セミナーレポート(キヤノンメディカルシステムズ)
第84回日本医学放射線学会総会が2025年4月10日(木)〜13日(日)の4日間,パシフィコ横浜(神奈川県横浜市)で開催された。13日に行われたキヤノンメディカルシステムズ(株)共催のランチョンセミナー28では,北海道大学大学院医学研究院画像診断学教室の工藤與亮氏が座長を務め,東北大学大学院医学系研究科放射線診断学の青木英和氏と横浜市立大学大学院医学研究科放射線診断学教室の加藤真吾氏が,「Abiertoが画像診断の新たな世界を開く〜読影支援ソリューションとワークステーションの初期使用経験〜」をテーマに講演した。
2025年8月号
第84回日本医学放射線学会総会ランチョンセミナー28 Abiertoが画像診断の新たな世界を開く ~読影支援ソリューションとワークステーションの初期使用経験~
講演2:Abierto Visionでここまでできる ─包括的循環器画像検査を指向するアプリケーション─
加藤 真吾(横浜市立大学大学院医学研究科放射線診断学教室)
医用画像解析ワークステーション用プログラム「Abierto Vision」(キヤノンメディカルシステムズ社製)は,直感的な操作性,AIを活用した自動化技術により3D画像の解析ワークフローを簡略化,先進的な解析アプリケーションに対応,などの特長がある。非常に多くのアプリケーションが搭載されているが,循環器領域においては,特に心臓MRIと心臓CTの解析技術が強化されている。本講演では,Abierto Visionを用いた心臓MRI解析 および心臓CT解析の使用経験を中心に報告する。
心臓MRI解析
1.遅延造影(LGE)定量解析
心臓MRIは,さまざまなシーケンスを用いて心筋の組織性状評価が可能であり,線維化,浮腫,虚血・梗塞などを鑑別できるため,CTや核医学検査よりも心筋症に対する診断能が高い。なかでも,LGE MRIは,造影剤の分布から心筋梗塞や心アミロイドーシス,肥大型心筋症や拡張型心筋症を鑑別できるため,特に有用である。
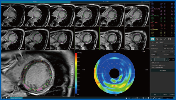
心筋梗塞においては,重症度の進展に伴い虚血の範囲が前壁中隔の内膜側から外膜側へと徐々に広がるwave front現象が知られている。LGE MRIは,梗塞巣を高信号に描出するため心筋バイアビリティ診断に有用で,梗塞巣の壁内深達度50%以上では血行再建による心機能改善の効果が乏しいと判断できる。そのため,ワークステーションを用いて心筋バイアビリティ診断を正確に行うことが,患者の管理や予後改善に重要である。特に,左室心筋全体における梗塞心筋の割合(%LGE)は,左室駆出率(LVEF)や左室容積(LVEDV)よりも有用な予後規定因子であることが報告されており,ワークステーションにて%LGEを正確に測定することが求められる。Abierto Visionは,左室および右室の機能解析はもとより,LGE定量解析(%LGEの算出)にも対応している。また,心機能解析において重要なトレーシング機能の精度も良好である。図1は,Abierto Visionによる陳旧性心筋梗塞症例のLGE定量解析画面である。心筋造影効果がカラーでわかりやすく表示され,%LGEも算出されている。
拡張型心筋症や肥大型心筋症における心筋の淡い線維化は,LGE MRIにて心筋梗塞ほど明瞭に描出されないが,カットオフ値を設定することでAbierto Visionで評価可能である(図2)。
心サルコイドーシスは,病変が多発し,かつランダムに分布するため評価が難しい疾患であるが,Abierto VisionのLGE定量解析では多発病変の解析も可能である(図3)。LGE MRIは,特に予後と密接にかかわる右室の病変の局在を明確に評価できるため,心サルコイドーシスの予後予測に有用である。また,心サルコイドーシス患者の心室頻拍(VT)や心室細動(VF)の予測は困難であるが,「2024年 JCS/JHRSガイドライン フォーカスアップデート版 不整脈治療」(日本循環器学会 / 日本不整脈心電学会 編)では,定量評価にてLGEが心筋重量の20%を超える場合はVTやVF,あるいは心臓突然死の発生リスクが有意に増大するため,植込み型除細動器(ICD)の植込みの推奨クラスはⅡaとしており,LGE MRIの重要性を示している。
図1 LGE定量解析:陳旧性心筋梗塞
図2 LGE定量解析:拡張型心筋症
図3 LGE定量解析:心サルコイドーシス
2.心筋MRI マッピング解析
Abierto Visionでは,MRI T1マッピングにて定量的な心筋組織性状評価が可能であり,Native T1 timeと細胞外液分画(extracellular volume fraction:ECV)の2つの指標が得られる。心筋固有のT1値であるNative T1 timeでは心筋のダメージの程度や蓄積物質を,ECVでは間質の拡大を,それぞれ評価可能であり,LGE MRIでは検出が難しいびまん性心筋線維化(障害)を定量的に評価できる。なかでも,心アミロイドーシスはNative T1 timeとECVがいずれも著明に高値となり,逆にファブリー病ではいずれも低値となる。ほかの心筋症とのオーバーラップも少ないため,この2つの疾患の鑑別には特に有用である。
図4は,Abierto VisionによるMRI T1マッピングの解析画面であるが,ヘマトクリット値を入力すると,Native T1 map,造影後T1 map,ECV map,ECV bull’s eye mapが表示される。ECVの値は造影前後のT1値とヘマトクリット値から算出されるが,正常値が20〜30%であるのに対し,本症例では40%を超える異常高値であり,心アミロイドーシスが疑われた。ピロリン酸シンチグラフィも陽性であり,心筋生検の結果,ATTR型心アミロイドーシスと診断された。MRI-ECVの心アミロイドーシスに対する診断能は,感度,特異度共に9割近いことが報告されているが,本症例においても診断に非常に有用であった。
図4 MRI T1マッピングによる心筋組織性状の評価
心臓CT解析
心臓CTにおいては近年,冠動脈周囲の脂肪組織のCT値の平均値から算出されるfat attenuation index(FAI)が注目されている。動脈硬化によって冠動脈周囲に炎症が生じると,脂肪細胞のサイズの減少や浮腫,間質拡大などが生じ,それが進展すると心筋梗塞に至るが,FAIはその前段階の早期の動脈硬化性変化(炎症)をとらえる指標である。欧米の大規模臨床研究では,FAIが−70.1HU以上では心臓死の高リスクであることが示されている。また,FAIは,既存のリスク因子と独立したリスク因子であり,ハイリスクプラークの性状にかかわらず心血管イベントを予測できるため,冠動脈疾患のリスク層別化に有用な新しい画像マーカーであることが期待されている。
一方,FAIは新しい技術であるため,右冠動脈(RCA),左冠動脈(LCA),左前下行枝(LAD),左回旋枝(LCX)のどれを解析するべきかが定まっていない。われわれが行ったメタ解析では,LADもしくはRCAが予後予測に有用であることが示唆された1)。
Abierto Visionを用いて心外膜脂肪解析を行ったところ,脂肪組織の体積がわずか2〜3分で簡便に算出された。FAIの画像も数分で表示でき(図5 左),ヒストグラム解析も行えるため(図5 右),CT値の平均値はもとより,将来的にはCT値のバラツキも指標として役立てられるようになると考えている。
図5 心臓CT解析におけるFAIの画像(左)とヒストグラム解析(右)
まとめ
Abierto Visionは,心臓MRIおよびCTの基本的な解析をおおむね網羅しているため,臨床に有用である。操作も直感的に行えるため,誰でも簡便に解析処理を行うことができる。MRI-ECVの評価やCTによるFAIの計測も可能で,研究にも活用できる。さまざまなソフトウエアを用いて解析を行うことで,MRIやCTのポテンシャルを最大限に引き出し,診断やリスク評価に役立てられる意義は大きいと考える。
*記事内容はご経験や知見による,ご本人のご意見や感想が含まれる場合があります。
*システムによる検出結果のみで病変のスクリーニングや確定診断を行うことは目的としておりません。
*AIは設計段階で用いられており,自己学習機能はありません。
●参考文献
1)Kato, S., et al., Hellenic J. Cardiol., 67 : 73-75, 2022.
加藤 真吾(Kato Shingo)
2005年 横浜市立大学医学部卒業。神奈川県立循環器呼吸器病センター,三重大学を経て,2014〜2015年 ハーバード大学メディカルスクールBeth Israel Deaconess Medical Center留学。その後,神奈川県立循環器呼吸器病センター循環器内科を経て,2022年 横浜市立大学放射線診断科講師。2024年〜同准教授。医学博士,循環器内科専門医,放射線診断専門医。
- 【関連コンテンツ】
