IVR領域の臨床応用(IVR-ADCT)
新槇 剛(静岡県立静岡がんセンターIVR科)
<Clinical of Aquilion ONE/ViSION Edition>
2013-10-25
静岡県立静岡がんセンターでは,がん専門施設としていち早く2008年に320列ADCTを導入し,腹部領域のがんの診断における臨床経験を重ねてきた。さらに2013年4月に,320列ADCTを搭載した世界初のIVR-ADCTを導入した(図1)。IVR-ADCTの臨床応用について,腹部での血管造影下CTおよびCT下穿刺での有用性と,今後の期待について報告する。
図1 320列ADCTを搭載したIVR-ADCT
世界初のIVR-ADCTによる腹部領域への応用
IVR-CTは,1992年の愛知県がんセンターでの稼働を嚆矢として,肝細胞がん(HCC)の血管造影下CT撮影およびCT下穿刺などに利用されている。このIVR-CTに320列のADCTを搭載することで,血管造影下CTにおける3D-CT撮影,あるいはそれに時間軸を加えた4D-CT撮影,さらにPerfusion Imageによる新たな知見が期待される。
血管造影下CT
1.4D-CTによるHCCのdrainage veinの確認
HCCでは,さまざまな転移,再発を経験するが,治療後の予後予測には,結節からのdrainage veinを把握することが重要である。大きな結節のdrainage veinについて,DSAでは確認できなかった症例が,IVR-ADCTの3D,4D-CT撮影により,肝静脈であることが確認できた(図2)。ADCTは濃度分解能が高く,かつ,ボリュームの4D撮影によって,血行動態を任意の方向から確認できるため,DSAでは造影効果の低いdrainage veinの描出も可能となる。本症例のように,肝静脈へのドレナージが把握できれば,今後,転移・再発形式の予測,それによる治療法の変更などが可能となる。例えば,門脈にドレナージされる場合には,肝内転移を考慮する必要があり,一方,肝静脈にドレナージされる場合は,肝外転移の可能性を考慮する必要があるなど,治療の予後予測にも有用と考えられる。
図2 4D-CTによるHCCのdrainage veinの描出
肝静脈(↓)がdrainage veinであることがわかる。
2.4D-CTによる動注リザーバー療法での薬剤分布の確認
当センターでは,肝臓がんに対する動注リザーバー療法を行っている。本療法では,抗癌剤の薬剤分布が重要な要素となる。このfirst pass effectを確認するため,CTによるフローチェックを行っている。
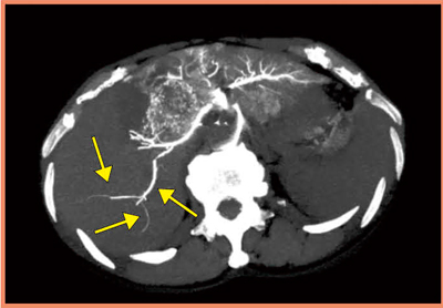
大腸がんの肝転移症例(図3)では,3D-CTAにおいて背側の結節まで濃染され,薬剤の肝内分布も良好に見えたものが,4D-CTAにおいて背側の結節に向かう血管内で血流が押し戻されている様子が確認できた。リザーバーからの抗癌剤注入は,CT撮影時の造影剤の圧入と異なり,スローインフュージョンとなるが,このような状況下では十分な薬剤分布が得られていないと考えられた。実際に,背側部では治療効果が得られず,ADCTの4D撮影によるフローチェックによって,薬剤効果の判定が可能になると考えられる。
図3 4D-CTによる大腸がん肝転移症例の動注リザ―バー療法での
フローチェック
背側側に向かう血管の血流が押し戻されている様子が描出された(→)。
3.肝細胞がんのPerfusion Imageによる血流把握
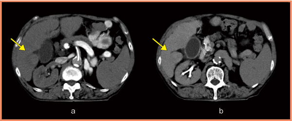
図4は,肝細胞がん症例だが,上腸間膜動脈(SMA)から行った経動脈的門脈造影下CT(CTAP)では,造影剤は脾静脈に流れて肝内には到達せず,HCCは描出されていない。同様に経肝動脈的造影CT(CTHA)でも,あまりコントラストは得られなかった。これらの画像から,HCCは乏血性であることが考えられ,TACE以外の治療法の選択が考慮されたが,CTHAのPerfusion Imageでは,周囲の肝実質よりも豊富な血流を持っていることが確認できた(図5)。TACE実施後のリピオドールCTでは,良好なリピオドールの集積を認めた。
図4 肝細胞がんのCTAP(a)とCTHA(b)
結節(→)は濃染せず,乏血性と思われた。
図5 図4の症例のPerfusion Image
肝実質よりも豊富な血流があることがわかる(→)。
4.IVR-ADCTにおける造影剤使用量と被ばく低減について
血管造影下のCT撮影は,検査の繰り返しによる造影剤の使用量や被ばくの問題が懸念される。実際に,4列のIVR-CTと320列のIVR-ADCTについて,CTAPとCTHAの撮影条件を比較した(図6)。スキャンモードは,4列はヘリカル,320列はボリュームで撮影している。撮影タイミングは,320列はCTAPについては若干遅めに設定しているが,これはADCTによるスキャン時間の短さを考慮している。造影剤の総注入量に差はないが,被ばく量はADCTの方が少なくなっている。CTAPでは,SMAから注入して静脈の還流を撮影するため,造影剤量の低減に限界があるが,CTHAではスキャン時間の短縮が造影剤減量に直結する。4列と320列では空間分解能の違いもあり,320列では造影剤濃度は150から100mgl/mLに,注入量はCTHAで30mLから15mLに下がり,被ばく線量(CTDIvol)も低減されている。
図6 4列IVR-CTと320列IVR-ADCTにおける撮影条件比較
また,IVR-ADCTのCTAP,CTHA撮影時におけるボリュームスキャンとヘリカルスキャンの比較(図7)では,撮影タイミングや造影剤の使用量に大きな違いはないが,被ばく線量(DLP)は低減されている。16cmを超える肝臓については,従来はヘリカルスキャンで撮影していたが,現在はワイドボリュームスキャンを使用して,さらなる被ばく低減に努めている。
図7 320列IVR-ADCTにおけるボリュームスキャンとヘリカルスキャンの比較
リアルタイムMPRによるCT下穿刺への期待
IVR-CTの当初の開発ターゲットは血管造影下のCT撮影だったが,現在ではCT下穿刺のツールとしての有用性が高い。身体深部の腫瘍,膿瘍に対する生検やドレナージでは,超音波装置では描出が困難なため,CT下で行われることが多い。しかし,CT下穿刺はアキシャル画像が基本となっている。
深部に膿瘍腔がありドレナージがオーダーされた症例に対し,経胸的なアプローチでは合併症が懸念されたため,CT下で経腹的な穿刺を行った。CT透視で,アキシャル画像を少しずつ動かしながら,針先を確認してガントリを移動し,位置が違った場合には針とガントリを戻して,もう一度進めるというようにステップ・バイ・ステップで穿刺を行い,所定の位置にドレナージすることができた。
このような手法について,将来的にADCTによるリアルタイムのMPR画像を取得できれば,ボリュームデータをガイドとしたより安全な穿刺が可能になると考えている。
まとめ
320列ADCTのIVRへの応用は,心血管領域や脳神経領域のみならず,腹部領域においても有用性が高いと考えられる。IVR-CTが血管造影下撮影の領域を越えて使用されている現在,IVR-ADCTも従来の枠を越えた活用が期待される。
