“普通のMR画像”を再考する:中枢神経系の診療のためのMR画像はどうあるべきか
田岡 俊昭(名古屋大学大学院医学系研究科 革新的生体可視化技術開発産学協同研究講座)
Session 2 : MR
2020-5-15
本講演では,中枢神経系の診療で日常的に用いられるMR画像について,診療に役立つ撮像のポイントなどを画像種ごとに概説する。また,当院では2019年11月からキヤノンメディカルシステムズ社の3T MRI「Vantage Centurian」が稼働を開始した。AIを用いたノイズ除去再構成技術“Deep Learning Reconstruction(DLR)”(製品名:Advanced intelligent Clear-IQ Engine:AiCE)が搭載されており,実際の画像を踏まえて適用のポイントなどを述べる。
T2強調画像
1.画像の特徴と冠状断像の必要性
T2強調横断像に求められるものは,皮質と白質,白質と中心灰白質,脳幹部の諸核,病変と正常部位などの,さまざまなコントラストである。これらの構造を明瞭に描出するためには,至適シーケンスで撮像することが重要である。
さらに,T2強調画像の冠状断像は必須である。例えば,アルツハイマー病による脳の萎縮の分布や側脳室下角や側副溝の開大が,冠状断像では一目瞭然である。正常圧水頭症では,頭頂部(高位円蓋部)の脳溝の狭小化や脳梁角が鋭角となる特徴的な所見は,冠状断像でなければ確認できない。変性疾患は,冠状断像では中小脳脚の断面積の正常値が200mm2前後であることや,小脳型の多系統萎縮症では上小脳脚角が有意に大きくなることが知られている。
2.AiCEを用いた撮像時間の短縮
冠状断像は,検査時間短縮のために日常臨床では省略されることがあるが,AiCEを用いることで,読影に必要な画質を担保しつつ撮像時間短縮が可能か検討を行った。
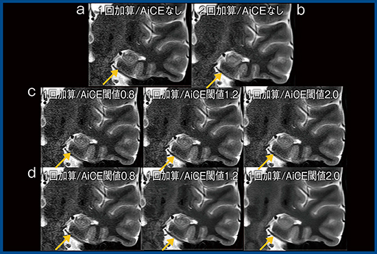
図1は,AiCEの有無による冠状断像の比較であるが,50秒で撮像した1回加算の画像(a)に対して,AiCEを適用し強度と閾値を調節している(c,d)。強度5,閾値1.2の画像(図1 d中央)は視認性がきわめて良好である。ただし,AiCEは高周波成分のノイズ除去を行うため1),脳脊髄液の拍動のアーチファクトなどは残存する。また,2回加算の画像(図1 b)で描出されている嗅内野皮質(↑)は,1回加算ではAiCEを適用しても不明瞭である(図1 c,d)。元画像で見えないものは,AiCEを適用しても見えるようにはならないことを理解して,適切に用いることが重要である。
図1 AiCEによるT2強調冠状断像の撮像時間短縮
a:1回加算/AiCEなし b:2回加算/AiCEなし
c:1回加算/AiCE強度1 d:1回加算/AiCE強度5
T1強調画像
1.撮像法の違いによる描出の変化
T1強調画像には,spin echo(SE),fast spin echo(FSE),T1FLAIRなど,多数の撮像法がある。そのため,読影の際に撮像法まで意識した方がよいこともある。例えば,ファール病で見られる基底核の強い石灰化やガドリニウム造影剤の脳内沈着などは,inversion pulseを用いる撮像法では描出されないことがある。また,造影MRIにおいては,inversion recovery(IR)系とSE系で染まり方の特徴が異なるため,特に転移検索の際には,SE系とIR系の両方の撮像を行うことで,検出漏れを防げると考えている。
2.下垂体微小腺腫におけるAiCEの有用性
微小な下垂体腺腫はダイナミックスタディによって良好に描出できるが,スライス厚やスライス数に限界がある。そこで,AiCEを適用することで,高速かつ高精細な画像を取得可能か検討を行った(図2)。
2mmスライス厚,30秒間隔で撮像した画像(図2 a)にAiCEを適用すると,30秒後の画像(図2 b 中央)で微小腺腫(↓)がきわめて明瞭に描出され,診断能が向上する。AiCEの適用によりスライス厚を薄くできることは,非常に有用である。
図2 下垂体ダイナミックスタディへのAiCEの応用(下垂体微小腺腫)
a:AiCEなし b:AiCEあり
FLAIR
1.画像の特徴と必要性
FLAIRは,TE=100msの時,TR/TI=10000ms/2200ms程度でコントラストが良好となるため,TRは長めに設定した方がよい。また,TEを徐々に長くすると全体に信号強度が低下するが,異なる含水率の組織間のコントラスト差は大きくなる。
Synthetic MRIの登場により,近年,FLAIRの撮像は不要という声も聞かれる。しかし,Synthetic FLAIRでは,部分容積効果の影響で境界の描出などが不十分となるため,FLAIRを別途撮像する必要があると考える。例えば,動脈内高信号のような,FLAIRでの流れに関連した現象による信号は,2D-FLAIRのみで描出可能である。また,脳脊髄液近傍の病変のうち,神経核内封入体病の孤発群では,下部小脳虫部外側にFLAIRにて対称性の高信号を呈することが報告されている2)。これらの疾患の描出は,Synthetic FLAIRが苦手とするものである。このほか,脳梗塞や偏頭痛における軟膜血管の拡張による脳溝の高信号も,FLAIRに特徴的な所見である3)。
2.AiCEの活用
FLAIRは撮像に時間がかかるため,短縮が可能か検討を行った(図3)。TR/TE=5000ms/100msではT1コントラストが大幅に低下し,橋の淡い異常信号が消失する(図3 a中央)。それを,T2で補うためにTE=150msとしたところ,コントラストは改善するものの,全体の信号が低下するため粒状性が低下した(図3 a右)。そこで,AiCEを適用すると,SNRの改善とともに視覚的にも粒状性が改善し,1分10秒の撮像でも診断に耐えうる画像となった(図3 b右)。
内耳の造影T2強調FLAIRでは通常,造影剤静注後約4時間で外リンパが濃染するが,内リンパ水腫を来すメニエール病では,濃染しない内リンパの容積が増加する。そこで,外リンパが高信号・内リンパが低信号となるTI=2250msと,外リンパが低信号・内リンパが高信号となるTI=2050msの差分画像(HYDROPS像)を作成し,AiCEを適用したところ,拡張した内リンパが明瞭に描出された(図4)。
図3 AiCEによるFLAIRの撮像時間の短縮(多発性硬化症)
a:AiCEなし b:AiCEあり
図4 内耳造影FLAIRによる内リンパ拡張の描出(メニエール病)
T2*強調画像
整形領域でよく用いられるT2*強調画像のマルチエコーは,複数エコーを収集し足し合わせる手法で,高いSNRとT2*強調コントラストが特長である。良好な白質/灰白質のコントラストが得られるほか,多発性硬化症の検出能がSEよりも良好と報告されている4)。そこで,マルチエコーT2*強調画像を用いてnigrosome-1を可視化できるか検討を行った(図5)。
nigrosome-1は,パーキンソン病ではドーパミン含有細胞の変性に伴い信号が不明瞭となる5)。3T MRIを用いても描出が難しいことが多いが,当院の正常例に対し,Vantage Centurianにてマルチエコーで撮像しAiCEを適用したところ,nigrosome-1がきわめて明瞭に描出された(図5 左)。
図5 マルチエコーT2*強調画像によるnigrosome-1の可視化(正常例)
拡散強調画像
1.高b値撮像の有用性
拡散強調画像は,1.5T MRIではb=1000s/mm2程度,3T MRIではb=2000〜3000s/mm2程度の高b値にすることで,正常皮質のコントラストが低下し,病変の視認性が向上する。これにより,クロイツフェルト・ヤコブ病(図6)や脳梗塞などの病変の視認性が向上するほか,急性期病変の検出に優れるとする報告もある。また,T2 shine throughの影響が少ないため,静脈性梗塞のように拡散の上昇と低下が混在するような病態においても,拡散の解釈が容易であり,高b値での撮像はきわめて有用と考えている。
図6 高b値拡散強調画像によるクロイツフェルト・ヤコブ病の描出
2.TEの影響
拡散強調画像のTEは拡散時間(TD)の長さに関連する。b値を高くするためには,グラディエント(勾配磁場)を大きくするかTDを長くするしかないが,TDを長くするとSNRが低下する。
Vantage Centurianでは,高い傾斜磁場強度(Gmax)により,拡散強調画像にてTEを60台にまで短縮可能である。ただし,短すぎるTEではSNRの高い画像が得られるものの脳梗塞の信号が低輝度となり,逆にTEが90msを超えるとSNRが低下する。最大傾斜磁場強度が高い装置はパラメータ設定の自由度が高く,その特性を十分に理解した上で,病変をとらえるための至適なTEを検討し,臨床応用すべきであると考える。
まとめ
中枢神経領域のMR画像について述べた。忙しい臨床現場で省略されがちな冠状断像やFLAIR画像には重要な臨床情報が含まれているため,撮像時間の短縮により多少コントラストやSNRが低くなっても,撮像しておく方がよいと考える。
AiCEはさまざまなシーケンスに適用可能であり,短時間撮像での画質向上や微細な構造物の画質向上にも有用である。
●参考文献
1) Kidoh, M., et al., Magn. Reson. Med. Sci., 2019(Epub ahead of print).
2)Sugiyama, A., et al., Am. J. Neuroradiol., 38(11):2100-2104, 2017.
3)Taoka, T., et al., Am. J. Roentgenol., 176(2):519-524, 2001.
4)Martin, N., et al., Am. J. Roentgenol., 199(1):157-162, 2012.
5)Schwarz, S.T., et al., PLoS One, 9(4):e93814, 2014.
- 【関連コンテンツ】
