Area Detector CTを用いた膵臓Perfusion
小林 達伺(国立がん研究センター東病院 放射線診断科)
Session 1
2015-12-25
2006年に256列ADCT試作機を試用する機会があり,膵臓Perfusion解析を当時から行っていた。その後,2007年に320列ADCT「Aquilion ONE」が発売され,当院には2008年4月に導入された。2009年9月から,Aquillion ONEを用いた臨床試験を開始し,肝臓や膵臓のPerfusion解析などの研究を行ってきた。また,同時進行でADCTに関する東芝メディカルシステムズとの共同研究も行っている。本講演では,2015年に当院の杉本らが発表した論文1)の内容を中心に,ADCTを用いた膵臓Perfusion解析について報告する。
320列ADCTによるPerfusion解析
ADCTでは,ボリュームスキャンが可能になったことにより膵臓の撮影において,主膵管に沿った断面を再構成して描出するcurved planer reformation(CPR)などの画像を得ることができる。Perfusion画像についても三次元的なデータ収集が可能で,CPRの断面に合わせたPerfusion画像を作成して観察することが可能になる。
Perfusionとは,臓器の単位体積・単位時間当たりの血流量を反映したものである。何らかの異常が起きた臓器では血流量の変化が発生するため,Perfusion解析によって,病態の評価に重要な情報を提供することができると考えられている。Perfusion解析の方法には,maximum slope法,compartment model,deconvolution法の3種類があるが,われわれは最小二乗法と呼ばれるcompartment modelを使用している。compartment modelでは,動脈血流量と同時に血液通過時間が計測可能である。
320列ADCTによる膵臓Perfusionの研究
1.膵頭十二指腸切除術後の膵液瘻
術後膵液瘻(postoperative pancreatic fistula:POPF)は,膵頭十二指腸切除術後に起こる合併症で,時に重症化することもあり,そのリスクを術前に評価することが術後管理を行う上で重要になる。POPFは,international study group of postoperative pancreatic fistula(ISGPF)で,ドレーンの排液量にかかわらず,血清アミラーゼ値の3倍以上の排液アミラーゼ値が3日以上持続するものと定義されている2)。POPFの重症度分類としてドレーン留置のみで臨床症状がないものがGrade A,感染徴候はあるが保存的加療が可能なものをGrade B,腹腔内出血や敗血症を併発するなど,重篤な状態がGrade Cとされている2)。
2.膵臓Perfusionと膵液瘻の関連性
2012年3月から2013年2月までの20症例に対して,術前にAquilion ONEを用いて膵臓Perfusion(CTP)を施行し,膵液瘻との関連性を調べた。CTPの撮影条件を図1に示す。管電圧100kV,管電流60mA,安静呼吸下に造影剤注入6〜180秒後までの間に23回のボリュームスキャンを行った。23回の撮影で,effective radiation doseは9.72mSvとなっている。スキャンプロトコルを図2に示す。
Perfusion解析は,Aquilion ONEに搭載されている“Body Registration Software”と“Body Perfusion Software”を使用し,compartment model(最小二乗法)を用いて,arterial flow(AF:血流量),mean transit time(MTT:血液通過時間)について解析を行った。
Aquilion ONEのBody Registrationは,CTPの際に同時に使用される非剛体位置合わせのソフトウエアである。腹部のCTPでは安静呼吸下で撮影を行うが,臓器の自律運動や呼吸によって位置ズレや伸縮,ねじれなどが発生する。それに対して,ボリューム単位ではなくボクセル単位で変形させることで,精度の高い位置合わせを可能にする,CTPの解析・研究では欠かせないソフトウエアである。
図1 CTP撮影プロトコル
図2 CTP撮影タイミング
3.症例提示
膵液瘻のリスクを判断する指標の1つに,手術中に触診で判断する膵実質の硬度(soft pancreas,hard pancreas)がある。
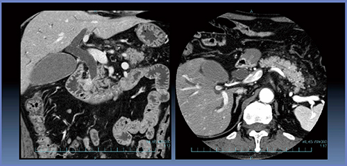
症例1は,下部胆管がんでsoft pancreasの症例である(図3)。Perfusion解析では,AF=110.4±9.3mL/min/100mL,MTT=8.8±0.7sとなっている(図4)。本症例では,術後10日目に膵液瘻による膵液貯留が認められ,CTガイド下ドレナージを施行し,Grade Bと判定された。
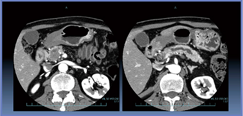
症例2は,膵頭部がんで術中にhard pancreasと判定され,術後膵液瘻なく経過した(図5)。Perfusion解析は,AF=37.4±3.0mL/min/100mL,MTT=41.7±2.3sとなった(図6)。
図3 症例1:下部胆管がん(POPF:Grade B)
図4 症例1のPerfusion解析
図5 症例2:膵頭部がん(no POPF)
図6 症例2のPerfusion解析
4.結果
全20症例中,POPFが起こった症例が11例,起こらなかった症例(no POPF)が9例だった。AFは,POPFで107±24.8mL/min/100mL,no POPF症例で37.1±19.3mL/min/100mL,MTTはPOPFで12.4±5.1s,no POPFで43±19.6sであり,どちらも統計学的に有意差が認められた。AFとMTTの関係をグラフにすると,POPFの症例はAFが高くMTTが低い傾向にあり,no POPFの症例はAFが低くMTTが高い傾向にあった(図7)。
さらに,組織学的な検討を行い,主膵管径(MPD ratio),脂肪(fat ratio),線維化(fibrosis ratio),血管密度を計測した。主膵管拡張がある場合にはPOPFが起きにくいという外科的なエビデンスがあるが,MPD ratioは,POPFで0.10±0.43%,no POPFで0.58±0.91%となり,同様の結果であった。また,fibrosis ratioはPOPF3.0±3.4%,no POPF13.8±11.1%となり,POPFが起こった症例では線維化の割合が有意に低かった。
組織学的な検討結果を基にPerfusionデータとの対比を行った。線維化の割合が低いとAFが高くMTTが低くなり,POPFが起こりやすい傾向が認められた。これにより,CTPデータと,POPF出現率,病理組織学的所見との間に関連性が認められた。
今回の検証によってPerfusion解析と従来からエビデンスのある主膵管拡張との結果が一致したこと,また,病理組織学的所見とも関連性が認められたことが,CTP研究の大きな進歩につながると考えられる。
図7 Perfusion解析結果1)
まとめ
320列ADCTは,16cm幅の検出器で肝臓を含めた膵臓全体をカバーできることで,腹部Perfusion研究に関する可能性が大きく広がった。加えて,Body Registration Softwareで安定した臓器単位のPerfusion解析が可能になった。さらに,Perfusion解析の対象が,従来の脳,心臓領域から肺野,腹部領域に広がったことで関心を持つ研究者が増え,今後ますます発展していくことが期待される。
●参考文献
1)Sugimoto, M., et al. :Pancreatic perfusion data and post-pancreaticoduodenectomy outcomes. J. Surg. Res., 194・2, 441〜449, 2015.
2)Bassi, C., et al. :Postoperative pancreatic fistula ; An international study group(ISGPF) definition. Surgery, 138・1, 8〜13, 2005.
- 【関連コンテンツ】
