脳神経領域の画像診断にAquilion Precisionがもたらすもの
村山 和宏(藤田保健衛生大学医学部 放射線医学教室)
Session(2)-2 : CT 7
2018-5-25
当院では,2015年5月から超高精細CTのプロトタイプ機(128列)を臨床評価した後,2017年2月に「Aquilion Precision」(160列)が導入された。本講演では,Aquilion Precisionを用いた脳神経領域での使用経験について,頭部CTA,脳腫瘍,頸部動脈ステント留置術(CAS)後のスクリーニングなど,320列ADCT「Aquilion ONE」との比較を含めて症例画像を中心に報告する。
脳血管領域におけるAquilion Precisionの有用性とFIRST適用への期待
Aquilion Precisionでは,空間分解能の向上によって動脈の末梢まで描出できるようになったことに加え,静脈系の細かい血管の描出能も向上した。また,前大脳動脈解離や脳底動脈狭窄などの症例においても,ADCTに比べて狭窄度など,血管内腔の評価がより正確に可能になっている。われわれは中大脳動脈(MCA)穿通枝領域でAquilion PrecisionとADCTの描出能の評価を行っているが,ADCTに比べて,Aquilion PrecisionではMCAの主幹部(M1)からの穿通枝やレンズ核線条体動脈(LSA)が明瞭に描出でき,検出された穿通枝の数はAquilion Precisionの方が有意に多い症例を経験している。また,M1から遠位部までの距離を計測すると,Aquilion Precisionの方がより末梢までトレースされていることが確認できた。
Aquilion Precisionでは,Full IRの逐次近似画像再構成技術“FIRST”が,2017年秋から使用可能となった。図1は,Aquilion PrecisionでのMCAの穿通枝領域をFBP(a),AIDR 3D(b),FIRST(c)で再構成した画像だが,FIRSTではより末梢まで明瞭に描出されており,今後,超高精細CTにおいてもFIRST適用による高画質と低被ばく化が期待される。
図1 画像再構成法による脳底動静脈の描出能の比較
a:FBP b:AIDR 3D c:FIRST
症例画像
1.脳血管領域
図2は,内頸動脈の眼動脈瘤疑いの症例だが,ADCT(a)では左内頸動脈の内側に眼動脈があり,その前方に突出した部分が認められ,動脈瘤ではないかと疑われた(→)。これをAquilion Precision(b)で撮影したところ,動脈瘤ではなく眼動脈が内側から分岐している正常構造を見ていたことがわかった(赤実線)。超高精細CTによって,従来であれば間違って診断しかねない病態についても正確に把握でき,偽病変を減らすことにもつながると期待される。
図2 内頸動脈眼動脈瘤疑い
a:ADCT b:Aquilion Precision
図3は内頸動脈の眼動脈瘤の症例で,手術シミュレーションを目的に,ADCT(a)とAquilion Precision(b)で同じ条件による3D VR画像を作成した。右内頸動脈から内側に動脈瘤があり,前方から細い眼動脈が分岐しているが,ADCTの3D画像にはない細い眼動脈がAquilion Precisionではしっかりと描出され,動脈瘤との位置関係が把握できる(図3 b→)。実際に手術を行う脳神経外科医にとっても,3D画像で細かい血管まで把握した上で手技に当たれるメリットは大きいと考えられる。
図3 内頸動脈眼動脈瘤の3D再構成画像
a:ADCT b:Aquilion Precision
2.脳腫瘍症例
図4は,右後頭頭頂葉付近にできた悪性神経膠腫(high grade glioma)の症例で,Aquilion Precisionで撮影した動脈相(a),静脈相(b)と,動脈相と静脈相を足し算(スタック)した画像(c)である。cを拡大表示(d)すると,後大脳動脈(PCA)の分枝から病変部に向かって流入する栄養血管と,腫瘍内部のhypervascularな部分が明瞭に観察できる。病変部は造影MRI(e)でも強調され,MR灌流画像(f)の脳血流量(CBV)も高値を示しているが,従来,血管造影でなければ得られなかった情報が超高精細CTで評価できるメリットは大きい。
図4 悪性神経膠腫(high grade glioma)の比較画像
a〜d:Aquilion Precision
e:造影MRI f:MR灌流画像(CBV)
図5は髄膜腫(meningioma)の症例だが,MRIのT2強調画像(a)と造影画像(b)で内部に石灰化を伴う高信号の腫瘤が認められる。ADCT(c)とAquilion Precision(d)で撮影した画像で石灰化の部分を拡大すると,Aquilion Precisionでは石灰化の内部は必ずしも均一ではなく,部分的に高濃度な部分とラフな部分が混在した状態であることが観察できる。脳腫瘍の診断ではMRIが主に用いられることが多く,CTによる評価はおろそかになりがちだが,Aquilion Precisionの超高精細画像はADCTではわからなかった新たな情報が描出できる。脳腫瘍にもいろいろな種類があるように,石灰化も腫瘍によってさまざまなパターンがあることも考えられる。超高精細CTがもたらす新たな知見を生かした読影が求められる。
図5 髄膜腫(meningioma)の比較画像
a:T2強調画像 b:造影MRI c:ADCT d:Aquilion Precision
3.頸部血管領域
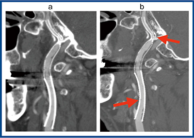
頸部血管領域においても,Aquilion Precisionの超高精細画像によって石灰化やステント内腔の描出能が向上し,より正確な評価が可能になった。図6は,右内頸動脈狭窄症に対してステント治療が繰り返され,縦長に複数のステントが留置されている。ADCT(a)では,上部のステント内が狭窄していると思われる部分は,パーシャルボリュームエフェクトとブルーミングアーチファクトの影響で内腔が潰れて評価できない。Aquilion Precision(b)では,内腔の評価が可能で(→),ステント直下のプラークも確認できる(←)。
図6 右内頸動脈狭窄ステント留置症例の比較画像
a:ADCT b:Aquilion Precision
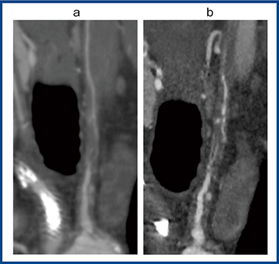
図7は左総頸動脈の高度狭窄の症例で,ADCT(a)では縦に長い血栓(→)があり,ほぼ完全閉塞しているように見えるが,Aquilion Precision(b)によるフォローアップでは,閉塞しているわけではなく,内部に細い側副血行路が発達して連続性があることが確認できた(○)。冠状断方向からの拡大画像(図8)でも,Aquilion Precision(b)では血管内部に順行性の血流が認められ,完全閉塞ではないことが診断できた。
図7 左総頸動脈の高度狭窄の比較画像
a:ADCT b:Aquilion Precision
図8 図7と同一症例の冠状断拡大画像
a:ADCT b:Aquilion Precision
脳神経領域への適応
Aquilion PrecisionとADCTの適応について考えた場合,形態評価,スクリーニング,術前シミュレーション,頸動脈ステント留置術後のフォローアップなどではAquilion Precisionの方が優れていると思われる。一方で,広範囲の動態検査は難しいことから,パーフュージョン検査や機能評価については,今のところADCTが適していると思われるが,Aquilion Precisionの今後のさらなる発展に期待したい。
まとめ
Aquilion Precisionの脳神経外科領域の有用性は,微細な構造が観察可能になったことで術前シミュレーションや微細な血管の評価,頸部動脈のステント留置後の評価などに今後大きく貢献すると思われる。
※下記画像のリンク先にて実際の講演の映像を見ることができます。(登録フォームの入力が必要です)。
- 【関連コンテンツ】
