消化管領域への応用
安田貴明(長崎県上五島病院 放射線科)
<Technology of Aquilion PRIME>
2013-12-25
長崎県上五島病院は,九州の西端に位置する人口2万1000人の新上五島町における地域医療,救急医療,在宅医療,健診を担い,医療・福祉・保健の統合をめざして活動している。
2013年3月に,CT装置を「Aquilion 16」から超高速型80列CT「Aquilion PRIME/Beyond Edition」に更新した。当初,64列以上の装置に更新の際は,検査室の拡張が必要と言われていたが,Aquilion PRIME/Beyond Editionは長寝台でありながらAquilion 16よりもコンパクトで,検査室を拡張することなく設置することができた。
本講演では,Aquilion PRIME/Beyond Editionの大腸CTへの応用について報告する。
高速撮影
Aquilion PRIME/Beyond Editionの最大の特長である高速撮影は,息止め困難な受診者の検査を可能にし,適応の幅を広げることから,大腸CTにおいても非常に有用である。この高速撮影を可能にしているのが,view数の増加である。通常,ルーチンで使用している0.5s/rotの撮影では,64列(Aquilion/CXL Edition)では900viewであるのに対し,Aquilion PRIME/Beyond Editionでは1200viewとなる。64列と同じview数を維持するならば,0.35s/rot撮影が可能となる。この高速撮影は,部位を問わずに全身領域に適用でき,腹部全域を約3秒で撮影できる。
大腸CT検査の実際
大腸CT検査は他の検査と比べ,難しい手技を必要としない点が特徴である。当院でも過度な体位変換は行わず,ほとんど左側臥位で送気を行い,仰臥位で1体位目の撮影を行う。十分な拡張が保たれていれば,そのまま左側臥位から腹臥位として,大腸CTマットを外して2体位目の撮影を行う。この時,身体がFOV中心にならないこともあるため,寝台を左右移動機能で調整して撮影する。検査時間は,入室から退出まで15〜20分であり,非常に簡便な検査だと言える。
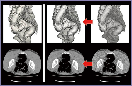
■症例1:HP111での撮影(図1)
当院では通常,術前の大腸CTにヘリカルピッチ(HP)65を使用しており,撮影時間は7.4秒となる。16列装置と比べると約半分の時間となっているが,さらにHP111を使用することで,撮影時間を4.5秒にまで短縮することができた。
また,AIDR 3Dを使用して線量を低減しているが,病変部位を十分に指摘でき,アキシャル画像においても遜色のない画像を得ることができた。
図1 症例1: HP111での大腸CT
撮影時間を4.5秒に短縮可能
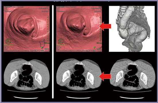
■症例2:HP111と0.35s/rotの併用(図2)
HP111と0.35s/rotを併用した高速撮影の例を示す。症例2では,仰臥位で病変が残液内に埋もれているが,水溶性造影剤でタギングされているため,病変の指摘が可能である。通常の撮影条件では,撮影に7.4秒を要するが,高速スキャンを用いることで約3秒での撮影が可能で,内腔像で残液に埋もれた病変を明瞭に描出できた。コロナル画像も遜色のない画像を得られた。
図2 症例2:HP111と0.35s/rotの併用
撮影時間は約3秒
大腸CT検査の精度
大腸CTの精度で必要なものとして,2点の解析を行う。1つは病変ベースの解析(Per-Lesion)で,ポリープや表面型病変などを大腸CTで指摘できるかという,1つ1つの病変に対する精度である。もう1つは症例ベースの解析(Per-Patient)で,病変の数は関係なく,受診者がポリープなどの対象病変を持っているかどうかを判断するものである。大腸CTは,病変の有無を判断し,大腸内視鏡検査につなげるスクリーニング検査と考えているため,当院では症例ベースでの解析を重要視している。
大腸CTの精度を検証する日本初の大規模多施設共同臨床試験JANCT(Japanese National CT Colonography Trial)が2009年から行われ,全国14施設の中の1施設として当院も参加した。JANCT は大腸CTと大腸内視鏡検査の両方を実施して,6mm以上の病変に対する精度検証を実施した。
病変ベースの解析では,6mm以上の病変で,感度82%,陽性的中率84%という結果であった。一方,症例ベースの解析では,6mm以上で感度87%,特異度92%,10mm以上では感度91%,特異度98%と,大変良好な成績を示した。大腸CTは,治療を必要とする患者を内視鏡検査につなげることが十分にできるものと考えられる。
表面型病変の描出
大腸CTの課題と言える表面型病変の症例を2例提示する。
■症例3:46歳,女性
便潜血検査陽性で大腸内視鏡検査を施行したが,異常なしとされた。しかし,同日に施行した大腸CTにおいて,肝彎曲部に30mm程度の表面型病変が指摘され(図3a),後日,再度内視鏡検査を行った。大腸CTで指摘された部位を何度も往復してようやく同様の病変を指摘し(図3b),ESD(内視鏡的粘膜下層剥離術)を施行した。
図3 症例3
a:大腸CTの内腔像 b:内視鏡像
■症例4:56歳,男性
便潜血検査陽性で,大腸CTを施行した(図4a)。前処置,拡張も良好で,正常と判断されたが,同日に行われた内視鏡検査において,下行結腸に表面型病変が指摘された(図4b)。
大腸CT検査は,表面型病変の描出については課題もあるため,表面型病変に対する大腸CTの精度について,当院で検討を行った。2008年11月〜2013年1月までに,当院で大腸CT施行後に全大腸内視鏡検査を行った484症例中,内視鏡的に10mm以上の表面型病変で,病理学的に腺腫ならびに癌と診断された27症例32病変を対象とした。病変の分布に偏りはなく,肉眼形態はⅡa型がほとんどであった。
病変ベースの解析では,感度は63%,陽性的中率は91%となり,表面型病変の検出率は十分とは言えない結果となった。
これを病理別に見ると,病変ベースの解析では,癌の感度は71%,腺腫では56%と,腺腫よりも癌の感度が高い傾向にあった。
さらに,病変の深達度別でも検討した。症例の深達度は,粘膜層(M)が84%(n=27),粘膜下層(SM)と固有筋層(MP)が合わせて16%(n=5)であった。これを病変ベースで解析すると,Mが感度56%であるのに対し,SM以深は100%となり,SM以深では十分に病変を指摘できる結果となった。
症例数が少なく,表面型病変というきわめて限定的な病変を対象にした検討であるが,感度は今後検討の余地があると考えられる。しかし,癌や,なかでもSM以深の癌と診断される病変に対しては,十分に指摘できているという結果になった。
図4 症例4
a:大腸CT b:内視鏡像
低線量化(低被ばく)への取り組
当院におけるAquilion PRIME/Beyond Editionを用いた大腸CTの低線量化への取り組みとして,AIDR 3Dの検討を紹介する。
当院では通常,大腸CTの撮影条件をSD20に設定して撮影している。これをSD30に設定すると,画像はノイズが多く,診断に耐えうるものとは言えない。そこで,AIDR 3Dを用いると,SD20と遜色のない画像を得ることができた(図5)。
大腸CTでは内腔を観察するため,例えば対象とする病変を10mm以上に限るとすれば,さらなる低線量化が図れるものと考えられる(図6)。今後,大腸CTの低線量化を図り,精度検証も行っていきたい。
図5 AIDR 3Dによるノイズ低減(VR画像)
SD30/DLP=38.5mGy・cm/0.58mSv
図6 AIDR 3Dによるノイズ低減(内腔像)
SD30/DLP=38.5mGy・cm/0.58mSv
まとめ
大腸CTは,治療対象となる6mm以上の腺腫ならびに癌に対して良好な精度を示し,大腸がんスクリーニングの新たなモダリティとして期待される。われわれは,Aquilion PRIME/Beyond Editionを用いた質の高い大腸CT検査を活用して,離島地域の医療の向上をめざしていく。
