA):0.72cm2,弁口面積係数(iAVA):0.45cm2/m2と,いずれも高度であった。また,CTにてAAAを評価すると,中枢側に大きなAAAが残存しており,蛇行もきわめて強かった。これらの結果から,本症例は,Logistic Euro scoreは25.8%,STS scoreは10.8%と,大動脈弁置換術(AVR)のサージカルリスクがきわめて高かった。
図1 症例:経胸壁心エコー
米国心臓病学会(ACC)と米国心臓協会(AHA)は2017年3月,2014年度版の心臓弁膜症治療ガイドラインを改訂し,経カテーテル大動脈弁留置術(TAVI)を強く推奨している。特に,手術困難もしくはハイリスク症例に対してはTAVIがクラス1の推奨となっており,当院でもTAVIを実施している。本症例については,心尖部アプローチのTAVIであれば可能と考え,評価を行った。大動脈弁複合体の術前評価はCTがゴールドスタンダードとなる。また,心尖部アプローチにおける穿刺部位の同定にもCTが有用であり,本症例では第5,6肋間から穿刺を行うこととした。
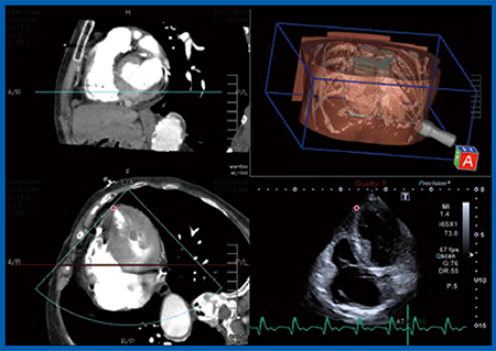
TAVIの実施に当たり,当院では心臓外科医が穿刺する直前に術中エコーにてリアルタイムに心尖部の位置を確認する。しかしながら,本症例は,呼吸機能障害により左肺が過膨張となっており,心尖部が肺の後ろに隠れてしまうため,体位変換が困難な術中には心尖部の描出ができなかった。そこで,Fusion Imagingにて術前のCT画像とリアルタイムの超音波画像を同一画面上に並べて同期表示したところ(図2),心臓外科医も納得し,自信を持って穿刺を行うことができた。
図2 症例:Fusion Imagingによる術前CT画像と術中超音波画像の同期表示
Fusion Imagingを取り巻く状況
TAVIにおいて,心尖部アプローチが施行される割合は,世界的に見てもわずか10%程度である。しかし,今後登場するさまざまなカテーテルインターベンションや,現在積極的に行われている僧帽弁形成術/置換術,あるいは僧帽弁置換術後の弁周囲逆流に対する経カテーテル弁周囲逆流閉鎖術などでは,心尖部アプローチでなければ施行できない例もあり,今後,心尖部アプローチが増加することが予想される。そこで,経胸壁心エコーにて心尖部を良好に描出し,インターベンション医や外科医との円滑かつ迅速なコミュニケーションを図るために,Fusion Imagingが非常に役立つと思われる。
また,現在はマルチモダリティの時代であり,複数モダリティの画像の特徴を生かしてFusionさせることで,各画像の有用性をより高めることが求められている。
Smart FusionによるFusion Imagingの実際
以下に,CTを例に挙げ,Smart Fusionの実際の流れを示す。
まず,CT撮影に当たっては,基準位置マーカー「omniTRAXブラケット」(シブコ社製)を患者の体表に置き撮影する。当院では,CT,超音波のいずれも部位ごとにomniTRAXを置く位置を決めており,撮像の邪魔になることもなく,画質にも影響は見られない。得られたデータは超音波診断装置に取り込み,さらに超音波プローブに磁気センサを取り付けてリアルタイム超音波画像を撮像し,CT画像との位置合わせと同期表示を行う。Smart Fusionでは,Fusion画像の追従性がきわめて高く,日常臨床でストレスなく使用可能である。
なお,体動や呼吸により患者の位置がやや変動することがあるが,体動補正機能があるため,位置合わせ後に画像がずれることもなく,手を煩わされることがきわめて少ない。
Fusion Imagingの有用性
当院の超音波センターでは,16名の臨床検査技師と6名の医師が超音波検査を行っており,経胸壁心エコーは年間1万3000〜1万4000件に上るが,やはり検査担当者ごとに検査の質に差が生じる。そこで,誰が検査しても同じような画像や計測結果が得られるよう精度管理を行う必要があるが,そこにFusion Imagingが役立つと考えている。
1.心エコーの精度管理に関する検討
全国の医療施設から40歳未満の循環器内科医が集まって立ち上げた「若手心エコー図の会」では,精度管理を目的にeye-ball EF(見た目のEF)についてのマルチセンタースタディを行った。
全国平均のeye-ball EFをリファレンスとし,当院のスーパーソノグラファである技師の一人と比較した1)。その結果,当院の技師は,eye-ball EFを全国平均よりも約3%過少評価していたことがわかった。また,低いEFはより低く,高いEFはより高く評価する傾向が見られた。つまり,経験の豊富な技師でも全国平均と比較して極端に優れているわけではなく,施設間や同じ施設内でも技師によるバラツキがあると考えられた。さらに,経験年数5年以内,5〜11年,11年以上に分けて,リファレンスイメージをフィードバックした上で,再度違う画像でeye-ball EFがどのくらい全国平均に近づくかを見ると,経験5年以内では改善効果がきわめて高いことがわかった。一方,5年以上経過した者は,フィードバックをしてもほとんど変化は見られず,若手の教育の重要性が確認された。
2.経胸壁心エコーの教育におけるFusion Imagingの有用性
経胸壁心エコーの教育に当たっては,心尖部をきちんと描出できるようになることがファーストステップではないかと考えている。Fusion Imagingを使用すれば,技師自身がプローブを当てている位置を容易に理解でき,また,プローブの当て方が適切でない場合には,どの方向に動かせば心尖部がはっきり描出できるかを,画像を見ながら指導することができる。
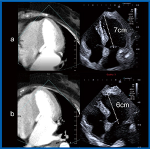
実際に,心尖部を適切に描出できた画像(図3 a)とできなかった画像(図3 b)を比較してみると,適切な画像では弁輪部からの距離が7cm,適切でない画像では6cmと,10%以上のズレがあった。こうしたズレは,左室容積やEFの計測結果の大きな誤差につながるため,2つの画像の違いをしっかりと確認できることは大変有用である。
図3 心尖部像の描出におけるFusion Imagingの
教育的効果
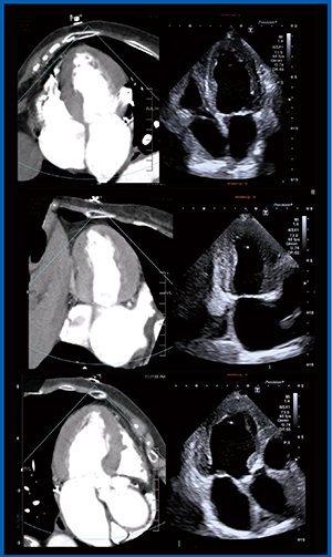
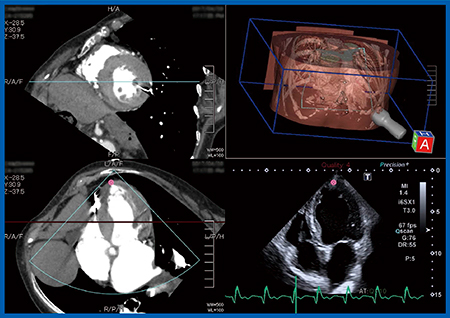
また,4chamberから2chamber,3chamberへと回してスキャンすることは,若手の技師はもとより,われわれにとっても難しいことである。しかし,Fusion Imaging(図4)を用いることで,2chamberではしっかり右室が消えるところを描出する,あるいは左心耳が見える断面であるといったことをCT画像と同期して見せられる点も,非常に有用と考えている。
図4 心尖部像の描出におけるFusion Imagingの
教育的効果
上段:四腔像,中段:二腔像,下段:三腔像
3.右室評価におけるFusion Imagingの有用性
近年,右心機能がさまざまな心肺疾患の予後因子として注目されており,右心機能評価のニーズが高まっている。一方,右室は左室と比べて複雑な形態をしており,しっかりと描出するためには3D撮像を行う必要があるが,時間がかかるため現状では全例に施行するのは困難であり,4chamber viewで評価している施設が多いと思われる。しかしながら,右室評価の際には右室の最大径で測定する必要があるものの,実際には右室に焦点を当てた像でもどの断面を見ているのかを把握するのは困難である。そこで,Fusion Imagingが役立つのではないかと考え,検討を行った。
図5は通常の4chamber viewであるが,超音波では左上のCT画像の青い線の断面を描出しており,右室の端の方が描出され,この画像では右室評価を行うことができない。そこで,RV Focus Viewに切り替えてみても,やはり最大径では描出できないため,CT画像をガイドにエコープローブを少し動かしてみたところ,右室がしっかりと描出できた(図6)。この検討で得られた4断面を比較すると(図7),右室基部径は右室の大きさを反映するが,断面によって右室の大きさが異なっていることがわかる。また,何より自分が今,右室のどの断面をスキャンしているかがFusion Imagingによってより理解しやすくなったと考えている。
図5 4chamber viewによる右室の描出
図6 CT画像をガイドとした右室の描出
図7 撮像断面による右室基部径の違い
4.MRIとのFusion Imagingの有用性
なお,Smart FusionではMR画像とのFusionも可能であり,CT造影剤が使用できない症例などで有用である。実際にFusionしてみたところ,空間分解能に優れたMRIと比較すると,超音波では左室壁などが分厚く描出されていることがわかり(図8),注意を要することが理解できた。
図8 MRIと超音波のFusion Imaging
SHDにおける3D経食道心エコー(3D TEE)の有用性
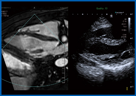
SHDの評価には,3D TEEが最適であると言われている。そこで,実際に,Aplio iシリーズに搭載された最新の3D TEEプローブで1例だけ撮像を行った。
図9は実際の画像であるが,僧帽弁が明瞭に描出されている。Bモードもきれいに描出されており,カラー3Dドプラも含めて,SHDの評価に十分な画像が得られている。さらには,僧帽弁解析ソフトウエアも登場しており(図10),東芝メディカルシステムズ社の3D TEE技術は大きく進化していると思われる。
図9 3D TEEによる僧帽弁の描出
図10 僧帽弁解析ソフトウエアの画面
まとめ
SHDの治療法として,TAVIはもとより,僧帽弁不全症治療の新しいデバイスである「MitraClip」(アボット社製)なども導入され,SHD interventionはさらなる広がりを見せていくものと思われる。また,マルチモダリティ時代となった今,さまざまなモダリティの特徴を最大限に生かして,診療はもとより教育や,検査の標準化にも役立てていく必要がある。こうした状況の中,Fusion Imagingを臨床の現場で最大限に活用することが,われわれに求められていると考えている。
●参考文献
1)楠瀬賢也・他:Multi-center Study of Reproducibility for Visually Estimated Left Ventricular Ejection Fraction. 日本心エコー図学会第28回学術集会, 2017.
出雲 昌樹(Izumo Masaki)
2004年 聖マリアンナ医科大学医学部卒業。2010年〜Cedars-Sinai Medical Centerにて2年間留学。2017年〜聖マリアンナ医科大学循環器内科講師。
- 【関連コンテンツ】
