Area Detector CTを用いた心血管画像診断─治療方針につなげるCT診断を目指して
宇都宮大輔(熊本大学大学院 生命科学研究部 放射線診断学分野)
Session 1
2015-12-25
当院での320列ADCT「Aquilion ONE/ViSION Edition」による心血管領域の画像診断について,サブトラクションCCTA,「SEMAR」の活用を中心に報告する。
心臓CTの臨床適応の拡大
Aquilion ONE/ViSION Editionの登場によって循環器疾患の診断能が向上し,臨床現場におけるCTの適応が拡大しつつある。さらに近年,新たな技術や画像再構成法の使用が可能になり,CTの弱点が徐々に克服されつつある。
心臓CTでは,“Appropriate Use Criteria(AUC)”というガイドラインが2010年に出されている1)。これは64列CTを前提としたガイドラインであり,ADCTをはじめとする最新の心臓CT検査の現状とはミスマッチが生じつつある。
例えば,ある70歳代,男性の例では,左内頸動脈の高度狭窄があり,胸部症状はなかったが,内膜剥離術術前の冠動脈疾患のスクリーニングのため心臓CTが施行された。本症例の場合,AUC 2010ガイドライン(以下,ガイドライン)ではinappropriate(不適切)もしくはuncertain(不確実)となっており,心臓CTを積極的に推奨する対象とは言えない。しかし,実際に心臓CTを施行すると,強い冠動脈狭窄や閉塞を認めるケースが多い。
当院でのAquilion ONE/ViSION Editionを用いた心臓CTにおいて,ガイドラインの分布がどのようになっているかを検討したところ,appropriate(適応)が50%,uncertainが26%,inappropriateが20%,分類不能(NC)が4%という結果となった。心臓CTが施行された上位5つの症状の中でも,inappropriateに分類される症状は16例(5.2%)あった。さらに,心臓CTで50%以上の有意狭窄が認められた件数を調べてみると,ガイドラインでuncertainに分類された患者(80例)のうち,約半数(34例)が該当した。
心臓CTは低侵襲化と画質の向上を両立した開発が進められており,実臨床ではガイドラインより広い適応で用いられていることがわかった。ガイドラインは,CTの侵襲性を鑑みて適応が分類されており,最新のCTの状況が反映されることで,今後適応が変わってくる可能性も考えられる。
サブトラクションCCTA─スキャンプロトコルと実際
技術的な進歩によって弱点を克服しつつあるCTだが,冠動脈CTAには高度石灰化病変では内腔評価が難しいという限界がある。これを克服する方法として,近年,造影画像からマスク画像を差分して石灰化を除去する“サブトラクションCCTA”の利用が可能になってきた。サブトラクションCCTAでは,高度な非線形位置合わせを併用した差分によって石灰化を除いて,内腔の観察が可能になる(図1)。
しかし,このサブトラクションCCTAでは,造影画像を撮影する一連のシリーズでマスク画像を撮影する必要があり,1回の息止め時間が長くなる。そこで,当院では,テストインジェクション法を用いて上行大動脈への到達時間を求めて,大動脈が染まらない時相でマスク画像を撮影するプロトコルを作成して検査を行っている。一例を示すと,造影剤注入から7秒後に息止めのアナウンス,11秒後にファーストスキャン,25秒後にセカンドスキャンを撮影する。息止め時間は18秒と短くはないが,サブトラクションCCTAが1回の息止め下で20秒を超えない時間で可能となる(図2)。これによって,左冠動脈はサブトラクションによって石灰化が除去され,内腔が確認できる(図3)。吉岡らの報告では,コンベンショナルなCCTAにサブトラクションCCTAを加えることで,高い診断能が得られることが報告されている3)。
図1 サブトラクションCCTAでは石灰化を除去して内腔を観察可能2)
64歳,男性,カルシウムスコア688AU(LAD)
図2 当院のサブトラクションCCTAプロトコル2)
図3 1回の息止め下で撮影された画像からサブトラクション画像を作成
CCTAの新たな方向性─Perfusion CT,CT-FFR
CCTAの新たな方向性の1つに,Perfusion CT(CTP)がある。東芝メディカルシステムズのADCTによるマルチセンタースタディである“CORE 320”では,CTAとCTPを組み合わせた検査が冠動脈疾患の同定において高い診断能を有することが示された。CTPのみでは,sensitivity75%,specificity54%だが,CTAにCTPを追加することで,specificity(54%→73%),PPV(55%→64%)が向上し,CTAの弱点をある程度解決できることが示されている。
もう1つの方向性として,CTAのデータを利用して機能的血流予備能比(FFR)を計測するCT-FFRがある。FFRをゴールドスタンダードとすれば,CCTAはsensitivityは高いがspecificityは低く,SPECTはspecificityはCCTAよりも高いがsensitivityは低くなる。CT-FFRは,非侵襲的に高いsensitivity,specificityが得られ,ADCTによって精度の高いCCTAが可能になることで,今後より多くの施設で利用が広がる可能性がある。
SEMARの循環器領域での有用性
次に,金属除去のアルゴリズムであるSEMARの循環器領域での活用について述べる。SEMARは,通常の単一管電圧でのテクニックであり,撮影後に後処理として再構成が可能な点がメリットである。新バージョンでヘリカルスキャンのデータにも対応したことで,より適応が広がった。
図4は,70歳代,男性,膵十二指腸動脈瘤に対してcoil packing術を施行した症例で,通常の画像では金属アーチファクトで確認できないが,SEMARによってアーチファクトが低減することでコイルの背側の動脈も確認でき,フォローアップが可能になる。
動脈瘤のコイル塞栓術後評価におけるSEMARの役割について,定性評価と定量評価を行った。定性評価は視覚スコア4段階で,定量評価はコイルの周囲に複数のROIを設定してSDを計測し,5か所を平均化して行った(図5)。結果は,定量評価ではノイズはnon SEMAR65±33,SEMAR30±10,アーチファクトは164±55,10±19,定性評価は視覚スコアで1.0±0.0,3.4±0.6と劇的に改善することが確認できた。
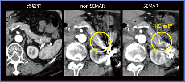
脾動脈瘤に対しpackingとisolationを行った症例では,治療後のnon SEMARの画像では周囲の状況の把握は困難であるが,SEMARを用いることでアーチファクトに隠れていた側副血行路が確認できた(図6)。
図4 膵十二指腸動脈瘤に対するcoil packing術後(70歳代,男性)4)
図5 動脈瘤のコイル塞栓術後評価におけるSEMARの役割4)
図6 脾動脈瘤に対してpackingとisolationを行った症例(70歳代,男性)
まとめ
心臓CTは,ADCTの進歩によって臨床での適応範囲が確実に拡大している。さらに,CTの弱点をカバーするサブトラクションCCTAは,撮影プロトコルの検討によって20秒以下の息止めで施行可能であり,日常診療で十分利用可能と考えられる。金属アーチファクト低減アルゴリズムであるSEMARは,コイル塞栓術後の治療効果判定や合併症の評価に有用と考えられる。
●参考文献
1)Taylor, A.J., et al. : ACCF/SCCT/ACR/AHA/ASE/ASNC/NASCI/SCAI/SCMR 2010 appropriate use criteria for cardiac computed tomography. J. Am. Coll. Cardiol., 56, 1864 〜1894, 2010.
2)Kidoh, M., et al. : Optimized subtraction coronary CT angiography protocol for clinical use with short breath-holding time-initial experience. Acad. Radiol., 22, 117 〜120, 2015.
3)Yoshioka, K., et al.:Subtraction coronary CT angiography using second-generation 320-detector row CT. Int. J. Cardiovasc. Imaging, 31, 51〜58, 2015.
4)Kidoh, M., et al. : Reduction of metallic coil artefacts in computed tomography body imaging ; effects of a new single-energy metal artefact reduction algorithm. Eur. Radiol., 2015(epub).
- 【関連コンテンツ】
