頭部領域の臨床応用
樋渡 昭雄(九州大学病院放射線部)
<Clinical of Aquilion ONE/ViSION Edition>
2013-10-25
九州大学病院では,2012年に320列ADCT「Aquilion ONE/ViSION Edition」を導入し約1年が経過した。本講演では,当院における頭部領域での初期使用経験について報告する。
Aquilion ONE/ViSION Editionの特長
Aquilion ONEは,“1回転,1フェーズ,1ボリューム”で撮影することで,大幅な被ばく低減を実現し,造影ムラや位相ずれのない画質の提供,形態と機能画像診断の融合を可能にした。特に,頭部領域の画像診断においては,きわめて有用性の高いCTと言える。
当院で導入した第2世代のADCTであるAquilion ONE/ViSION Editionは,新しい検出器ユニットを備え,X線出力は90kW,スキャン時間も1回転0.275秒に向上している。ガントリ開口径は78cmとワイドになり,再構成時間も毎秒50画像,ボリュームでは5秒と,大幅に短縮され高速化しているため,ボリュームデータの解析もストレスなく行うことができる。
脳神経領域のVolume CT DSAにおいては,座標精度,撮影軌道はそれぞれ完全に一致する(図1)。また,骨だけでなくクリップやコイルによるアーチファクトも除去することができ,患者さんの動きに対する位置合わせも自動で補正するなど,診断に最適な高精細画像を得るためのさまざまな機能が搭載されている。
図1 脳神経領域のVolume CT DSA
(東芝メディカルシステムズ社提供)
脳腫瘍や虚血性疾患などのDynamic Volume scanでは,最初は間欠的に,その後はさらに間隔を開けて撮影し,被ばく線量を低減することが可能である(図2)。また,血流に富んだAVM(脳動静脈奇形)やAVF(脳動静脈瘻)などの病変を精査する時には,時間分解能を重視し,連続で撮影することができる。Aquilion ONEではヘリカルスキャンに比べて,スキャン方法や時間分解能を目的に応じて自由に設定することができるため,被ばく線量の低減と時間分解能の両立が可能となった。
図2 脳神経領域のDynamic Volume scan
(東芝メディカルシステムズ社提供)
アプリケーションも充実しており,オプションのNeuro packageとしては4D-DSA,4D-Perfusion,4D-Fusionが用意されている。また,4D viewerでは,MPRや3D画像なども快適に作成できる。
文献から考察するAquilion ONEの有用性
当院は,大学病院としては320列ADCTの導入が遅かったため,先行する施設での臨床応用の実際について文献で検討を行った。2011年にNeuroradiology誌に発表されたPeter W.の論文によると,AVMの検出ではDSAより4D-CTAの方が有用であり,シャントもきわめて正確に診断できたと報告されている1)。DSAと比較して被ばく線量が少ないことも,利点として挙げられていた。
また,2011年のNeurosurgery誌における藤田保健衛生大学の論文では,脳動脈瘤の拍動まで観察できると報告されていて衝撃的であった2)。特に,破裂動脈瘤において,動脈瘤の拍動箇所と出血箇所が一致しているとのことから,脳動脈瘤コイル塞栓術の際のブレブの評価などに有用ではないかと思われる。
診断に大きく寄与した一例
当院における1年程度の経験の中で,臨床科との見解の不一致で診断に苦慮した際,Aquilion ONEの有用性を実感させられた症例を報告する。
症例は80歳代の女性で,数日前から異常行動があり,痙攣,失語も伴っていた。
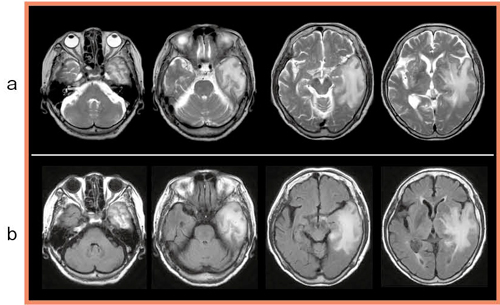
MRIのT2強調画像では,左側頭葉に広範なT2延長域があり,脳ヘルニアを起こしている状態であった(図3a)。FLAIRの画像でも,腫脹を伴う広範な左側頭葉の病変が認められる(図3b)。
T1強調画像と造影後の画像では,病変はT1延長を呈するところが主体となっているが,一部出血を思わせる高信号域が認められた。造影後のT1強調画像では,側頭葉の底部が主に増強されていた。
拡散強調画像(DWI)およびADC mapでは拡散制限は強くなく,脳外科医は神経膠腫と判断していた。
T2*強調画像では,微小な出血が確認された。術前のルーチンで造影後MRAを撮像したが,圧排はあるものの,主幹動脈などに特に問題は認められなかった。
図3 症例の頭部MRI画像
a:T2強調画像
b:FLAIR
脳外科では脳腫瘍疑いで,急速に進行していることからすぐにも手術を行うとの見解であったが,疑問の残る点もあった。図4aをよく見ると,左の横静脈洞からS状静脈洞にかけ,flow voidが消失している(←)。しかし,左S状静脈洞には,増強欠損域はなかった(図4b←)。
図4 症例の頭部MRI画像
a:左の横静脈洞からS状静脈洞にかけ,flow voidが消失している(←)。
b:造影後T1強調画像では,S状静脈洞に増強欠損域は認められない(←)。
これらのMRIの所見からは,静脈洞血栓症と診断するには説得力が不足しているため,Aquilion ONEによるCT撮影を行うこととした。
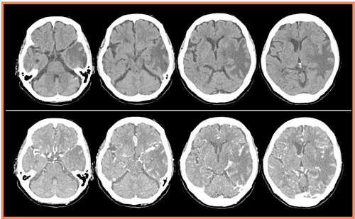
通常の単純撮影と造影CTの画像(図5)では,MRI以上の情報は認められないが,ボリュームキャンでCTA(図6)を行ったところ,左横静脈洞からの頸静脈にかけて,順行性の血流がないことが確認できた(↓)。CTを行うことにより,静脈性の梗塞という診断を確定することが可能になった。その後,保存的に加療され,1年経過した現在も患者の予後は良好である。
図5 症例をAquilion ONEで撮影
a:単純CT画像(上段)
b:造影CT画像(下段)
図6 症例のAquilion ONEによるCTA画像
CT Perfusionデータに基づく脳血管CTAにおける動静脈分離の至適撮影タイミングの検討
当院の放射線部(白坂 崇技師)では,脳血管のtime density curve(TDC)を作成し,脳血管CTAにおける動脈相と静脈相を分離するための至適撮影タイミングについて研究を行った。
2012年4月から9月の間に脳腫瘍の術前検査として全脳CT Perfusion撮影を行った42名(男性21人,女性21人)の健側のデータを用いて検証した。対象は16~91歳,平均年齢は55.9歳であった。造影剤の注入レートは10秒で固定し,注入量は毎秒24.5mgI/kgとした。
動脈は健側の内頸動脈終末部,静脈は上矢状静脈洞の底部にROIを置き,それぞれCT値を計測してTDCを作成した。TDCグラフから動静脈それぞれの注入開始からの造影剤到達時間,最大濃染到達時間を算出する。CT値が150HUに達したところで,その血管に造影剤が到達したと判定した。
心拍出量などを考慮せず解析を行ったところ,当院のプロトコールで,動脈,静脈とも十分な最大CT値が得られることが確認された。注入時間は一定だが,造影剤が目的の血管に到達する時間やピークに達する時間は,動脈・静脈とも当然ながら大きな個人差がある。通過時間にはあまり差はないと考えられ,造影剤到達から最大濃染に至る時間は動脈,静脈ともおよそ9秒と,造影剤の注入時間10秒とほぼ一致した。
造影剤が動脈に到達してから,静脈に到達するまでの到達時間差は,およそ6秒であった。最大濃染についても,動脈と静脈の時間差はおよそ6秒であった。
造影剤は動脈に到達してから6秒後に静脈に到達し,それぞれピークに達する時間も推定可能だと思われたことから,当院においては,CTAを1回で撮影する際に,このデータを至適撮影タイミングの目安にすることを考えている。
本研究は2点のみでの評価であり,現在,全脳での評価について検討中である。
●参考文献
1)Willems, P., et al. : The use of 4D-CTA in the diagnostic work-up of brain arteriovenous malformations. Neuroradiology, 54, 123〜131, 2012.
2)Hayakawa, M., et al. : Detection of pulsation in ruptured and unruptured cerebral aneurysms by electrocardiographically gated 3-dimensional computed tomographic angiography with a 320-row area detector computed tomography and evaluation of its clinical usefulness. Neurosurgery, 69, 843〜851, 2011.
