DLR「AiCE」の腹部領域における初期経験
中村 優子(広島大学大学院医歯薬保健学研究科放射線診断学研究室)
Session 2
2018-12-20
本講演では,CTによる肝画像診断の現状と限界について述べた上で,腹部CTにおけるDeep Learning Reconstruction(DLR)である“AiCE(Advanced Intelligent Clear-IQ Engine)”の初期経験とその可能性を報告する。
■CTによる肝画像診断の現状
肝画像診断には,腫瘍検出能の向上や腫瘍の良悪の鑑別,悪性の場合は治療方針を検討するため原発か転移かなどの鑑別も求められる。また,原発性肝細胞がんは慢性肝障害を有する患者に発生するため,より正確な肝機能評価や背景肝の状態の評価も必要となる。
悪性肝腫瘍の検出能については,ダイナミックCTとEOB造影MRIを比較した検討が報告されているが1)〜3),原発性肝細胞がんの検出感度は,ダイナミックCTが0.70〜0.74に対し,EOB造影MRIは0.86〜0.95と,EOB造影MRIの方が高い。特に2cm以下の病変では,0.53 vs. 0.82と差が広がる。また,転移性肝腫瘍では,ダイナミックCTが0.63〜0.83に対し,EOB造影MRIは0.91〜0.95と,差がより顕著になる。特に病変が1cm以下の場合には,ダイナミックCTの検出感度は0.20前後と非常に低くなっている。その原因として肝腫瘍と背景肝のコントラストがもともと低い(低コントラスト)ことが挙げられる。
さらに,ノイズも影響を及ぼす。低コントラストの模擬病変を配置した腹部ファントムを100%線量と25%線量でCT撮影した画像では,100%線量の場合は病変が明瞭に確認できるが,25%線量ではノイズの増加により病変が見えにくくなっている。よって,ノイズが増加すると低コントラスト病変の検出が困難となることが腹部CTの難しさと言える。
■画像再構成法によるノイズ低減
CTのノイズを低減することができれば,腫瘍の検出能が向上する可能性があり,被ばく線量を増やさずにノイズを低減する方法として,各種画像再構成法の活用が挙げられる。
画像再構成法はこれまで,FBP,逐次近似応用再構成法(Hybrid IR),モデルベース逐次近似再構成法(MBIR)と進化してきた。このうち,Hybrid IRとMBIRにノイズ低減効果が期待される。
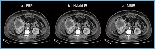
胸部CT(肺野)においては,MBIR画像はFBP画像やHybrid IR画像と比較して,空間分解能が高く,ノイズも低くなり,有用性が高いと報告されている4)。しかしながら,腹部CTに各画像再構成法を適用してみたところ, Hybrid IRと比較してMBIRの画質が向上しているとは言いがたい画像となった(図1)。実際に腹部CTではMBIRを適用しても,特に線量が十分でない場合には低コントラスト病変の検出能が向上しないことが報告されている5)。
そこで,腹部CTの画質改善に期待されるのが人工知能(AI)である。高品質なCT画像(高線量,理想的な条件のMBIR)を教師にして学習したAIを用いれば,腹部CTの画質を改善できると考えられ,開発されたのがDLRのAiCEである(図2)。
図1 腹部CT:画像再構成法による比較
図2 DLR“AiCE”概念図
■腹部CTにおけるDLRの初期検討
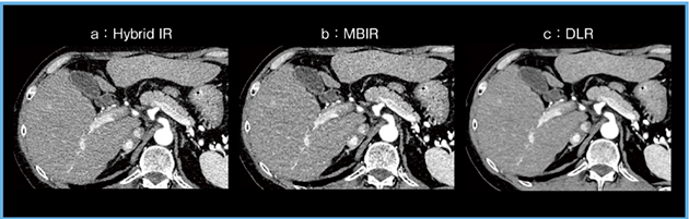
当院にて,まず「Aquilion ONE」を使用し,転移性肝腫瘍をターゲットに腹部CTにおけるDLRの初期検討を行った(解析当時はW.I.P.*)。結果として,Hybrid IR画像と比較し,DLR画像ではノイズが大幅に低減し,腫瘍を明瞭に描出できていた(図3)。詳細は割愛するが,DLRは腹部CT画像を定性的にも定量的にも改善しており,DLRは肝腫瘍検出能を向上させる可能性があると考えられた。
また当院では,2017年12月に0.25mmスライス厚と従来のCTの倍のチャンネル数となる1792chを実現した新検出器が搭載された超高精細CT「Aquilion Precision」が導入されており(図4),現在,腹部領域へのAiCEの適用についても検討を進めている。
Aquilion Precisionにて,腹部の動脈相をSHR(super high resolution)モードで撮影し,Hybrid IRとMBIRで再構成したところ,いずれもノイズが多い画像であった(図5 a,b)。超高精細CTは,高い空間分解能が得られることが大きな特徴であるが,腹部の場合,スライス厚を0.25mmまで薄くするとノイズが非常に増加し,超高精細CTのメリットを十分に享受することができない。
しかし,同じ症例をDLRであるAiCEで再構成を行うと,ノイズの低減した非常に明瞭な画像を得ることが可能となった(図5 c)。AiCEを用いることで,腹部領域における超高精細CTのノイズを低減することができ,超高精細CTの最大のポテンシャルを引き出せる可能性があると期待している。
図3 直腸がんからの肝転移症例(59歳,男性)
図4 超高精細CT「Aquilion Precision」(広島大学)
図5 腹部領域における超高精細CT
■まとめ
従来の画像再構成法では,腹部CTのノイズを十分に低減することは難しく,腫瘍検出能に限界があった。しかし,われわれの検討結果から,Deep Learningを用いた新たな画像再構成法であるAiCEが,腫瘍検出能を向上させる可能性が示唆された。
さらに, AiCEは超高精細CTにおいても腹部CTのノイズを低減できると考えられ,超高精細CTにおける有用性の検討も進めているところである。
*2018年11月より「Aquilion ONE/GENESIS Edition」でもAiCEによる再構成が可能となっている。
●参考文献
1)Guo, J., et al.:Diagnostic performance of contrast-enhanced multidetector computed tomography and gadoxetic acid disodium-enhanced magnetic resonance imaging in detecting hepatocellular carcinoma;Direct comparison and a meta-analysis. Abdom. Radiol. (NY), 41・10, 1960〜1972, 2016.
2)Ye, F., et al.:Gadolinium Ethoxybenzyl Diethylenetriamine Pentaacetic Acid (Gd-EOB-DTPA)-Enhanced Magnetic Resonance Imaging and Multidetector-Row Computed Tomography for the Diagnosis of Hepatocellular Carcinoma;A Systematic Review and Meta-analysis. Medicine (Baltimore), 94・32, e1157, 2015.
3)Muhi, A., et al.:Diagnosis of colorectal hepatic metastases: comparison of contrast-enhanced CT, contrast-enhanced US, superparamagnetic iron oxide-enhanced MRI, and gadoxetic acid-enhanced MRI. J. Magn. Reson. Imaging, 34・2, 326〜335, 2011.
4)Fujita, M., et al.:Lung cancer screening with ultra-low dose CT using full iterative reconstruction. Jpn. J. Radiol., 35, 179〜189, 2017.
5)Euler, A., et al.:Impact of model-based iterative reconstruction on low-contrast lesion detection and image quality in abdominal CT; A 12-reader-based comparative phantom study with filtered back projection at different tube voltages. Euro. Radiol., 27, 5252〜5259, 2017.
- 【関連コンテンツ】
