神経放射線とCT画像診断─国内CT導入40周年の変遷と最新4D-CTA
小野 由子(東京女子医科大学/ 海老名総合病院 放射線科)
東芝CT事業40周年記念講演
2015-12-25
1975年,東京女子医科大学にCTの国内第1号機となるEMIスキャナが導入されてから,2015年で40周年となる。日本で最初に導入されたCTを臨床検査として扱う機会を得た者として,神経放射線領域における画像診断の変遷を,最新の320列ADCTである「Aquilion ONE」による4D-CTAの活用を含めて述べる。
CT登場前の神経放射線領域の画像診断
CT登場以前の神経放射線領域の画像診断は,頭部・脊椎単純X線撮影を基本として,脳血管撮影,気脳撮影,脊髄撮影,核医学(脳・脳槽・骨・腫瘍スキャン)などが行われていた。
脳血管撮影では,X線フィルムを用いた連続撮影画像のネガとポジを重ねて骨を除いたマスク画像を作成し,造影画像と重ねることでサブトラクション画像を作成していた。気脳撮影(pneumoencephalography:PEG)は,椅子型・テーブル型の撮影台と回転断層撮影が一体になった撮影装置で,陰性造影剤(空気)を脳室・脳槽へ注入し,断層撮影でトルコ鞍部,前頭蓋底,後頭蓋窩などの検査を行っていた。空気による髄膜刺激があるために苦痛の多い検査であった。
気脊髄撮影(air myelography)は,後頭下と腰椎の2か所を穿刺して陰性造影剤(空気)を注入して髄液と置換し,断層撮影によって脊髄萎縮や硬膜内・硬膜外腫瘍などの診断を行う。air myelographyでは,検査中は当然であるが,検査後も空気が頭蓋内へ入るのを避けるために,2,3日間は頭部を下位に保つ必要があった。検査手技にも撮影にも高度の技術が必要で,患者にとっては苦痛が大きかった。当時用いられていた油性造影剤はクモ膜癒着のリスクがあり,ヨード造影剤は腰部神経根の検査に限って使用が可能であった。
日本初のCT装置の導入と最初のCT画像
1975年に国内のCT第1号機となるEMI社の「MK-1」が,東京女子医科大学脳神経センターに導入された(図1,2)。MK-1は,ガントリー部分に“ウォーターバッグ”が装備されており,水が入った袋を膨らませることで頭を固定すると同時に,X線管から発生したX線ビームが水の中を通ることで,X線の吸収値の違いによるアーチファクトを抑える効果があった。
MK-1での最初の症例は,手術予定だった悪性黒色腫の多発性脳転移の患者に対する造影CTだった(図3)。CTによって脳内の多数の腫瘍と周囲の浮腫が見られた時は,放射線科医や脳神経外科医が,初めて脳の内部を見た驚きの瞬間だった。その後,剖検された脳の標本と比べると,病態が進んで腫瘍が大きくなってはいるものの,CT画像の正確さが証明された。
MK-1は,3mm幅のペンシルビームで撮像面を水平に走査し,中心から1°ごとに180°変換して,24cm間を240点で吸収値を測定する方式で,画像マトリクスは80×80ピクセル,スライス厚は8/13mm,スキャン時間は4.5分,さまざまな補正をかけることで6分かかり,さらに画像再構成時間に約5分が必要だった。X線管電流30mA,管電圧は100/120/140kVpで撮影が可能で,当時すでに管電圧差の撮影を行うことで,出血か,石灰化かを判断する“デュアルエネルギー”解析を行っていた。
図1 東京女子医科大学脳神経センターに導入された
CTの国内第1号機となるEMI社製「MK-1」
図2 MK-1のコンソール一式
演算器は扇風機で冷却していた。
図3 1975年8月26日に撮影された
日本で最初のCT画像
1980年代以降の画像診断の急激な変化
1980年代に入ると,さまざまな技術開発によって画像診断に急激な変化が起こった。1981年に最初の非イオン性低浸透圧造影剤「Metrizamide」が発売され,脊髄液腔の造影撮影が可能になった。そしてCTだけでなく,DSAやMRIも含めて,それぞれが急速な進歩を遂げることになる。CTはヘリカルCTを経て,検出器の多列化や被ばく低減技術などが進んだ。MRIは,常伝導から超電導高磁場装置の普及が進み,さまざまな撮像法が登場した。このMRIの進歩がCTの技術開発を促し,三次元の解剖,機能,血流測定,そして,四次元の血行動態観察が可能になり,非侵襲性,安全性の確保につながっていった。
320列ADCTの4D-CTAによる脳静脈洞血栓症の診断
2011年に東京女子医科大学病院に導入された320列ADCT「Aquilion ONE」による4D-CTAについて紹介する。脳全体をボリュームCTとして連続的に撮像する4D-CTAは,低侵襲で容易に治療に必要な情報が得られ,DSAに代わる検査として期待される。同院において,導入から2012年までに行った初期の4D-CTA116例の内訳は,脳腫瘍90例,血管障害26例で,そのうち症候性の静脈洞血栓症は4例,無症候性静脈洞血栓症が髄膜腫の直接浸潤による閉塞の2例を含めて19例あった。また,4例に未破裂動脈瘤が見つかった。
脳静脈洞血栓症は,他の深部静脈血栓症と同様に最近は増加傾向にある。脳静脈洞内に血栓が形成されると,静脈うっ滞による脳浮腫,頭蓋内圧亢進が急激に進行し,重篤な転帰をとることが多い。ただし,十分な静脈性副血行路ができれば無症候性で経過することも少なくない。原因は,凝固能亢進状態,副鼻腔・錐体骨の炎症,ウイルス感染症,硬膜動静脈瘻,髄膜腫の静脈洞への進展または圧排などで,そのほか原因不明なものも多い。MRAで静脈洞が高信号の場合は静脈洞血栓症,硬膜動静脈瘻,静脈逆流の可能性があり,その鑑別と静脈性副血行路の把握は4D-CTAで可能となった。
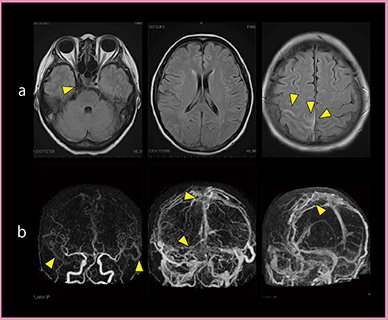
症例1は,激しい頭痛と動眼神経麻痺で来院した50歳代女性で,MRIのFLAIRでは右海綿静脈洞内に内頸動脈以外にflow voidが見られた。右頭頂葉皮質から皮質下と両側前頭葉皮質の一部,上矢状静脈洞内に高信号が認められ,静脈洞血栓症を疑った(図4a)。4D-CTA(図4b)では,動脈相から肥大した皮質静脈が早期に出現し,右海綿静脈洞付近と上矢状洞周囲で著しい。上矢状洞,静脈交連,横静脈洞に不整な欠損が見られる。MRIのFLAIRで見られたflow voidは,右側の海綿静脈洞周囲の動静脈シャントを見ていると考えられた。
症例2は,一過性脳虚血発作(TIA)後に来院。MRIのT1,T2,FLAIRでは左内頸静脈に高信号が見られるが,flow in effectの可能性があり,これだけで血栓と確定することはできない。この症例では,MRAで動脈には狭窄を認めず,左内頸静脈と海綿静脈洞から上錐体静脈洞に高信号が見られた(図5)。MRAで静脈が描出される場合には静脈逆流の可能性が多いと言われており,実際に多くの症例を経験するが,その中に無症候性静脈血栓症が含まれていることも少なくない。4D-CTAでは動脈相には異常がなく,静脈相では左横静脈洞の描出が悪く,S状洞から下は描出されず,静脈洞血栓症と診断された(図6)。
図4 症例1:静脈洞血栓症
a:MRI(FLAIR) b:Aquilion ONEの4D-CTA
図5 症例2:TIAを伴う静脈洞血栓症(MRI)
図6 症例2の4D-CTA
a,b:動脈相 c:静脈相 d:静脈相のVR画像
まとめ
CTの登場は,神経放射線領域をはじめ,すべての領域の画像診断を大きく変えた。40年間の進歩によって確立された安全で低侵襲なCT診断は,CT登場前の画像診断を基本として,患者の長い間の忍耐,研究者の探究,企業の努力によって達成されたと言える。しかし,ここがゴールではなく,50周年に向けた,より安全性,確実性が高いCT装置の開発を期待したい。
- 【関連コンテンツ】
