Area Detector CTによる呼吸動態撮影の臨床応用
森谷 浩史(大原綜合病院放射線科)
Session 1
2018-12-20
第1世代ADCT「Aquilion ONE」の導入当初よりわれわれは,四次元X線CT技術を用いた呼吸動態の撮影に注力しており,特に肺がんの胸壁浸潤の診断に多用している。本講演では,320列ADCTを用いた胸部放射線画像に関する多施設共同研究「ACTIve(Area detector Computed Tomography for the Investigation of Thoracic Diseases)」での研究成果を踏まえ,呼吸動態CTによる呼吸位相の検出や定量解析技術の進歩,全肺呼吸動態撮影などについて概説し,呼吸機能の定量解析の可能性について考察する。
■呼吸動態CTによる 肺がん胸壁浸潤診断
呼吸は,胸郭筋への神経伝達によって胸郭が拡張と収縮を繰り返し,胸腔内圧が変動し,それに追随して肺の体積が変動するという流れで起こる。呼吸モニタリング手法にはさまざまなものがあるが,呼吸全体ではなく関心部位の動きだけを観察する技術の開発が,かねてから望まれていた。
画像による呼吸の視認には従来,胸部X線撮影による吸気・呼気画像の比較や,X線透視下での観察などが行われてきた。当院では,2005年頃にdynamic cine MRIによる呼吸動態の観察も行っていたが,当時のMRIでは肺野の観察を十分に行うことができなかった。
一方,2005年に福島県立医科大学に導入された64列CT「Aquilion64」を用いてdynamic respiratory scanを行ったところ,腫瘍が肋骨に対して固着することなく動く様子が観察できた。また,Aquilion ONE導入後は,多施設共同研究であるACTIveに参加し,呼吸動態に関してさまざまな検討を行った。
ACTIveの開始に当たり,320列ADCTを用いた呼吸動態の撮影条件について先行論文を確認したところ,実効線量が6〜10mSvと高い報告もあった。われわれは,線量低減をめざして間欠撮影による呼吸動態CTの研究に取り組み,さらに,被ばく低減技術である“AIDR 3D”の登場なども受けて,現在では約6秒間の連続撮影が2.7mSvで可能となった。呼吸動態CTによって腫瘍のさまざまな動きを可視化できれば,例えば肺がんでは,腫瘍の胸壁に対する固着がなければ胸壁癒着・浸潤はないと容易に診断可能であり,非常にわかりやすい検査法と言える。
■呼吸位相の検出:定量化への第一歩
呼吸動態の定量化を行うためには,呼吸位相の検出が求められる。Aquilion ONEを用いた呼吸動態CTでは,呼吸モニタリング手法の多くが指標としている胸郭の動きを可視化できるため,呼吸位相の検出が可能と考える。
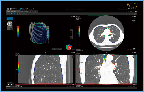
呼吸動態CTで描出されるさまざまな構造物のtime curveを作成したところ,胸郭および横隔膜の動きと良好に相関し,呼吸位相が反映されていた1)。そこで,ACTIveでは,胸壁と腫瘍の動きを定量化して,さまざまな数学的パラメータについて検討し,最良のパラメータを見出す研究2)が行われた。その成果の一つが,“癒着診断機能”(W.I.P.)である。本機能では,癒着のある領域をカラーマップで表示することができる(図1)。現在,開発が進められており,キヤノンメディカルシステムズ社の医用画像処理ワークステーション「Vitrea」に搭載される予定である。
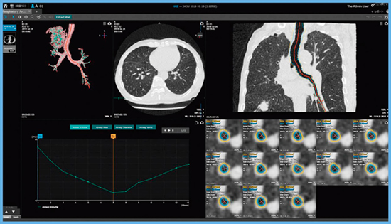
また,Aquilion ONEのコンソール上で解析可能な“4D Airway Analysis”*は,目標気管支断面の呼吸に伴う動きを計測可能である。図2 右のCase2では,呼気時に気管支が閉塞することで呼吸苦となっていることが観察できた。
このほか,スパイロメトリのflow-volume曲線から呼吸機能の悪化と診断された症例では,呼吸動態CTにて,従来法では確認できない肺がんによる右の主気管支狭窄による肺の局所的な動きの異常が明らかとなった。動態解析にはザイオソフト社の“PhyZiodynamics”も用いており,トラッキング技術の進歩によって,呼吸による肺の動きの不均一性をベロシティマップで容易に評価可能である3)。
図1 癒着診断機能(W.I.P.):癒着領域をカラーマップで表示
図2 4D Airway Analysisでは呼吸に伴う気管支径の狭窄(dynamic narrowing)を評価可能
■全肺呼吸動態CT
呼吸動態CTの撮影においては,呼吸が安定していることが重要である。当院では録音された呼吸指示を撮影中に連続して流すことで,安定した呼吸が得られるようになり4),全肺の呼吸動態撮影が可能となった。安定呼吸下の全肺を複数ボリューム(現在は2つ)で撮影し,位相および位置合わせをした画像を作成するが,上下肺の相関もきわめて良好である4),5)。かねてより,呼吸器外科から,がんの局所だけでなく全肺の癒着を評価したいとの要望があったが,それに応えることができた。なお,本研究成果は,2018年の第77回日本医学放射線学会総会にてCypos賞 Platinum Medalを受賞した5)。
また,得られた全肺の画像から全肺・全位相の計測が可能なため,従来の呼吸機能検査で求められる1秒量や1秒率,最大換気量,1回換気量(tidal volume:TV)などに加え,従来の方法では得られなかった全肺の体積や体積変動のtime curveなどを得ることができる。さらに,全肺のTVと残気分の体積や,左右肺それぞれのflow volume曲線の算出も可能である。
図3は,77歳,女性の全肺呼吸動態CTである。全肺気量(TLC)は2393mL,全肺のTVは800mLであるが,右下葉はTLC 420mLのうちTVはわずか42mLであり,右下葉の局所的な動きの悪さが計測できた。
また,当院の肺がん患者のうち,喫煙者と非喫煙者の1秒率について,従来の呼吸機能検査と全肺呼吸動態CTを比較したところ,従来法では有意差は認められなかったが,CTでは喫煙者の呼吸機能が有意に低下していることを検出できた。このように,スパイロメトリでは評価できない局所の肺機能や,臥位の安静時肺機能がわかることが,全肺呼吸動態CTのメリットであると考える。
図3 全肺の呼吸動態CTによる肺の局所の評価
■呼吸機能の定量解析
呼吸動態CTの画像解析においては,従来,位相合わせと上下肺の合体を手作業で行っていたが,キヤノンメディカルシステムズ社が開発している“位相合わせ・上下肺合体ツール”(W.I.P.)では,非常に簡便に行えるようになる(図4)。また,“肺野濃度解析”*(図5)や“気管支解析”*(図6)は,従来は解析できる範囲が限られていたが,全肺に拡大して利用可能になった。
これらの機能を活用し,当院の肺がん患者で慢性閉塞性肺疾患(COPD)を併発している症例のデータ解析を行ったところ6),呼吸動態CTをCOPDの診断にも利用できる可能性が示唆された。なお,呼吸動態CTに最新の逐次近似画像再構成法である“FIRST”を適用すれば,さらなる画質改善が期待できることから,COPDなどの良性疾患の診断には,胸部単純X線写真相当(80kV)にまで線量を下げた呼吸動態CTの活用を検討していきたい。
図4 位相合わせ・上下肺合体ツール(W.I.P.)
図5 全肺データを用いた体積・肺野濃度解析
図6 全肺データを用いた気管支解析
■まとめ
呼吸動態CTでは,肺がんの癒着・浸潤診断,気管支径のdynamic narrowing,動きの不均一性などが診断可能である。全肺呼吸動態撮影により,全肺体積変動や関心領域の変動が計測可能となったことで,新しい呼吸機能評価の可能性が期待される。
*Vitreaの次期バージョンに搭載予定
●参考文献
1)森谷浩史・他:呼吸動態CTに表示される構造物には呼吸位相が反映されている. 臨床放射線, 63・1, 1〜13, 2018.
2)Sakuma, K., et al. : Parietal pleural invasion/adhesion of subpleural lung cancer ; Quantitative 4-dimensional CT analysis using dynamic-ventilatory scanning. Eur. J. Radiol., 87, 36〜44, 2017.
3)森谷浩史・他:320列面検出器CTによる呼吸動態撮影とtracking技術の進歩. Multislice CT 2015 Book(映像情報Medical増刊号),70〜78, 2015.
4)村松 駿・他:呼吸動態CTのための独立音声指示装置の考案. 日本放射線技術学会雑誌, 74・2, 154〜160, 2018.
5)Moriya, H., et al. : Whole-lung dynamic respiratory CT ; Novel respiratory function examination by dynamic wide volume scanning using 320-row ADCT. 第77回日本医学放射線学会総会, 2018.
6)Xu, Y., et al. : Hyperinflated lungs compress the heart during expiration in COPD patients: a new finding on dynamic-ventilation computed tomography. Int. J. Chron. Obstruct. Pulmon. Dis., 12, 3123〜3131, 2017.
- 【関連コンテンツ】
