セミナーレポート(キヤノンメディカルシステムズ)
第55回日本小児循環器学会総会・学術集会が,2019年6月27日(木)〜29日(土)の3日間,札幌コンベンションセンター(北海道札幌市)にて開催された。28日(金)に行われたキヤノンメディカルシステムズ株式会社共催のランチョンセミナー9では,榊原記念病院小児循環器科部長の矢崎 諭氏を座長として,埼玉医科大学国際医療センター小児心臓科助教の葭葉茂樹氏と長野県立こども病院循環器センター長の安河内 聰氏が,「最新の画像診断機器の使用経験(超音波,アンギオ装置)」をテーマに講演を行った。
2019年10月号
第55回日本小児循環器学会総会・学術集会ランチョンセミナー9 最新の画像診断機器の使用経験(超音波,アンギオ装置)
先天性心疾患のカテーテル治療における血管撮影装置の進化
葭葉 茂樹(埼玉医科大学国際医療センター小児心臓科)
血管撮影装置の進歩はめざましく,新技術に対する知識と,それを使いこなす応用力が非常に重要である。また,血管撮影装置に期待することとしては,(1) より正確な造影画像:主に良好な画像コントラストが得られること,(2) より正確なインターベンション:デバイス留置をサポート,ナビゲーションする機能,(3) より安全な装置:低被ばく,(4) より使いやすい装置:複雑な多様性を持ったカテーテル治療に柔軟に対応できること,などが挙げられる。本講演では,小児循環器領域の治療において,これらの期待に応えるキヤノンメディカルシステムズ社製血管撮影装置のさまざまな技術を紹介する。
画質向上の工夫:コントラストの向上
画質表現力を向上するためには,透視線量を上げることなく,いかに良好なコントラストを得るかが重要である。キヤノンメディカルシステムズ社製の最新血管撮影システム「Alphenixシリーズ」では,FPDのダイナミックレンジが従来装置と比較して16倍に拡大されており,きわめて良好なコントラストが得られる。これにより,狭窄部や病変がより明瞭となり,病変の見逃し防止にも役立つ。
より正確なインターベンション
1.“デバイス強調モード”の有用性
小児循環器領域においては,小児の細い血管に対して冠動脈ステントを留置する機会が増えているため,デバイスの視認性も重要となる。しかし,従来システムでは低線量の透視において,ステントなどの各種デバイスを視認しづらい場合も多かった。Alphenixシリーズでは,新しい画像処理を搭載したデバイス強調モードにてステントやガイドワイヤを明瞭に描出できるようになっている(図1)。
図1 デバイス強調モード:経皮的冠動脈形成術
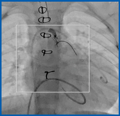
図2は,経皮的心房中隔欠損閉鎖術(Amplatzer Septal Occluder:ASO治療)におけるwiggleによるデバイスの安定性の確認の様子であるが,デバイス強調モード(b)ではきわめて明瞭に描出されている。
図2 デバイス強調モード:ASO治療
図3は,経皮的動脈管開存閉鎖術(Amplatzer Duct Occluder:ADO治療)であるが,デバイス強調モード(b)では,デバイスやシースはもとより,気管支透亮像との位置関係もわかりやすい。
図3 デバイス強調モード:ADO治療
近年,動脈管開存症においては,動脈管に冠動脈ステント留置を行い,プロスタグランジン合成阻害薬の投与を止める例が増えている。図4は,心室中隔欠損を伴う肺動脈閉鎖症を合併した動脈管開存症で,左の肺動脈に血流が供給されている。冠動脈ステントの留置前後の画像を比較すると,デバイス強調モード(図4 b)ではワイヤやデバイスが明瞭であり,デバイス留置時の安全性の向上に寄与する。さらに,本症例は下行大動脈から起始する体肺動脈側副血行路(MAPCA)にも冠動脈ステントを留置しているが(図5),デバイス強調モード(b)では,ステントのwaistが完全に取れていない状況もしっかりと確認できる。
図4 デバイス強調モード:肺動脈への冠動脈ステント留置
図5 デバイス強調モード:下行大動脈から起始するMAPCAへの冠動脈ステント留置(図4と同一症例)
2.デバイス留置時のナビゲーション機能の有用性
例えば,屈曲した肺動脈にステントを留置する場合に,透視像では三次元的な位置関係を把握しづらいが,そのような場合に透視像と術前CTの3D画像を融合し,リアルタイムに連動して表示する“Multi Modality Roadmap”(MMR)がきわめて有用である(図6)。
図6 Multi Modality Roadmap(MMR)
MMRは当院の血管撮影装置には搭載されていないが,MMRがあれば手技を容易に実施できたと思われる例を経験した。症例は成人の修正大血管転位症で,心房・大血管スイッチ手術を施行した。心房・大血管スイッチ手術後の肺動脈分岐部の狭窄に対しては,近傍にある大動脈への干渉を最小限にするため,セルフエクスパンダブルステントを留置するのが理想的であると報告されている1)。注意点は,セルフエクスパンダブルステント留置位置の確定は,バルーンエクスパンダブルステントに比べかなり難しいことである。当院でも報告1)と同様の方法で実施したが(図7),狭窄は解除されたものの,セルフエクスパンダブルステントが狭窄部の途中でリリースされてしまい,ステントの追加が必要となったほか,位置合わせにもかなりの時間を要した。このような場合に適切なロードマップがあれば,より正確な位置でのリリースが可能であったと思われる。
図7 心房・大血管スイッチ手術後の左肺動脈へのセルフエクスパンダブルステント留置
3.チルト寝台の有用性
チルト寝台は,経皮カテーテル肺動脈弁(Melody:メドトロニック社製)留置の際に有用である。留置したMelody valveを完全に短軸で見るためには,通常のcaudal方向からの観察では角度が不十分であるが,寝台を頭側に傾けることで明瞭な観察が可能となる。
被ばく低減の工夫
キヤノンメディカルシステムズ社独自の被ばく低減の工夫としては,手技中の患者被ばくのモニタリングと,患者だけでなく術者の被ばくも低減する新機能がある。
見えない被ばくを可視化することで線量マネージメントを可能にする“Dose Tracking System”は,術中の患者の入射皮膚線量をリアルタイムにモニタリングし,入射皮膚線量の度合いを仮想患者モデル上にカラーマップで表示する(図8)。また,術者被ばくを低減する“Spot Fluoro”は,手技中に必要な範囲にのみX線を照射する機能である。例えば,全面照射を100とした場合の散乱線量(距離50cm,高さ150cm)は,面積が1/4では52%,1/9では34%となる。修正大血管転位症の肺動脈絞扼術後にプレッシャーワイヤによる肺動脈圧の評価を行った例では,プレッシャーワイヤが挿入された部分のみにSpot Fluoroを使用すると,X線の照射面積は全面照射の約1/4となり(図9□),放射線量が大幅に抑制される。Spot Fluoroの使用には若干の慣れが必要であるが,手技中に実際に見ているのは限られた範囲のみであり,また,照射範囲は自由に変更可能である。
図8 Dose Tracking System
図9 Spot Fluoro
より使いやすい装置
キヤノンメディカルシステムズ社の血管撮影装置は,以前から機動性,操作性に優れており,特に小児循環器領域においては,自由度の高いCアームの動作が好評である。例えば,手術後急性期のインターベンションでは,寝台の周囲に人工呼吸器や腹膜透析または血液透析装置,シリンジポンプやドレーン,補助循環装置など,多数の機器が配置されるため,これらの周辺機器と干渉しないCアームの取り回しの良さはインターベンションをスムーズに行うために重要である。
また,穿刺部位の多くは大腿動静脈である。しかし,内頸静脈や外頸静脈からの穿刺や,経皮的血管形成術におけるステント留置のため腋窩動脈や内頸動脈,肝静脈から穿刺を行う場合,Cアームの取り回しの悪い装置では,術者の立ち位置や患者アクセス方向,穿刺針を刺入する方向とCアームが干渉し,常に実施しづらい。したがって,270°方向からのマルチアクセス性能を有するCアームは,手技の幅を広げることができるという意味で非常に有用である(図10)。また,キヤノンメディカルシステムズ社独自のバイプレーンセット時のFree head accessは,さまざまな臨床シーンに対応できる自由な検査室レイアウトを可能としている(図11)。
このほか,最新のAlphenixシリーズには,術者自身が操作可能なタッチパネル式操作卓「Alphenix Tablet」(オプション)が搭載可能である(図12)。計測の指示を出す際,計測部位を正確に伝えることは困難であるが,そのような場合,術者がテーブルサイドで自ら計測を行うことができる。
図10 270°方向からのマルチアクセス性能 Free head accessが可能
図11 同社独自のバイプレーンにおけるFree head access
図12 タッチパネル式操作卓Alphenix Tabletによるワークフローの向上
まとめ
われわれが血管撮影装置に求めることとして,(1) Imaging:新たな画像処理コンセプト,(2) Dose:線量マネージメントコンセプト,(3) Work:操作性向上コンセプト,という3つが挙げられる。つまり,より良好かつ高精細な画像が得られる画像処理と,線量低減の工夫が可能であり,操作性の良い装置と言い換えることができる。
血管撮影装置の進歩によって,より精密かつ安全な検査・治療が可能となっているが,多くは成人の治療を対象として開発された機能であることから,装置の機能を熟知し,小児の治療・評価に生かすために応用していくことが重要と考える。
●参考文献
1)Murakami, T., et al. : Aortic Reservoir Function has a Strong Impact on the Cardiac Blood Supply-Workload Balance in Children. Pediatr. Cardiol., 39・4, 660〜664, 2018.
葭葉 茂樹(Yoshiba Shigeki)
1994年 慶應義塾大学医学部卒業,同大学小児科医局入局。98年 同大学小児科心臓グループ。2000年 東京都立清瀬小児病院循環器科。2008年 埼玉医科大学国際医療センター小児心臓科。2009年 Nationwide Children’s Hospital(USA)留学。2010年〜埼玉医科大学国際医療センター小児心臓科助教。
- 【関連コンテンツ】
