超高精細CTの臨床展開
千葉 工弥(岩手医科大学附属病院循環器医療センター 中央放射線部)
Session(2)-1 : CT 3
2018-5-25
当センターでは現在,320列ADCT「Aquilion ONE」と超高精細CT「Aquilion Precision」の2台のCT装置が稼働している。2017年3月27日〜2018年1月31日までに3991件のCT検査を施行しており,内訳はADCTが64%,Aquilion Precisionが36%となっている。
Aquilion Precisionの撮影では,NRモード(通常モード:0.5mm×896ch)とSHRモード(高精細モード:0.25mm×1792ch)の2つのスキャンモードを使用しており,比率としてはNRモードが70%,SHRモードが30%である。SHRモードで検査を行った485件の領域別内訳は,冠動脈39%,大動脈27%,下肢18%,アダムキュービッツ動脈9%,頭頸部2%,その他となっている。
本講演では,Aquilion Precisionの画像について,スキャンモードによる見え方の違いをファントムを用いて比較するとともに,当センターにおける臨床展開について紹介する。
スキャンモードによる見え方(視認性)の違い
NRモードとSHRモードで撮影した画像の視認性の違いについて,ファントムによる検討を行った。
Catphanの画像(図1)で比較すると,NRモードではバーの間隙が狭くなるにつれて切れ目が見えにくくなるが,SHRモードでは間隙0.45mmでも視認することができ,空間分解能が向上していることがわかる。
図1 Catphanの見え方の違い
冠動脈狭窄ファントム(3mm)の比較を行った。75%狭窄(図2 a)の部分は,NRモードでは内腔を視認することは難しいが,SHRモードではプラーク部と内腔部を分離して確認することができる。また,50%狭窄(図2 b)の部分は,SHRモードでは内腔とプラークの境界が明瞭に分離できており,狭窄率のより正確な計測に役立つと考えられる。
図2 冠動脈狭窄ファントム(3mm)の画像比較
血管壁を模擬したファントム実験も行った。ディスポーザブルシリンジ(200mL)に水を充填し,シリンジのポリプロピレンを血管壁に見立て,NRモードとSHRモードの画像を比較した。拡大像(図3)を比較すると,NRモードでは約1.6mmのポリプロピレン層を分離することは難しいが,SHRモードでは層として認識することができる。
図3 模擬血管壁の画像比較(拡大像)
さらに,形状再現性についても検討した。輪ゴムを撮影し,四角形である輪ゴムの断面(図4 a)を確認したところ,NRモード(図4 b)では円形だが,SHRモード(図4 c)では実際の断面像と同様に四角い輪郭をとらえていることが認められる。SHRモードの高い分解能が形状再現性にも影響していると考えられる。
図4 形状再現性の画像比較
Aquilion Precisionの臨床展開
1.Aquilion PrecisionとADCTの画像比較
図5に,当センターでAquilion PrecisionとADCTで撮影した冠動脈短軸像を示す。ADCT(図5 b▶)では石灰化が認められるが,Aquilion Precision(図5 a▶)では石灰化部分の信号値が高く,より明瞭に描出されている。
図5 冠動脈短軸像での描出能の比較
2.当センターにおける冠動脈の画像再構成
当センターでは,冠動脈の画像処理において,VR画像とCPR画像で画像再構成方法を変えている。VR画像は,スライス厚0.5mm,マトリックス512×512,再構成関数(再構成処理)はFC13“AIDR 3D Enhanced”Strong(以下,AIDR 3D)を使用している。CPR画像はスライス厚0.25mm,マトリックス1024×1024,再構成関数(再構成処理)はAIDR 3Dに加え,Full IRの逐次近似画像再構成“FIRST” Cardiac Strong(以下,FIRST)を使用している。
3.FIRSTとAIDR 3Dの画像比較
次に,FIRSTとAIDR 3Dの画像を比較提示する。VR画像で冠動脈末梢を比較すると,FIRST(図6 a▲)ではノイズが低減し末梢まで描出できているのに対して,AIDR 3D(図6 b▲)では末梢がノイズに埋もれ,少し視認性が低下していることがわかる。
図6 VR画像での冠動脈描出能の比較
CPR画像でも,AIDR 3Dに比べてFIRSTではブルーミングアーチファクトが軽減した。短軸像を見ると,AIDR 3D(図7 a▶)でノイズに埋もれていた血管の輪郭が,FIRST(図7 b▶)では明瞭になった。医師からもプラークと脂肪の境界の視認性が向上したとの評価を得ており,今後,検討を深めながらFIRSTの活用を模索していきたい。
図7 CPR画像(短軸)での描出能の比較
4.FIRSTとAIDR 3Dの基礎検討
FIRSTとAIDR 3Dの画質について基礎実験を行った。Aquilion Precision付属のTOS-SSファントム(180mm)を,心電図同期を使用してSHRモードで撮影し,FIRSTとAIDR 3DのSD,TTF(task transfer function)1),SNRを比較した(図8)。SDは管電流を変化させ,TTFは350mA固定で測定した。
その結果,SD(図8 a)はFIRSTの方が低く,ノイズ低減効果が大きいことがわかる。TTF(図8 b)は,AIDR 3Dと比べFIRSTでは空間周波数が高い領域まで表現できており,空間分解能が高いことがわかる。また,SNR(図8 c)についても,空間周波数が高くなってもFIRSTでは信号を維持している。このような優位性が,AIDR 3Dと比べFIRSTの方が視覚的な印象が良くなる理由と理解できる。
図8 画質の基礎検討
5.冠動脈CTでの使い分け
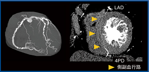
当センターではFIRSTを積極的に使用したいと考えているが,冠動脈CTにおいては制限がある。FIRSTは現状ではハーフ再構成のみの対応のため,Aquilion Precisionで撮影する症例は,低心拍(HR 60以下),BMI 26以下を参考にしている。不整脈症例や息止めができない小児症例では,ADCTの方が良好な画像を得られるため,臨床目的に合わせた装置の使い分けが大切である。Aquilion Precisionでは,左前下行枝(LAD)から右後下行枝(4PD)への中隔を貫く側副血行路の描出なども可能であった(図9)。高い空間分解能が生かされる領域を見極めて活用することが重要である。
図9 LADから4PDへの側副血行路の描出
まとめ
Aquilion Precisionでは,冠動脈の狭窄率評価や細い血管の描出能が向上した。ただし,当センターにおける冠動脈CTは,心拍数やBMIを基に適応を決定している。FIRSTの効果的な使用や,被検者の状態に合わせて装置を使い分けることで,適切な検査を行うことが重要である。
また,AIDR 3Dと比べてFIRSTではノイズ低減効果が大きく,空間分解能が高いため,SNRが向上する。細い血管などの描出が期待されることから,さらなる検討を重ねていきたい。
●参考文献
1)Richard, S., et al. : Towards task-based assessment of CT performance ; System and object MTF across different reconstruction algorithms. Med. Phys., 39, 4115〜4122, 2012.
※下記画像のリンク先にて実際の講演の映像を見ることができます。(登録フォームの入力が必要です)。
- 【関連コンテンツ】
