セミナーレポート(キヤノンメディカルシステムズ)
日本超音波医学会第90回学術集会が,2017年5月26日(金)〜28日(日)の3日間,栃木県総合文化センター(栃木県宇都宮市)などを会場に開催された。28日に行われた東芝メディカルシステムズ株式会社共催のランチョンセミナー14では,福島県立医科大学医学部甲状腺内分泌学講座主任教授の鈴木眞一氏を座長として,伊藤病院内科の國井 葉氏と名古屋医療センター乳腺科の森田孝子氏が,「24MHz超高周波プローブで進化する表在エコー」をテーマに講演を行った。
2017年9月号
日本超音波医学会第90回学術集会ランチョンセミナー14 24MHz超高周波プローブで進化する表在エコー
iシリーズが乳腺エコーを変える その第一歩!〜この症例をあなたはどう読む?〜
森田 孝子(名古屋医療センター乳腺科)
東芝メディカルシステムズ社製プレミアム超音波診断装置「Aplio iシリーズ」には,新開発のiシリーズ専用プローブ「iDMSプローブ」が搭載されている。今回の検討ではiDMSプローブのうち,乳腺領域の検査に24MHzの超高周波リニアプローブを使用した。本講演では,乳腺領域における超高周波リニアプローブの有用性について,症例画像を供覧し報告する。
超高周波リニアプローブと“iBeam”技術
新開発の「iDMSプローブ」には,表在用としては4.4〜18MHzの「PLI-1205BX」と8.8〜24MHzの「PLI-2004BX」という2種類の超高周波リニアプローブがラインアップされている。今回は,乳腺領域の検査に従来プローブよりも高い周波数帯域を有するPLI-2004BXを使用した。
日本人の乳腺の深さは通常1〜2cmが多いが,3〜4cmの厚みのある被検者もおり,乳腺深部まで描出が困難な場合がある。しかし,高い周波数帯域を持つ超高周波リニアプローブのPLI-2004BXは,距離・方位分解能が優れた上,深部の感度が向上した。また,浅部から深部までの超音波のビームを,高密度かつ細く均一にして送受信する“iBeam Forming”や,断層像のスライス厚の制御を精密に行える“iBeam Slicing”という2つのiBeam技術により,皮膚から大胸筋レベルまで高精細な画像が得られる。
症例提示
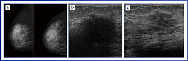
●症例1
症例1は,29歳の方で,超音波検診にて異常を指摘された。マンモグラフィでは,右MIOにspiculated massが描出されており,カテゴリー5と診断されるような悪性が強く疑われる症例である(図1 a)。エコーでは細かい分葉型腫瘤になっており,内部エコーも硬癌ほど低エコーではない(図1 b)。後方エコーは減弱している箇所と増強している箇所があり,これは多様な内部エコーの反射の影響を受けていると推察され,縦方向からの観察でも同様であることから,硬癌ではないと考えた。動画像でも,構築の乱れを観察でき,これがマンモグラフィ画像のスピキュラとして描出されていたと見られ,硬化性腺症が疑われた。
エラストグラフィでは,あまり硬さが見られず,SMI(Superb Micro-vascular Imaging)でも血流は少なく描出されている。なお,Aplio iシリーズでは,病変部をスイープスキャンしてSMIのデータから3D画像を作成することで,より微細な血管の構築を立体的に観察することが可能となった(図1 c)。さらに,iBeam Slicingによって,薄いスライス厚でSMIを撮像できることから,腫瘤の血管構築の観察などに役立つと期待している。
本症例の造影MRマンモグラフィでは,腫瘤の部分に強い増強効果があり,硬化性腺症の中に非浸潤性乳管癌(以下,DCIS)の可能性が示唆され,切除術が施行された(図1 d)。病理像は非常に多彩で,乳管内病変やコロイド,病的な間質が存在しており,硬化性の変化によってスピキュラを呈していたと推察される。さらに,乳管内病変に乳頭腫があり,ごく一部にDCISが混在していた(図1 e)。術前の超音波検査では検出できなかった6mmの乳腺管状癌も見つかっており,広範囲の良性病変の中に悪性腫瘍が見られた症例であった。この病理像を踏まえて,Bモード画像を見直すと,硬化の度合いが異なる乳管内病変と,拡張した乳管が描出されていることがわかる(図1 f)。また,内部エコーが硬癌のような低エコーではないのは,乳管内乳頭腫と間質,さらには粘液様のものが混在して高エコーになっていると思われた。24MHzのPLI-2004BXによるBモード画像は,このような複雑な病態を明瞭に描出できている。
図1 症例1
a:マンモグラフィ画像 b:Bモード画像 c:Smart 3DによるSMI画像
d:病理像とBモード画像の対比 e:病理像 f:eのBモード画像
●症例2:初期のHER2陽性の乳がん
マンモグラフィ画像ではわかりにくいが,左乳房にdensityの高い部位があり,石灰化を伴っている(図2 a)。トモシンセシス画像でも,左M領域に右乳房にないdensityを示していることがわかる(図2 b)。超音波検査では,本症例のように脂肪が多いと脂肪と腫瘤の区別がつきにくいが,超高周波リニアプローブによって,コントラストの高い明瞭な画像が得られる(図2 c)。さらに,SMI画像でも微細な血流が描出され,細胞診で癌と診断されて温存術を施行した。
本症例のT1〜T7の3mmスライス厚の病理標本(図2 d)では,○が浸潤性乳管癌,○がDCISであるが,ルーペ像(図2 e)では#4に主病巣があり,その周囲に乳管内病変が見られる。超音波検査で拾い上げることができなかった病変もあったが,装置が病変を描出できていても,それに気づかないのが理由だと考えられる。本症例は,悪性度の高いHER2陽性の乳がんであり,特に,温存術を施行する場合は,正確な切除を行う上で広がり診断がきわめて重要となる。今回もHER2陽性の乳がんを疑ったにもかかわらず,術前マーキング検査で完全には広がり診断ができず,さらに,病変に焦点を合わせて,その周囲を精査すべき症例であった。
図2 症例2:初期のHER2陽性乳がん
a:マンモグラフィ画像 b:トモシンセシス画像
c:Bモード画像 d:切除標本 e:病理像
●症例3:乳腺線維症
本症例は左乳房切除術後であり,マンモグラフィでは高濃度領域があるものの,右乳房のみのため鑑別できなかった(図3 a)。当院の従来装置では,図3 bのように後方エコーが減弱する低エコー腫瘤として描出されており,悪性であることが疑われた。そこで,「Aplio i800」を使用したところ,厚みのある乳腺にもかかわらず胸壁まで乳腺構造を明瞭に描出していて,乳腺線維症により低エコーとなっていることがわかった(図3 c)。24MHzの超高周波プローブにより,深部まで高精細な画像を得ることが可能であった。
図3 症例3:乳腺線維症
a:マンモグラフィ画像 b:従来超音波診断装置のBモード画像 c:Aplio i800のBモード画像
●症例4:硬癌
図4 aのマンモグラフィでは,右乳房に高濃度領域が存在し,構築の乱れとしてカテゴリー4とした。一方で,超音波検査でも硬癌と考えられる腫瘤が認められた(図4 b)。本症例では,乳頭近くに病変があるために切除術を施行し,Luminal Aタイプと診断された(図4 c)。また,病理診断では娘結節を確認できた。Aplio i800では,乳管構造も明瞭に描出されており,主病変だけでなく娘結節も確認できる(図4 d)。
図4 症例4:硬癌
a:マンモグラフィ画像 b:Bモード画像 c:病理像 d:Bモード画像
●症例5:非浸潤性小葉癌と硬化性腺症に伴うDCIS
この方は50歳代で,3年間超音波検診のみを受けてきた(図5 a)。2016年の検診画像でも病変は検出できず,「異常なし」の判定となっていた。しかし,半年後に左乳房の窪みを訴え,マンモグラフィを施行したところ,構築の乱れが左右の乳房下部に認められた(図5 b)。一般的に超音波検査は,構築の乱れの検出が難しいとされているが,マンモグラフィを併用し,総合判定を行っていれば,検診での指摘ができたのではないかと考えられる。
本症例の精査をAplio i800で施行したところ,左乳房の病変部のエコーは非常に不明瞭な低エコー域で,エラストグラフィでも明確な歪みの低下はなかった(図5 c)。切除術後の病理診断では,非浸潤性小葉癌とされた(図5 d)。非浸潤性小葉癌は,正常な乳腺構造をあまり壊さず,がん細胞が増殖していくタイプのがんであり,超音波検査では描出が困難である。
右乳房では,後方エコーが局在的に減弱しているものの,病変を拾い上げるのは困難であった。病理診断の結果,硬化性腺症に伴うDCISと診断できた。硬化性腺症の内部にDCISがあるため,病変がまとまっておらず,超音波検査では検出しにくい症例である。
図5 eに,本症例における「Aplio i900」と検診エコーの画像を示す。右12時-6時の連続画像を供覧した。
図5 症例5:非浸潤性小葉癌と硬化性腺症に伴うDCIS
a:過去3年の検診画像 b:マンモグラフィ画像 c:エラストグラフィ画像
d:病理像 e:Xario(下)とAplio i900(上)の比較
●症例6:石灰化症例
乳がんの4割程度は石灰化を呈するが,超音波画像で検出するのは難しい。
図6 aでは,左乳房に微小な円形の石灰化が見られるが,マンモグラフィ上このような石灰化を検出した場合,エコーで部位,低エコー域を観察する。東芝メディカルシステムズ社の超音波診断装置には,モニタ上に超音波画像とマンモグラフィ画像を並列表示して,石灰化などの検出を行いやすくする“リファレンス表示”が搭載されている(図6 b)。腺腔の中の点状エコーがAplio i800/i900の高画質化により明瞭に描出されているが,マンモグラフィ画像で確認しながら観察でき,診断精度の向上につながると期待される。
図6 症例6:石灰化症例
a:マンモグラフィ画像 b:リファレンス表示
●症例7:石灰化症例
本症例では,マンモグラフィ画像で良性の石灰化が多数検出された中に,右乳房には線状・分枝状にカテゴリー5の石灰化がある(図7 a)。超音波画像では,乳管・小葉が,その形状まで見えるような低エコー域が認められ,点状の高エコーが高精細に描出され,プローブを走査することにより線状の高エコーが見え,Aplio i800/i900の解像度の高さが示されていると考えられた(図7 b)。
また,Aplio i800/i900は,iBeam Slicingにより,非常に薄いスライスで撮像できるため,微妙なプローブの走査で画像を微調整して,細かいスライスのデータを観察することが可能である。これにより,点状高エコーを示す石灰化がどのような病理学的構造の中にあるのかがわかる。本症例は,広汎なDCISであったが,腔が拡張して石灰化がある部分とそうでない部分がよく観察できる。本症例は広がり診断の上,全摘出術となったが,病変の範囲が狭い症例ならば,術前の検査でより高精度の診断が可能になると考えられる。
図7 症例7:石灰化症例
a:マンモグラフィ画像 b:Bモード画像
森田 孝子(Morita Takako)
1987年 大阪医科大学卒業。国立名古屋病院(現・名古屋医療センター),名古屋大学大学院,癌研究会附属病院,カロリンスカ研究所,名古屋大学医学部附属病院第二外科,愛知県総合保健センター,中日病院などを経て,2011年から名古屋医療センター乳腺科。
- 【関連コンテンツ】
