頭頸部画像診断における最新技術
関谷浩太郎(国立がん研究センター東病院 放射線診断科)
Session<2>
2017-5-25
頭頸部は頭蓋底から鎖骨付近までの範囲と定義され,目や耳,鼻,口,咽喉頭といった器官が集合していることから,Quality of Lifeと密接に関係している。また,頭頸部は亜部位が多く,解剖が複雑であると言われている。そのため,頭頸部の画像診断は,複雑な解剖を評価することが求められる。本講演では,東芝メディカルシステムズ社の “Dual Energy CT(DECT)”や“SURE Subtraction(Subtraction)”,“SEMAR”の3技術を頭頸部の画像診断にどのように生かすか,物質弁別とメタルアーチファクト低減の観点から報告する。
物質弁別(Material Separation)─DECT vs. Subtraction
物質弁別の方法には,DECTとSubtractionがある。それぞれ図1に示す特徴がある。DECTは,2種類のエネルギーのX線で撮影し,線減弱係数の差で物質を弁別する技術で,後から弁別する物質を選択できるのが特長である。仮想単色X線画像にて波長(keV)を連続的に変更すると,石灰化や造影された腫瘍,水,脂肪など,物質ごとに異なるCT値の曲線を描き,画像から物質を同定したり,特定の物質を強調して表示することも可能である。
当院における主なDECTの用途としては,喉頭がんと下咽頭がんの症例における喉頭軟骨浸潤の評価で,100keVと140keVのデータからIodine Mapを作成し,120kV相当の仮想単純画像に重ね,軟骨内の造影剤の有無を判断できる画像を作成している。これにより,感度(86%)を落とすことなく特異度を有意に上昇(70%→96%)させることができる1)。MRIではモーションアーチファクトにより評価できないケースなどでも重宝する。
図1 物質弁別におけるDECTとSubtractionの比較
また,Raw Data Based Dual Energy CT(rDE)では,実効原子番号(Effective Z),電子密度(Electron Density),Basis Material Analysis(BMA)などの機能があるが,ここでは個人的に特に期待しているBMAについて少しだけ紹介する。BMAとは,すべてのボクセルを2つの基準物質で構成されていると仮定し,それぞれの基準物質にどのくらい似ているかをベクトルで表したものである(基準物質として定義する物質は任意であるが,1つは弁別したい物質を基準物質に設定するとよい)。図2は脳転移の症例で,石灰化を伴った結節が複数認められ,前方の結節の周囲には浮腫を思わせる低吸収域が認められる。BMAにて水のボクセルを同定し,CT画像上の水の分布を強調表示させることによって,より確実に浮腫と診断できる2)。BMAで選択できる物質は複数選択することができ,骨や空気,水,筋肉,腫瘍などの異なる物質が多く存在する頭頸部領域では,BMAの技術が発達すれば,ある意味ではMRIに近い,造影剤を使用せずにコントラストを付けた画像が得られるようになることが期待される。
図2 BMAを用いた水強調画像の例(脳転移の症例)
一方,Subtraction は,造影前後の画像を差分処理し造影剤を弁別している。そのため,ADCTの特性と相まって,非常に弁別精度の高い画像が得られる。図3は鼻腔がんの症例である。左蝶口蓋孔から左上顎洞後壁を介して左翼口蓋窩に至る進展を認め,さらに左正円孔周囲を介して中頭蓋窩左側に至る進展を認める。図3a,b↓の蝶形骨左大翼は健側と比較して濃度上昇を示しており,骨浸潤が疑われる。Subtractionを用いると,この部分が明瞭に描出され,浸潤と断定できる2)(図3c↓)。また,オリジナルのCT画像では,液体の部分の濃度が上がっており,病変との境界が不明瞭になっているが,Subtraction画像では造影剤が高い精度で弁別され,境界が明瞭になっている。さらに,増強効果が蝶形骨洞の中隔に沿って頭蓋底まで連続しており,こちらにも浸潤していることがわかる2)(図3c)。
図3 Subtraction画像での頭蓋底骨浸潤・頭蓋内進展の評価
DECTとSubtractionの比較では,ヨードの弁別や骨除去に関してはSubtractionの方が精度が高く,診断もしやすい印象である。
しかしながら,Subtractionは造影前後でのスキャンを要するため,1分程度の撮影時間を要するが,DECTは1秒程度の時間で撮影可能で,比較的動きに強い撮影法である。したがって,両者のメリットを踏まえ,目的に応じてDECTとSubtractionを使い分けることが重要である。当院では,図1のように,喉頭・咽頭などの動きの影響を受けやすい部位はDECTで撮影しており,上咽頭や頭蓋底などの骨浸潤の評価が必要で,体動抑制の比較容易な領域をSubtractionで撮影するといったプライオリティを付けている。
メタルアーチファクト低減(Metal Artifact Reduction:MAR)
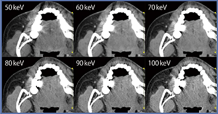
メタルアーチファクト低減には,DECT とSEMAR の2つのアプローチがある。図4に,DECTの仮想単色X線画像(50〜100keV)を示す。高エネルギーの画像ほどメタルアーチファクトを含めてストリークアーチファクトが低減され,周囲組織の辺縁がより明瞭に描出されるが,ノイズも増加する。観察に適切と思われるエネルギーは80keV程度と思われる(図4)。
図4 DECTの仮想単色X線画像を用いたメタルアーチファクト低減
(50〜100keVでの比較)
SEMAR適用前後の画像を図5に示す。メタルアーチファクトが除去され,金属の形態が明瞭に描出されており,隣接する舌の軟部組織も観察することができる。SEMARは,メタルアーチファクト以外の部分が,オリジナルのCT画像とほぼ変わらないということが特徴的である。また,SEMARは従来のスキャン方法で適用できるため導入しやすく,被ばく量が変わらないというメリットもある。
オリジナルのCT画像とDECT(80keV),SEMARとを比較すると,メタルアーチファクトの除去に関しては,DECTよりもSEMARの方がより良い使用感かと思われる(図6)。ただし,DECTにも組織の辺縁が観察しやすくなるというメリットがあり,前方の黒い部分のアーチファクトはDECTの方が低減できている。
したがって,口腔内金属のメタルアーチファクト低減には,基本的にはSEMARが適しているが,目的によって適切なアプローチを選択することがMARにおいても重要と言える。
図5 SEMARを用いたメタルアーチファクト低減(適用前後の比較)
図6 DECTとSEMARによるMARの比較
SEMARの効果を向上させるための工夫
SEMARの有用性は示した通りであるが,期待していたような効果が得られないケースもあるかと思われるので,その対応策について説明する。
図7は,歯列模型ファントムの下顎両側の第一大臼歯に金属充填をしたもので,オリジナルのCT画像では強いメタルアーチファクトが発生しており,SEMARを適用しても左右の金属を結ぶようにアーチファクトが残ってしまっている。そこで,撮影前にある工夫をすることにより,アーチファクトをほぼなくすことができる。その工夫とは,ビーム入射の同一平面上に,金属の塊が複数個存在しないようにしてから撮影することである。被写体を回転させたり,装置側で調整したり,金属の片側を外すといった事前の準備をしておくことで,メタルアーチファクトをある程度コントロールできるようになる。
図7 被写体を傾ける方法でのSEMAR効果向上の例
まとめ
物質弁別に関してはDECTとSubtractionの2つの方法があり,目的に応じた適切な撮影方法を選択することが重要である。また,メタルアーチファクトの低減において,SEMARの効果は大きく,撮影時の工夫によって,その効果を向上させることが可能である。
●参考文献
1)Kuno, H., Onaya, H., Iwata, R., et al. : Evaluation of cartilage invasion by laryngeal and hypopharyngeal squamous cell carcinoma with dual-energy CT. Radiology, 265・2, 488〜496, 2012.
2)Kuno, H., Sekiya, K., Chapman, N.M., et al. : Miscellaneous and emerging applications of dual energy CT for the evaluation of intracranial pathology. Neuroimaging Clin. N. Am., 2017(in press).
- 【関連コンテンツ】
