Dual Energy技術の現状と今後の可能性
立神 史稔(広島大学病院放射線診断科)
<Technology of Area Detector CT>
2013-10-25
本講演では,Dual Energy Imagingについて概説し,今回新たに開発された生データベースの解析ツールについて,臨床症例を交えて報告する。
Dual Energy Imagingの現状
Dual Energy CTは,物体を異なる2種のエネルギー(管電圧)で撮影し,エネルギーごとの物質吸収係数の違いから物質の弁別,または基準物質画像を作成して,さまざまな解析を行う技術である。具体的には,物質弁別解析,ヨード強調画像,仮想非造影画像,実効原子番号解析,電子密度解析などである。解析の必要条件は,異なる2種のエネルギーで撮影されたデータが時間的,空間的に同一データであることである。つまり,(1) 2回の撮影時間差がないこと,(2) 管球の軌道がそろっていることが必要である。さらに,(3) 2種のエネルギーの差を大きくすること,(4) 同等のノイズ量となるよう線量を調節することも重要である。
Aquilion ONEでは,ボリュームスキャン,ヘリカルスキャンによるDual Energy Scanおよび解析が可能である。ボリュームスキャンでは,135kVと80kVの電圧を最短0.2秒以下で切り替えることができる。ヘリカルスキャンでは,背面曝射モードによる乳腺の被ばくを低減する技術が搭載されている。解析は,画像ベースと生データベースの大きく2種類に分かれる。Aquilion ONEでは,ボリュームスキャンデータを用いた生データベースの解析が行えるようになった。
生データベースによる解析
生データベースの解析では,2種のエネルギーで収集したカウント値上(生データ上)にて計算処理を行う。人体を水と骨や水とヨードといった2種の物質から成る混合物と仮定し,それぞれの含有量をDual Energy Scanで収集した2種のカウント値(生データ)から算出する(図1)。物質の質量減弱係数は既知であり,算出された含有量と組み合わせることで,任意のエネルギーにおけるCT値が求まり,仮想単色X線画像(keV画像)を作成することができる。この仮想単色X線画像を用いたAquilion ONEのさまざまな解析ツールについて,ファントム実験による精度の検証を行った。
図1 生データベースによるDual Energy解析
1.ビームハードニング効果の改善
高吸収体(CT値1000HU程度のヨード)2本を水中に封入したファントムをSingle Energyで撮影すると,2本のシリンジの間に強いビームハードニングアーチファクトが見られる。一方,生データベースのDual Energy解析による仮想単色X線画像では,本アーチファクトの影響が大きく改善されていることがわかる(図2)。
図2 ビームハードニング効果の検証
2.Best CNR
仮想単色X線画像を用いて,関心領域における最もコントラストノイズ比の良い画像(Best CNR)を作成することができる。画像ベースと生データベースの解析結果を比較すると,生データベースの方が約5%,CNRが向上していた。これは,高吸収体におけるビームハードニングアーチファクトが低減され,対象物のCT値が正確に測定できたためと考えられる。
3.仮想非造影画像
脂肪と7種の濃度のヨード造影剤を水に封入したファントムの評価では,ヨード強調画像,仮想非造影画像ともに,生データベースによる解析の方が良好な結果を示した。生データベースの解析では,アーチファクトの影響が改善されており,仮想非造影画像におけるCT値の精度が向上していた。
4.実効原子番号,電子密度
Aquilion ONEの生データベースの解析ツールでは,対象の実効原子番号と電子密度を求めることができる。実効原子番号についてファントム内の脂肪と水を測定すると,それぞれ5.45,7.31と,脂肪の真値5.92,水の真値7.42に近い値を示した(図3)。ヨードは,濃度が高くなるほど高い値を示した。電子密度についても,脂肪が3.11,水が3.35と,それぞれ真値の3.09,3.34に近い値を示した(図4)。
図3 実効原子番号画像
図4 電子密度画像
臨床症例提示
1.ビームハードニング効果の改善
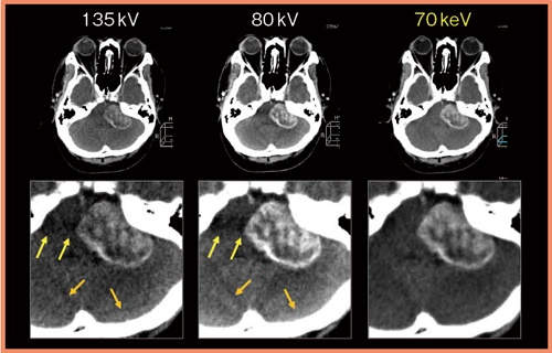
図5では,左小脳橋角部に腫瘍が認められるが,頭蓋底における帯状のビームハードニングアーチファクトと重なっている。仮想単色X線画像(図5右:70keV)を作成することで,画質を低下させることなく,アーチファクトを改善することができた。
図5 ビームハードニング効果の比較
2.Best CNR
図6は,左頭頂部に転移性腫瘍があり,周囲に出血を伴った症例である。35〜135keVまでの仮想単色X線画像を作成し,その中から腫瘍と実質のCNRが最も良い画像をBest CNRツールにより作成した。各keVに対するCNRの値をグラフで表示することができ,本症例では63keVがBest CNRであった。
図6 仮想単色X線画像,Best CNR
3.物質弁別(Material Decomposition)
腫瘍,出血,脳実質にROIを置き,各keVに対するCT値特性をグラフ化した。腫瘍は造影剤の影響により,keVが低くなるほどCT値が上昇し,出血や脳実質とは異なる傾向を示した。
4.仮想非造影画像
仮想非造影画像について,画像ベースと生データベースの画像を比較した(図7)。生データベースでは画像ベースよりもノイズが低減されており,SDは11.6に対し8.4と改善した。また,CNRも2.0から3.5に向上した。
図7 仮想非造影画像の比較
5.実効原子番号,電子密度
骨,出血,腫瘍にROIを設定し,実効原子番号画像を作成した(図8)。
骨の測定値は12.67で,真値の13.8と近い値を示した。出血は6.75で水(7.42)よりも低い値となった。また,腫瘍は8.69であるが,これはヨード造影剤の影響を受けており,原発巣や悪性度によって変化する可能性がある。
図8 実効原子番号画像
電子密度について,骨の測定値は5.12となり,出血(3.70)や腫瘍(3.58)よりも高い値を示した(図9)。出血と腫瘍は,水の電子密度(3.34)に近い値を示した。電子密度画像は,臨床画像から直接電子密度を算出できるため,放射線治療計画において,より精度の高い線量分布図を作成できる可能性がある。
図9 電子密度画像
まとめ
Aquilion ONEにおけるDual Energy技術の特長は,1回転で16cmのボリュームデータを収集できること,管電圧ごとに管電流を変調できること,AIDR 3Dを併用可能なことなどである。さらに,電子密度画像を作成できることも特長であり,今後の臨床応用が期待される。
